近日,北大医院心血管内科面对卵圆孔未闭导致多发栓塞但下肢静脉通路难以开通的患者,独辟蹊径完成PFO封堵,成功帮助患者将血栓挡在动脉系统门外。
一、“疯狂”的血栓
老冯(化名)因近半年间断发作视物模糊、伴间断肢体力弱,来到北大医院神经内科就诊。在门诊做了核磁检查后发现,有新近腔梗和陈旧梗死伴出血的可能,溶栓多模态CTA则提示头颈动脉粥样硬化,不除外血栓形成。为了进一步检查,老冯办理了住院,进行了脑血管造影,检查结果发现左侧颈内动脉存在充盈缺损,高度怀疑为血栓性病变。


脑血管造影,箭头所示为狭窄部位,考虑与血栓相关
血栓如何而来呢?老冯的一个病史引起了医生的注意。老冯有着30多年的双下肢静脉血栓和肺栓塞病史,曾进行过溶栓治疗,平时服用抗凝药物,加上检查提示有多发脑梗、脑血管血栓病变,医生马上想到了一个问题:这是由于异常的“右向左分流”导致的“反常栓塞”!
于是,医生马上给老冯进行了针对性的评估——发泡试验。果然不出所料,结果显示大量右向左分流,提示卵圆孔未闭。通过进一步的经食道超声心动评估,也证实了卵圆孔未闭这一诊断。这也就解释了老冯的问题:疯狂的血栓由下肢脱落,一方面引起肺栓塞,一方面经过卵圆孔导致了反复的脑梗发生。
科普知识:反常栓塞与卵圆孔未闭
正常来说,人体静脉与动脉之间存在一道屏障。静脉血液必须经过肺部的毛细血管过滤后才能进入动脉系统,这个过程一方面是血液与氧气结合给全身供氧,同时通过毛细血管可以阻挡住静脉血液中可能携带的一些小血栓等“有害物质”,避免引起动脉栓塞。一旦这一道屏障存在“缺陷”,就可能出现一些静脉血液中的血栓偶然通过这些缺陷,成为“漏网之鱼”进入动脉系统,带来脑栓塞等风险。
卵圆孔未闭就是一种常见的“屏障缺陷”,它是指左右心房之间存在异常的细小的通道。人群中大概1/4-1/5的人存在这一问题,大部分人没有特殊影响。部分人群会发生包括脑栓塞在内的体循环栓塞事件,是重要的心源性卒中的原因。因此,对于通过神经内科评估以及无法通过脑血管动脉粥样硬化病变本身解释的卒中事件(隐源性卒中),需要重视卵圆孔未闭的筛查。还有研究显示,卵圆孔未闭可能与部分患者的偏头痛等相关。
卵圆孔未闭的治疗主要通过介入封堵完成。如下图所示,手术一般是通过穿刺大腿部位的静脉(股静脉)送入类似“夹心饼干”的封堵伞将这一缝隙封堵,实现阻挡由静脉系统至动脉系统的异常分流、预防栓塞的目的。
卵圆孔未闭及其介入治疗示意图:

a.卵圆孔未闭示意图;
b. 
b.卵圆孔未闭引起脑卒中示意图;

c.卵圆孔未闭介入封堵手术示意图
二、治疗路上的“拦路虎”
由于曾反复出现视物模糊、肢体活动障碍等症状,而自己的静脉血栓问题非常顽固,老冯对未来再发生脑梗的风险很是担忧。当医生给老冯介绍了介入封堵可以帮助预防脑梗后,老冯非常希望能接受这一治疗。因此在神经系统症状稳定后,老冯转到了心血管内科进行进一步治疗。

由于老冯有下肢血栓的病史,医生进一步对他的下肢静脉血管情况进行了评估。然而,评估结果让医生震惊了,老冯的下肢静脉直到腹腔内都存在血栓,腹腔盆腔的部分静脉血管萎缩闭塞了!医生赶紧联系了多学科会诊,心血管内科、介入血管外科、医学影像科等专家展开了讨论,结合老冯超声及CT的结果,认为他下肢静脉通路难以开通,老冯进行卵圆孔未闭介入治疗的“路”被拦住了!
三、独辟蹊径,挡住疯狂的血栓
面对老冯棘手的情况,在心血管内科专家、李建平副院长的带领下下,心血管内科易铁慈、姜一梦、翁浩宇、金汉等多位医生通过查阅文献与反复讨论,发现国内外有极少的通过颈内静脉或锁骨下静脉完成卵圆孔封堵的病例报道,而老冯在之前的检查明确左侧锁骨下静脉的血液回流是通畅的,这也许是老冯接受手术的一线机会!
通过反复讨论,手术团队对于穿刺部位选择与止血、器械的选择、可能的困难等做了充分的评估,老冯和家属也愿意接受这样一次尝试,这场需要独辟蹊径的手术开始了。
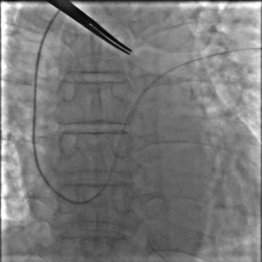
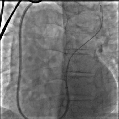
5月10日,心血管内科团队按照计划对老冯进行了手术。术中顺利穿刺左侧锁骨下静脉,经TIG导管、6F JR4导管顺利操作导丝通过卵圆孔进入左上肺静脉。虽然遇上加硬导丝送至左上肺静脉的困难,但团队迅速调整策略,送入260cm J形导丝,随后缓慢推送手工塑形后的180°8F输送鞘并顺利通过,送入并释放18*25mm卵圆孔未闭封堵器。通过透视及超声评估,封堵效果满意。

李建平副院长带领心内科团队手术中
介入封堵过程:

a.导丝通过卵圆孔进入左上肺静脉;

b.输送鞘通过卵圆孔;

c.封堵器释放后
在顺利完成卵圆孔未闭封堵后,手术团队对老冯进行了冠状动脉造影,显示冠状动脉存在多处的编织样改变,提示既往很有可能也曾发生血栓栓塞。疯狂的血栓进入动脉系统后,实际上不仅影响了脑血管,同样影响了心血管等其他脏器。这次“独辟蹊径”的介入封堵治疗,可以帮助老冯将这些血栓挡在动脉系统的门外。
老冯术后伤口恢复顺利,已于近日顺利出院。
介入诊断与治疗是先天性心脏病、瓣膜性心脏病等心脏结构问题的重要诊疗手段。北大医院心血管内科是国内最早开展心血管疾病介入诊疗的心血管专科之一,开展了包括经导管主动脉瓣置换(TAVR)、经导管二尖瓣缘对缘修复(TEER)、经导管肺动脉置换(TPVR)等瓣膜疾病的介入治疗和右心导管检查、经皮卵圆孔未闭封堵术、经皮房间隔缺损封堵术、经皮室间隔缺损封堵术等先天性心脏病介入诊疗。心血管内科将继续利用北大医院综合实力强的优势,团结兄弟科室,全面评估病情,勇于挑战疑难、复杂病例,为广大患者寻求最佳治疗方案。


