一位年轻的小伙,近期因为活动以后血尿明显加重,到医院检查发现是肾里长了2.6厘米的大结石。患者来到平谷区中医医院外科就诊,李建友主任医师建议输尿管软镜激光碎石取石。患者术前还有些疑虑:微创手术能否治疗体积这么大的结石?经过耐心详细的解释,患者了解到:过去直径大于2厘米的结石大多采用经皮肾镜碎石取石,就是把肾打个孔,用设备把肾里的结石击碎并取出来,手术损伤较大,出血风险比较高。
平谷区中医医院外科开展输尿管软镜激光碎石取石,输尿管软镜是通过人体自然的腔道,到达肾盂,用激光设备将结石击碎并取出结石,输尿管软镜较经皮肾镜手术损伤更小,出血风险更低。平谷区中医医院外科引进了大功率激光设备,并领先使用了超细输尿管软镜、负压吸石技术,大大提高了清石效率,降低了肾盂内压,提高手术安全性。

李建友主任医师、曾杰宏主治医师专家团队为患者制定了手术计划,患者在碎石前提前留置了输尿管支架管,2周后进行了输尿管软镜激光碎石取石术,利用负压清石系统清除结石,手术很顺利,术后6小时患者就能自如活动。术后一个月复查CT,患者手术侧的肾结石已经全部清除干净了。患者非常高兴。
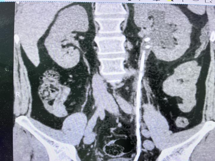
患者术前CT如下:

术中所见结石如下:

手术取出的结石如下:

术后1个月复查CT如下:

专家团队介绍:
李建友,外科主任医师,

专家介绍:先后在北京医院泌尿外科、北京大学第三医院泌尿外科学习,北京慢病老年泌尿学会委员,北京中医药学会男科专业委员会委员,中国性学会基层男科分会委员,北京残疾人联合会残疾评定专家。
擅长治疗:微创治疗肾结石,输尿管结石,前列腺增生,前列腺肿瘤,精索静脉曲张,男性性功能能障碍。疝微创治疗。出诊时间:每周二全天
曾杰宏,外科主治医师

专家介绍及擅长:2023年在北京医院泌尿外科进修学习,主要以擅长治疗泌尿科常见疾病:前列腺增生、前列腺炎、膀胱结石、输尿管结石、肾结石、肾囊肿、肾上腺肿瘤、血尿、泌尿系统感染等泌尿外科疾病。


