5月龄脑瘤宝宝术后顺利出院啦!
小紫(化名)4月大时首次出现癫痫发作,表现为无明显诱因的突然意识丧失、全身肢体抽搐,眼睛及口角向一侧偏斜,症状持续约1分钟。小紫的父母随即带孩子在当地医院进行了头颅CT及核磁共振检查,结果显示“右颞占位病变”,考虑肿瘤性病变。一家三口开始到北京各大医院求诊,期间,孩子癫痫反复发作,最终北京清华长庚医院神经外科接诊了小紫一家。

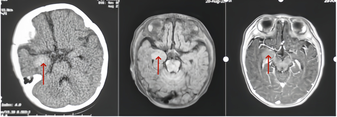
患儿术前CT及核磁影像,均可见右颞内侧占位
“接诊时,孩子不满5月龄,体重不足7公斤。”北京清华长庚医院神经外科副主任医师陈拓宇说,在神经外科领域,1岁以下婴儿脑肿瘤手术被视为一项极具挑战的任务,因为婴幼儿自身体重轻、储血少,手术麻醉风险高,手术过程需精密细致以免出血相对过多,术后监护及术后护理难度大。但颅脑肿瘤的诊疗原则是早发现、早治疗,手术是首选方案。

图为手术团队通过可视化3D导航确认手术方案

图为术后神经外科、麻醉科、LiverICU密切合作,保证患儿围手术期安全
得益于北京清华长庚医院与北京天坛医院的合作机制,陈拓宇立即联系北京天坛医院小儿神经外科姜涛主任医师,一起为小紫手术。术前,手术团队联合麻醉科、LiverICU科室专家一起为小紫研拟围手术期治疗方案。术中,可见肿瘤质地较硬韧,并与大脑主要动脉——豆纹动脉粘连,一旦损伤将造成肢体偏瘫。经过近6小时的精细手术操作,患儿肿瘤顺利切除,重要血管保护良好,术中出血少。
不幸中的幸运,病理科反馈为混合性胶质神经元肿瘤,“这是胶质瘤里相对良性的I级肿瘤,暂无需后续放化疗,持续观察即可。”陈拓宇说。患儿于手术后两周顺利出院。

小紫是北京清华长庚医院建院十年来,神经外科接诊的最小年龄的脑瘤患儿。“希望你平安长大。”小紫出院时,陈拓宇特地赶来又抱了抱小紫。


