近日,首都医科大学附属北京朝阳医院(以下简称朝阳医院)胸外科(石景山院区)张文谦团队通过急诊手术,成功救治一例右肺上叶肿瘤合并大咯血的高龄患者。手术效果良好,患者已康复出院。
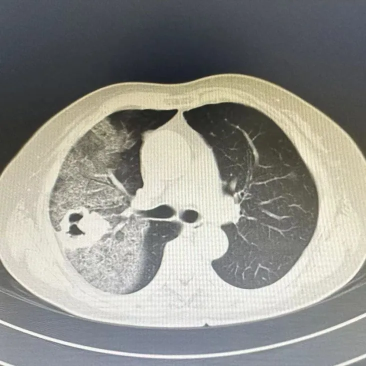
3个多月前,住在外地的患者S奶奶(76岁)在拔牙后开始出现痰中带血,起初量很少,S奶奶认为是拔牙所致,未予重视。大约十天后,咯血开始增多,每天8-10口暗红血痰。S奶奶和家人发觉情况不对,赶紧入住当地医院,经过一段时间的输液治疗后,病情并没有得到改善,仍然持续咯血。于是做胸部CT检查,发现右上肺大面积出血影,其中还夹杂着一个高密度团块影,有空洞形成、分叶状,高度怀疑肺部恶性肿瘤合并出血。焦急的S奶奶和家人慕名来到了朝阳医院呼吸与危重症医学科(石景山院区)(以下简称呼吸科)。S奶奶住院时已经在持续咯鲜血,当日咯血量高达500ml,血红蛋白80g/L,已属于中度贫血。呼吸科主任医师张黎明和王晶团队判断患者的病情紧急且危重,于是立即胸外科(石景山院区)主任医师张文谦会诊,经过充分讨论,两个科室的医疗团队很快达成一致:患者右肺上叶肿瘤合并大咯血,内科治疗已无法有效控制,急诊外科手术是救治患者唯一的希望。

在手术室、麻醉科和输血科等相关科室的全力配合下,急诊手术迅速开展。由于肺内大量出血,整个右肺上叶明显肿胀,加上肿瘤自身直径超过5cm,常规的胸腔镜微创手术根本没有操作的空间。胸外科团队采用胸腔镜辅助小切口的方法(切口长度约8cm),以最小的创伤迅速完成手术,完整切除右肺上叶,同时还彻底清扫了纵隔淋巴结,完成急救的同时也保证了对肿瘤的彻底治疗,手术过程十分顺利,历时仅2小时。手术后,在外科ICU和胸外科护理团队精心照料下,S奶奶康复顺利,术后第1天就开始下床活动,术后1周顺利出院。

咯血是一种临床常见的急症,指喉部及喉部以下的呼吸道或肺部发生出血,血液从口腔咯出。少量咯血可表现为痰中带血,大咯血(指每日咯血量超过500毫升或单次咯血量超过100毫升)时血液会从口腔和鼻子涌出,严重者可引起呼吸道阻塞,导致窒息死亡。各种原因引起呼吸道或肺部的血管渗血或破裂或凝血功能障碍等,均可导致咯血,最常见于呼吸系统疾病,如支气管扩张、肺癌、结核、支气管结石、支气管腺瘤、肺脓肿、肺真菌病等等。患者出现咯血症状时,一定要及时就医,配合医生尽早明确病因并及时治疗。
该例患者的成功救治,体现了朝阳医院多学科团队对于急危重症患者的救治水平。胸外科(石景山院区)将继续秉承“以患者为中心”的服务理念,不断锐意进取,为更多患者提供优质、高效的医疗服务。


