小刘是一位35岁青年男性患者,7年前因为胸痛就诊,发现冠心病并在心脏血管冠状动脉植入两枚支架,术后规律口服阿司匹林等维护血管通畅的药物。今年8月,小刘再发胸痛,疼痛程度剧烈,反复发作,难以忍受,就诊于市内几家国家级心脏中心,都认为小刘病情危重,预后差,拒绝手术,建议药物保守治疗。
小刘和家人听闻北京城市副中心首都医科大学附属北京潞河医院心脏中心翟光耀主任专攻高危、复杂冠心病介入治疗,抱着一丝希望来到了潞河医院心内科就诊。经过冠状动脉造影检查,发现小刘冠状动脉三支血管均重度病变,前降支近段100%完全闭塞,回旋支近段90%重度狭窄,右冠脉远段95%重度狭窄;超声心动图检查也显示小刘已经存在心脏扩大、重度心力衰竭。小刘病情危重,需要再次行冠状动脉介入治疗开通血管,但是三支血管里一支已经完全闭塞,另外两支也重度狭窄,手术难度非常高,再加上合并心力衰竭,能否耐受手术给临床治疗提出了严峻考验,家人们也非常担心小刘能不能顺利扛过手术这一关。
术前

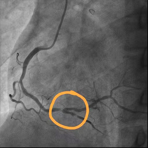
回旋支狭窄

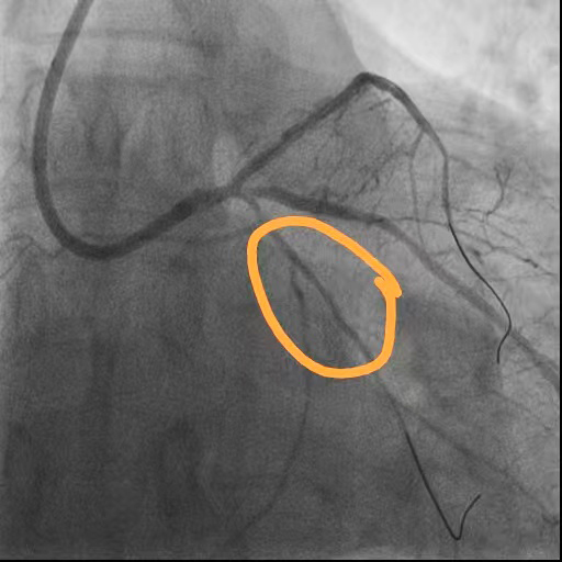
前降支近段闭塞

右冠脉狭窄
在这样的医学难题面前,翟光耀主任勇挑重担,带领团队成员仔细分析小刘临床病情、血管病变特点,并经过多学科会诊讨论后,制定了一套有效、安全的治疗方案,即在体外膜肺氧合(ECMO)循环支持保驾下实施高危、复杂冠脉介入治疗。手术当天,翟光耀主任及其团队精心实施手术,历时两个小时成功开通三支血管,恢复了心肌血液供应。术后小刘胸痛症状明显缓解,连连夸赞翟光耀主任医术精湛、造诣深厚,待患者如亲人般和蔼,对全体医护人员也表达了感激之情!
术后

回旋支狭窄解除

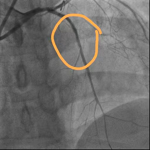
前降支闭塞段开通

右冠脉狭窄解除
近年来,心血管疾病年轻化趋势日益明显,男性在55岁以前、女性在65岁以前发生冠心病称为早发冠心病。早发冠心病的发生与高血压、高血糖、高血脂、吸烟、遗传等危险因素密切相关。早发冠心病由于病程短,大多数斑块是脂质成分多、纤维帽薄的软斑块,这种斑块极不稳定,容易破裂,堵塞远端冠脉血管,导致急性心肌梗死等危险情况发生。为了给病人提供更加安全、及时、有效的诊治,潞河医院翟光耀主任带领团队加强早发冠心病人群早期预警、规范化诊治、高危复杂手术等工作的管理,用勇气、担当、责任感为北京城市副中心患者生命健康保驾护航。


