近日,首都医科大学附属北京朝阳医院(以下简称朝阳医院)常营院区经过多学科通力合作,成功帮助一例高度危险的心肌梗塞患者转危为安。高龄患者的左主干急性闭塞的处理是心血管医学领域的一大挑战。尽管现代医学技术为患者提供了多种治疗选择,但患者的预后形势依然严峻,院内死亡率极高。通过综合评估、个体化治疗和多学科协作,可以提高高龄患者的治疗效果和生活质量。
李元真(化名)是家住常营社区一位76岁的老人,2024年家庭迭遭变故。老伴罹患阿尔兹海默症,在养老院生活多年。生活中离不开李元真的经常探视照料。年初,二老唯一的儿子不堪忍受常年重度抑郁症的困扰,自杀身亡。得过脑梗塞的耄耋老人李元真以日渐衰老的身体硬扛着家庭破碎的巨大不幸。然而,2024年5月中旬,这位坚强的老人突遭病魔打击。在家中做饭时,突然胸闷,晕倒在地,被陪伴的亲戚发现后呼叫120,送往朝阳医院常营院区。老人在路上呕吐不止,血压很低,四肢厥冷,面色苍白,面对医护人员甚至无法说话。心电图显示急性心肌梗塞,而且可能是极为凶险的左主干闭塞。
人类的冠状动脉呈树形分布,左主干相当于树根,它的闭塞可造成大范围的心肌细胞缺血坏死,短时间内带来心力衰竭和恶性心律失常导致死亡。当日,恰逢心内科医师刘宇值急诊班,接到二线医师索妮呼叫后立刻赶到急诊抢救室,根据患者的临床特征和低血压、心率快的表现,刘宇判断患者已经发生了心源性休克。多年的经验和文献报道告诉他们,即使做了急诊再灌注治疗,患者住院期生存率也不到50%。刘宇和急诊医学中心医师不愿看到患者家庭发生人财两空的局面,试探询问家属是否愿意保守治疗。跟家属沟通的过程中得知患者的家庭变故。在场的都是李元真老人的旁系亲属,但是他们表现出强烈的救治愿望,希望挽救老人,挽救这个破碎的家庭。家属们的决心和意志感动和坚定了朝阳医院医生们的决心。心梗绿色通道在最短的时间内开放,导管中心护士长双磊安排有丰富经验的护士于颖配台,一边呼叫麻醉科二线准备气管插管,一边准备主动脉内球囊反博(IABP)。刘宇带领杨勇、王成刚、黄家旭等手术人员将老人护送至导管室,手术操作紧张而有条不紊地进行。果不其然,造影结果证实患者正是冠状动脉左主干闭塞,侧枝循环0级。手术组迅速在最短的时间内开通左主干并植入支架,左冠状动脉恢复了三级血流。麻醉科二线也一直坚持在场参加对老人的抢救。冠脉开通,就像将一位落水的人打捞上岸,却并不意味着患者就此脱离死亡危险。
在冠心病监护病房(CCU)住院期间,患者依次出现心力衰竭诱发的急性肾功能衰竭、呼吸衰竭、脑损伤,每一个重要器官的损伤都能够导致死亡、伤残,联合损伤导致的死亡率不言而喻。CCU主任医师赵文淑、孙昊,副主任医师郭宗生、王欣接过重担,以高超的医术和经验继续精心治疗,没有放弃任何可能使老人恢复的手段。应用血液滤过疗法替代老人严重受损的肾脏排毒,保持水盐代谢平衡。持续机械通气,维持着患者的氧气供应。谨慎应用抗生素,同时避免发生二重感染。护理组的一众护士们日夜守护观察着昏迷老人的细微病情变化。期间,常营院区心内科主任医师卢长林多次组织全科讨论,指导抢救这位徘徊在死亡边缘的老人。心内科负责人赵林,得知李元真的情况后,也非常关心老人的恢复情况,适时提出全力救治的指示与相应治疗建议。逐渐,老人的心功能开始恢复,血压、心率、呼吸这些生命的基本指标开始脱离药物后亦得以稳定。转入心内科病房后,因肾功能损伤较重,少尿。肾脏病专家孙倩美教授亲自联系透析治疗,主任医师史琳影和博士杨宜兴陪同前往透析室,心内科与肾内科通力合作,以免患者发生意外。老人的病情日趋稳定,开始清醒,但是,此时却传来老人的老伴在养老院去世的消息。医护人员和家属都沉默了,没有人忍心告诉老人真相。
经过42天的精心治疗,除了肾功能需要透析治疗维持,老人终于平安出院。常营院区心内科、急诊医学中心、导管室的医护人员为自己成功救治一位几乎生存无望的老人感到欣慰的同时,却无人能够笑得出来。患者家庭的巨大变故,直击着每一位医护人员的心灵。

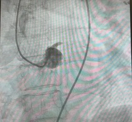
李元真术前造影,显示左主干中段完全闭塞

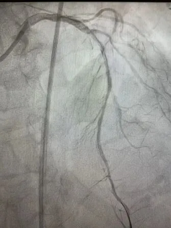
支架术后左冠状动脉开通

心内科刘宇团队在术中

以患者为中心,坚持到底,永不放弃,这是朝阳医院治病救人的真实底色。用专业技术和医者仁心,做患者生命的守护神;在坚守医者理性的同时,也充满了对患者的人文关怀,人性的光芒时刻闪耀在全体朝医人的每一次救治之中。


