近日,首都医科大学附属北京潞河医院心内科在翟光耀主任的带领下成功为两位“80”“90”后老人实施复杂冠状动脉介入治疗。
“80”后老人
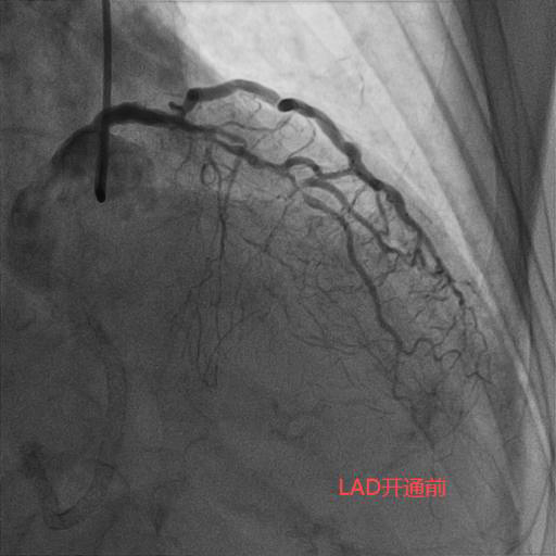
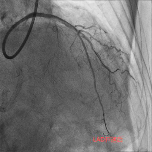
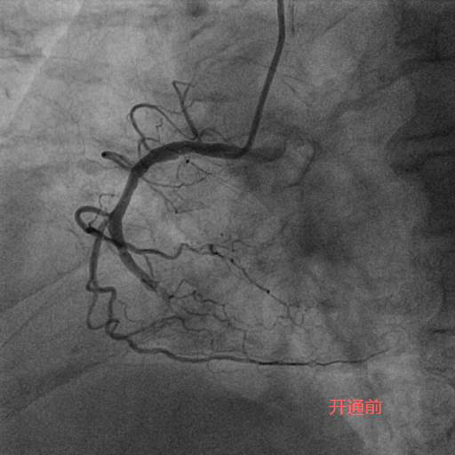
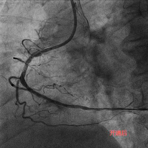
今年83岁高龄的刘老先生,退休前从事地质工作,平素身体硬朗,但近期发现快走后出现憋气症状,到某医院就诊,冠状动脉造影检查为三支病变,前降支(LAD)、回旋支(LCX)、右冠状动脉(RCA)均为完全闭塞病变且伴重度钙化。在经过近一个小时的尝试后,闭塞血管未开通,建议药物治疗。但药物治疗并未缓解刘老先生的症状,心功能反而一步步下降。后来患者及家属抱着极大的期望去某著名心脏专科医院就诊,经过半个小时的尝试后开通失败,并告知患者家属这样的血管不可能开通,冠状动脉搭桥术是唯一的出路。但是搭桥手术对于一位83岁高龄的老人来说无疑是一个艰难巨大的挑战。两次失败手术的打击使得刘老先生的身体状态每况愈下,稍事活动就气喘吁吁,逐渐对生活失去了信心。后来家属辗转打听到北京潞河医院心内科翟光耀主任团队致力于冠状动脉复杂手术,抱着最后一搏的想法,在经过两个月的药物调整后能耐受再次手术的前提下,刘老先生再次躺在了手术台上。术中,冠状动脉造影结果让翟光耀主任团队意识到了这次手术的难度之大,风险之高。三支主干闭塞,之前手术开通失败已造成血管近端夹层,闭塞的血管(尤其是RCA)全程重度钙化,近乎全程闭塞,开通血管无疑在花岗岩上开凿隧道。在经过近4个小时的不懈努力,团队终于成功开通了难度最大的RCA并植入支架,观察一天后顺利出院。 一个月后,刘老先生闭塞的LAD也成功开通。现在,刘老先生身体恢复良好,如获新生!





“90”后老人
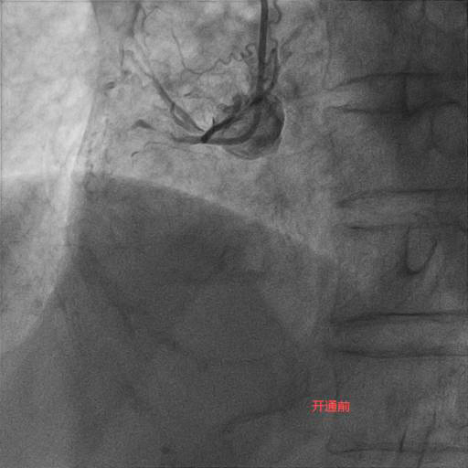
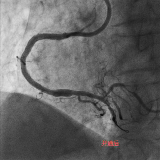
李奶奶今年92岁高龄,两年前曾因“急性心肌梗死”就诊于某医院,接诊专家考虑患者年龄大,合并症多,冠状动脉介入操作风险高,建议药物治疗。近半个月,李奶奶的胸痛症状频繁发作,药物治疗效果不佳,经过病友的介绍,家属选择了潞河医院翟光耀主任团队。在心脏监护室医护人员的精心治疗和护理下,李奶奶心功能改善,肺部感染得到控制,可以耐受手术。术中,冠状动脉造影显示LAD弥漫重度狭窄,RCA完全闭塞伴重度钙化。在经过近两个小时的不断尝试及努力后,闭塞的RCA成功开通,“介入无植入”未植入支架,血管成功修复。术后李奶奶恢复良好,顺利出院。


随着人口老龄化的加剧,高龄冠心病患者逐渐增多。高龄冠心病患者的冠状动脉常常钙化严重、病变弥漫甚至完全闭塞。由于多数合并高血压、糖尿病、肾功能异常等,进一步增加了手术的风险性。对于高龄尤其是超高龄严重冠心病患者,一般接诊医生会建议药物治疗,但药物治疗并不能从根本上解决问题。潞河医院心脏中心团队在翟光耀主任的带领下不畏艰难,勇担重任,接受其他医疗机构不敢、不能收治的高危高难度高龄患者,希望成为心脏疑难重症微创治疗的最后一站!


