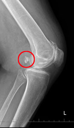
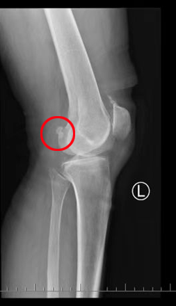
近日,76岁的果奶奶因饱受膝关节疼痛和活动受限的困扰来到首都医科大学附属北京潞河医院骨中心求医,主诉“左膝关节疼痛伴活动受限一个月”。骨中心主任刘亮在检查过程中发现果奶奶主要的问题在于膝关节游离体造成了关节的绞索与疼痛。但老太太因为患有严重的先天性心脏病,这无疑增加了治疗的难度和风险。面对这种复杂情况,骨中心与心脏中心通力合作,最终通过实施缜密的治疗方案,成功解决了老太太的膝关节问题,帮助她重拾起生活的希望。
果奶奶的膝关节因游离体的存在而产生剧烈疼痛,活动几乎受到完全限制,日常生活质量大大下降,甚至连简单的走路、上下楼都变得十分困难。更为糟糕的是果奶奶的心脏健康问题也同样严峻,严重的先心病使得任何手术都面临极高的麻醉风险。经过心脏中心心内科和心外科团队的仔细评估,建议果奶奶需要进一步心脏功能检查评估。虽然果奶奶对膝关节手术有强烈的需求,但她的心脏问题始终是手术能否顺利进行的最大障碍。
挑战难题 精准治疗
在了解了果奶奶的情况后,刘亮主任主动担当起了治疗重任。作为一位经验丰富的骨科专家,刘主任深知膝关节问题对患者生活质量的重要性,同时也充分考虑到高龄和心脏病因素,精心制定了个性化的治疗方案,决定采取局部浸润麻醉,这种方法能在确保患者安全的前提下最大限度减少麻醉风险,但是对术者却提出了更高的要求。刘主任运用膝关节镜技术,顺利地对果奶奶的膝关节进行了探查清理,并成功取出了游离体。整个手术过程非常顺利,术中出血仅为10毫升,手术时间也仅用了28分钟。



恢复顺利 重拾信心
术后第一天,果奶奶顺利拔除引流管,X光复查后确认膝关节问题得到有效解决。果奶奶惊讶于膝关节症状的改善,她笑着说:“现在膝关节可以伸直,打弯也没有问题了,感觉自己年轻了不少!”在潞河医院的精心治疗和关怀下,果奶奶不仅膝关节恢复了健康,心脏问题也正在得到有效控制,重拾起生活的希望与信心。



医患携手 守护健康
这个病例的成功救治,展现了多学科之间的紧密合作和无缝对接,彰显了医护人员在复杂病例中的专业素养和人文关怀,正是这种跨学科的合作与精细的治疗方案,才让果奶奶顺利走出了困境。同时,医生也呼吁更多的患者关注自己的健康,特别是在面对复杂疾病时,早期的科学治疗和跨科室的协作,能够帮助您获得更好的治疗效果。潞河医院骨中心将继续秉持“以患者为中心”的服务理念,致力于为每一位患者提供专业、安全、温暖的医疗服务,守护每一份健康与幸福!


