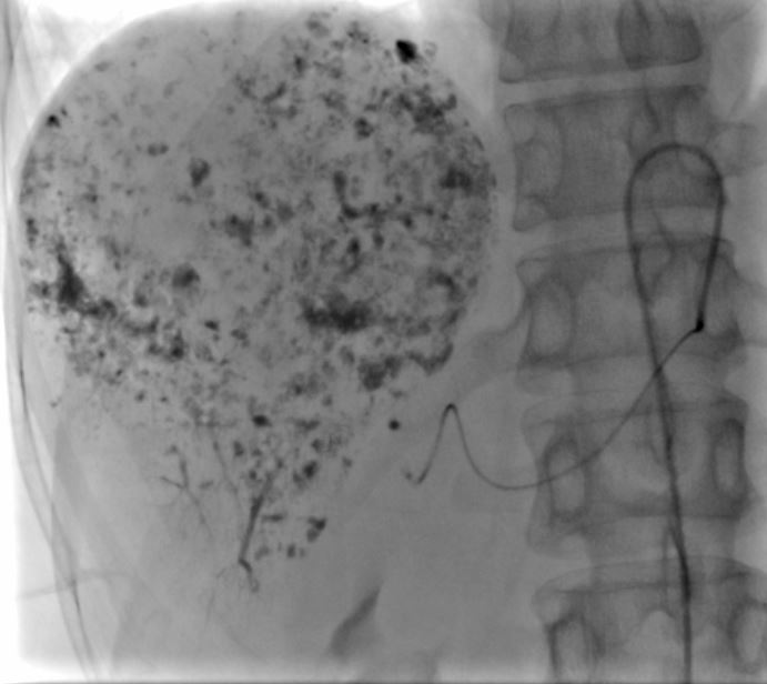
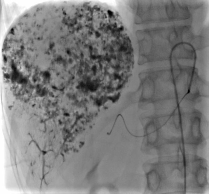
近日,潞河医院介入疼痛科为一名巨大肝血管瘤女性患者成功实施了介入栓塞治疗。患者梁女士今年49岁,体检时发现肝右叶血管瘤,最大径约9.6cm,且位于肝脏边缘,虽然破裂的几率较小,但一旦自发或外伤性破裂可能会给患者带来致命后果。梁女士入院后,介入疼痛科主任韩洋带领团队认真评估了术前影像学检查,并完善各项检验,排除治疗禁忌后,讨论制定了治疗方案。在与梁女士及家属充分沟通后,介入团队为其成功实施了微创介入栓塞治疗。术中腹腔干及肝动脉造影可见肝右叶巨大肿瘤染色,随着栓塞治疗的持续,可见该血管瘤内药物逐渐沉积,治疗完毕后再次造影显示原肿瘤供血动脉已封堵。手术成功完成,达到了治疗目的。术后,梁女士没有出现任何不良反应,现已顺利出院。
打药初期
打药快结束
治疗后的造影图
肝血管瘤为肝脏良性肿瘤,外科手术风险大、创伤大、恢复慢、住院时间长,而且会被切除大量正常肝组织,在肝血管瘤治疗中存在不足。经导管动脉栓塞治疗肝血管瘤的疗效明确,恢复快,不良反应少,手术安全性高,是肝血管瘤患者最优的治疗选择。近年来,潞河医院介入疼痛科已经通过介入栓塞的方法让多位肝血管瘤患者重返健康,这位患者的成功治疗为肝巨大血管瘤的治疗提供了宝贵的经验。

什么是介入治疗?
介入治疗是一门新兴的临床学科,是微创医学的重要组成部分,与内科学和外科学并驾齐驱的第三大临床学科。它是在不开刀暴露病灶的情况下,借助先进的影像设备(如DSA、B超、CT等)在皮肤上作直径几毫米的微小通道,将特殊的穿刺针、导管等插到病变器官、组织,通过穿刺针或导管直接注入药物、栓塞剂或置入支架等方式对多种疾病进行治疗。介入治疗为临床上许多棘手问题开拓了新的解决途径,使一些操作复杂、危险性大、并发症多、效果较差的传统诊疗措施向更好的方向发展;使一些难治或不治之症有了新的治疗方法,在增强治疗效果、提高生存质量、延长生存时间、减轻医源性痛苦等方面都显示了其独到之处。
潞河医院介入疼痛科诊疗特色
1、超声特殊检查(超声特检):包括肌肉、骨骼、神经、关节滑囊、腱鞘、肌腱、肿瘤综合评估;脑黑质疾病,复杂、疑难疾病的诊断。
2、超声引导下介入治疗(门诊):椎旁神经治疗,关节、扳机点疼痛治疗,神经阻滞、软组织肿物的穿刺活检,各类复杂液体抽吸、假性动脉瘤封堵等,通过超声设备的实时引导,对病灶部位精确判断,穿刺耗时短、创伤小,患者在微小疼痛感受下完成治疗介入。
3、介入疼痛科病房:各类神经源性疼痛、慢性顽固性疼痛、交感神经紊乱,各类囊肿硬化,经导管血管瘤栓塞,肿瘤栓塞及射频消融,晚期癌痛治疗等。
介入疼痛科门诊时间
主任门诊:每周二、三及周五上午
普通门诊:每周一至周五全天出诊


