近日,清华大学第一附属医院泌尿外科与麻醉科、心脏中心、输血科等科室协作,再破年龄禁区,成功为一位前列腺严重增生并出血的101岁老人实施了微创的经尿道前列腺激光剜除术及血块清除手术,打破之前我院接受前列腺手术最高年龄92岁记录!
101岁的黄老先生是位老革命,近20余年逐渐出现排尿等待、排尿费力、尿线变细等症状,口服前列腺药物缓解不明显。5年前开始排尿困难加重,并反复出现尿潴留,家属考虑老人高龄,手术风险高,予长期留置尿管,每月定期更换,导致生活十分不便。一月前,黄老先生尿管内反复出现肉眼血尿,外院就诊后考虑前列腺出血,予间断膀胱冲洗,但血尿仍反复出现。半月前,再次出现肉眼血尿,血块堵塞尿管,下腹憋胀难耐,家属带着老人就诊于我院泌尿外科门诊。
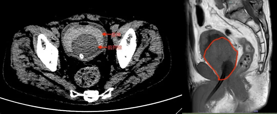
负责接诊的泌尿外科副主任医师王文佳给老人完善了影像检查,泌尿CT检查提示膀胱内被血块填塞,前列腺体积巨大,凸入膀胱,前列腺质量有140多克(正常成人前列腺一般在12~20克左右,超过75克即为最严重的前列腺四度增生)。王文佳与家属交代病情,考虑前列腺增生合并反复出血,立即收治入院治疗。

CT影像显示突入膀胱的前列腺及膀胱内血块
患者入院后经完善检查,发现其近期反复尿血,已导致失血超过800毫升,因此手术迫在眉睫。大外科主任、泌尿外科主任医师吴建臣迅速组织心脏中心心内科、综合ICU、麻醉科等多学科急会诊,联系输血科备血。会诊后,吴建臣、王文佳、张佳伟诊疗小组分析病情后认为,患者高龄,机体代偿能力明显下降,血尿持续并反复加重,如不及时处理,将会错过治疗时机,引起一系列严重后果。因此必须立即进行膀胱镜下血块清除术及局部止血,并做好根据术中情况切除增生的前列腺组织,彻底止血的手术预案。患者前列腺超过140克,属巨大前列腺,加上其超过百岁高龄,手术风险极高。所以术中必须尽量减少术中出血,缩短手术时间,保证手术安全。
在征得患者家属的同意后,手术室很快安排手术间,麻醉科副主任张艳丽、副主任医师关圆和麻醉师郭孟孟非常重视,为患者选择了最佳麻醉方式。手术由吴建臣主刀,术中冲净陈旧血块后,可见巨大的前列腺表面充血水肿、血管迂曲扩张明显,并有多处出血灶,考虑单纯凝血止血后效果不佳,再次出血可能很大。吴建臣按照手术计划采用微创的“经尿道前列腺铥激光剜除术”术式,干净利落地沿外科包膜层面剜除了巨大的前列腺腺体,彻底止住出血。麻醉平稳,手术顺利,术中出血不到50毫升。
术后在泌尿外科护士长秦艳花加速康复外科护理模式的精心照顾下,患者术后第1天便下床活动,正常进食,术后第4天康复出院。出院时患者家属连连表示感谢,称不敢想象超过百岁的老人还能接受如此手术,对清华一附院泌尿外科的技术水平竖起了大拇指。

经过术后恢复,患者顺利拔除了佩戴5年的导尿管和尿袋,恢复了自主排尿,生活质量大大提高。泌尿科团队由衷为老人高兴的同时,也践行了我们的初衷,帮助老人更有质量地享受晚年美好生活。


