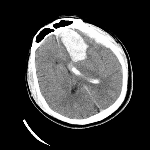
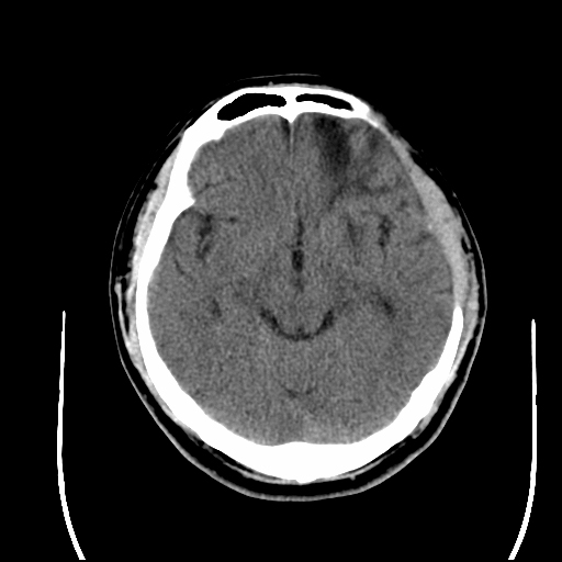
25岁的男青年小董,在2024年4月的一天,无明显诱因突发剧烈头痛后很快进入昏迷状态,就诊于首都医科大学附属北京潞河医院急诊神经外科,头颅CT检查显示:左侧额叶大量出血。入院后,急诊进行脑血管造影,发现左侧颅底的硬脑膜动静脉瘘,颅底脑膜广泛供血。考虑到硬脑膜动静脉瘘导致大量出血,病情复杂,且双侧瞳孔散大,脑疝形成。王浩主任医师、杨俊副主任医师迅速判断病情后,认为需要急诊行开颅探查血肿清除去骨瓣减压术+硬脑膜动静脉瘘切除术。在麻醉科的积极配合下,手术团队成功清除脑内血肿,术中发现硬脑膜动静脉瘘复杂予以切除,同时行去骨瓣减压术,解除脑疝,手术历时6个小时,最终顺利结束。小董被平稳转运回重症监护病房,术后经过科室医护团队的精心治疗与护理,小董出院了。出院时小董神清语利,双侧肢体肌力正常,无明显神经功能障碍,生活完全自理,出院前进行CTA评估硬脑膜动静脉瘘有部分残留,拟3个月后回医院进行颅骨修补手术时一并切除。

急诊手术前

急诊手术后


3个月过去了,小董再次来到潞河医院神经外科,由张洪兵主任牵头,组织多学科评估、讨论,认为小董的病情复杂,非常适合复合手术室进行手术,经过详细的术前讨论及术前准备,手术按计划顺利进行。首先进行脑血管造影,术中明确了硬脑膜动静脉瘘残留位置。随后张洪兵主任带领团队成员应用显微技术成功切除了残余的血管畸形,术中造影证实切除完全,同期成功钛网修补颅骨。经过两次完美的治疗,小董顺利出院。现在小董恢复很好,已回归社会,开始正常的工作生活。



复合手术前

修补后
近年来,复杂性脑血管病人越来越常见,单纯的神经外科开颅手术或介入治疗均难达到满意疗效,且手术风险很高。复合手术整合了外科手术和介入治疗的优势,它不仅能够提升治疗效果,还能降低手术风险,为患者提供了更加安全、有效的治疗选择。随着医疗技术的不断进步和跨学科合作的深入开展,这种技术将在复杂性脑血管疾病的治疗中发挥越来越重要的作用。潞河医院神经外科团队将继续不断学习,进一步掌握新技术、新方法,努力提升医疗技术水平,从而更好地服务于患者。


