近日,北京市垂杨柳医院神经外科联合医院急诊科、麻醉科、重症医学科、普外科、放射科、呼吸与危重症医学科以及第一手术区、导管室等科室,开展MDT多学科合作,历时两个多月,成功救治一名14岁脑血管畸形致重症脑出血患儿。
8月14日深夜,120救护车的警笛声撕破长空。一名年仅14岁的患儿被送到了北京市垂杨柳医院急诊科。同行的患儿家属表示,患儿一家是外地来京旅游的,没有既往病史。当天患儿在酒店洗澡时突发头痛伴呕吐,并很快昏迷。急诊科医师在接诊后迅速启动绿色通道,神经外科值班医生段练接到电话后迅速赶到急诊会诊。经头颅CT检查显示,患儿脑室出血,脑室铸型,梗阻性脑积水。在检查期间,患儿病情进一步恶化,出现四肢抽搐,去脑强直发作,且呼吸不规则,血氧低。一场由神经外科主导,急诊科、第一手术区、麻醉科、导管室、重症医学科等多学科共同协作的“生死争夺战”就此展开。

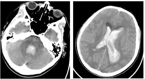
▲头颅CT显示脑室出血,脑室铸型,梗阻性脑积水
为保证患儿正常呼吸,麻醉科医生紧急为患儿气管插管,接呼吸机辅助呼吸。段练第一时间联系神经外科主任张锟汇报病情。在详细了解病情后,张锟认为患儿为重症脑出血,脑血管畸形破裂可能性最大,病情危重且复杂,随时可能脑疝形成而导致生命危险,应先行脑室钻孔引流术+颅内压监测手术以降低颅内压而抢救生命。张锟一面指导抢救,一面火速从家中赶至医院。同时,急诊科医护迅速为患儿进行术前准备:备皮,抽血,完善必要术前准备,并给予脱水降颅压、抗癫痫等处理。
8月15日凌晨,在麻醉科,第一手术区医护人员的全力配合下,张锟和段练为患儿成功实施了右侧脑室钻孔引流术及颅内压监测探头置入术。术中监测患儿颅内压极高,医生引流血性脑脊液后颅内压下降。手术开始半小时便为患儿搭建了生命通道,术程十分顺利。术后患儿转入重症医学科(ICU),给予机械通气,镇静镇痛,脑保护等治疗,患儿病情趋于平稳。术后第二天,在导管室,神经外科团队为患儿进行了全脑血管造影检查。检查发现患儿为左侧顶枕叶复杂动静脉畸形,由前后循环分支供血,畸形灶内可见多个小动脉瘤,Spetzler分级3级。这个消息让医护人员和患儿家属的心情愈加沉重。

▲DSA提示左侧顶枕叶复杂动静脉畸形,由前后循环分支供血,畸形灶内可见多个小动脉瘤
神经外科团队向患儿家属交代病情后,征得患儿家属同意,准备为患儿实施脑动静脉畸形栓塞术,彻底拆除在孩子脑子里的“雷”。患儿经过两周脑室外引流,病情趋于平稳。神经外科团队再次复查患儿头颅CT,确定脑室积血已大部分清除。在导管室麻醉医护的配合下,神经外科脑血管病介入团队为患儿实施了脑动静脉畸形栓塞术。8月30日,在重症医学科副主任贾丽娟及耳鼻喉科主任杨立军的协助下,成功为患儿实施了气管切开术。但是在拔除脑室引流管后,患儿又出现了交通性脑积水。神经外科团队予多次腰椎穿刺放液,患儿脑脊液化验逐步接近正常。9月13日,神经外科联合普外科为患儿实施了脊髓蛛网膜下腔-腹腔分流术,分流管腹腔端由普外科副主任李华志于腹腔镜下放置。

▲为患儿实施脊髓蛛网膜下腔-腹腔分流术,腹腔端由普外科李华志协助放置

▲贾丽娟为患儿行气管镜检查,杨立军为患儿实施气管切开术
经过神经外科和ICU病区全体医护人员的精心治疗和护理,患儿昏迷程度逐渐变浅。但患儿病情又有变化:间断出现心动过速、血压增高、呼吸增快、大汗、发热、瞳孔散大、肌强直、姿势异常,即阵发性交感神经过度兴奋(PSH)。PSH多见于重度颅脑损伤患者,多表现为心动过速和血压增高,像患儿这种全部症状同时发作的情况极为少见。初期发作频繁且持续时间长,需静脉应用镇静镇痛药物,且脱离呼吸机困难。张锟组织神经外科全体医生,会同重症医学科医生进行病例讨论,并邀请院外专家会诊,制定了详细的药物治疗及试脱机方案。
患儿四肢肌张力高,手脚姿势异常,ICU护理人员每天都为患儿按摩,摆放功能位。每次家属探视时医护都耐心解释病情,安慰焦虑的父母。又经过近一个月的治疗,患儿PSH的发作频率及时间明显减少,在成功脱机后,患儿的眼球也有了循声反应。10月15日,患儿突然出现两次血氧短时间下降至70%左右,重症医学科医生王燕新于床旁行气管镜检查发现患儿气管内肉芽组织生长阻塞气道。10月17日,在微创中心(第二手术区),呼吸与危重症医学科副主任王婷为患儿实施了气管镜下肉芽组织激光切除术,解除了气道梗阻,患儿呼吸顺畅了。经过两个多月的治疗,患儿最终转危为安,目前已转院接受康复治疗。

▲张锟组织全科病例讨论

▲王婷在为患儿行气管镜下激光切除气管内肉芽组织
此次医院多学科联合成功抢救重症脑出血患儿,充分体现了医院“呵护生命,救死扶伤,为百姓健康保驾护航”的使命和宗旨,更展现了医院多学科团结协作,抢救急危重症的专业能力。医院神经外科、重症医学科、急诊科、麻醉科、呼吸与危重症医学科、麻醉科、第一手术区、微创中心(第二手术区)、导管室、耳鼻喉科、普外科等医护团队,以实际行动践行了“艰苦奋斗,自强不息,忠毅坚卓,仁爱奉献”的垂医精神。在历时两个多月的救治过程中,医院各学科医护团队千方百计抢救患儿,寸步不离守护生命的精神深深感动了患儿家属,在转院之际,患儿的父母由衷地向神经外科、重症医学科等科室的医护人员表示感谢,神经外科和重症医学科全体医护人员也衷心祝愿患儿早日康复。


