近日,平谷区中医医院成功开展了首例CT引导下肺结节射频消融治疗。此项技术成功的开展为不能实施手术切除治疗的肺癌患者带来了新的希望,与手术切除相比,CT引导下肺结节射频消融术以“针”代刀精准微创,减少了患者的痛苦和恢复时间。

平谷区中医医院特聘北大医院放射科主任邱建星教授到院开展CT引导下胸部肿物射频消融术。邱教授是国内知名影像专家,在肺癌的筛查与诊断、胸腹部肿物CT引导下经皮穿刺活检等方面具有丰富的临床工作经验,迄今已完成近3000例胸腹部肿物穿刺活检术,年均完成射频消融术约200例。
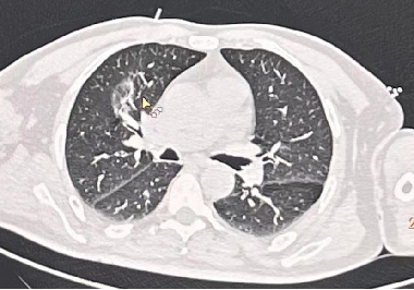
本次患者为63岁男性,健康体检时发现右肺上叶支气管血管束旁部分实性结节,最大径11mm,结节内部可见少许实性成分及血管穿行,边缘深分叶,具备一定的恶性征象,适合进行消融治疗。术前,邱教授团队林老师与患者及家属进行了谈话与充分告知。术中在CT引导下,调整进针角度与深度,穿刺针顺利到达满意位置,经40w、7min热消融后,病灶周围如期出现“煎蛋征”。当病灶周围磨玻璃影达到10mm时,停止消融,使用明胶海绵对针道进行处理,治疗结束。术后CT实时观测患者肺部情况,未见气胸、出血等并发症,患者安全返回病房。术后第二天,患者复查胸片后未见胸腔积液、气胸等并发症,顺利出院。术后1月、3月、6月放射科将对患者进行随访,时刻关注患者病情的变化。

进行术前谈话

病灶周围如期出现“煎蛋征”
据了解,CT引导下的射频消融术具有高空间分辨率,通过CT薄层扫描、三维重建技术能够精确地定位病灶位置,对进针过程进行实时监测,及时调整进针方向与角度,促使肺结节在一定时间内加热至有效治疗温度,使肺结节蛋白变性、凝固或坏死,达到将结节消除的目的。
今后,平谷区中医医院将紧跟学术前沿,不断探索新的治疗技术,为平谷乃至京津冀地区广大患者提供更高质量、更便捷的医疗服务,造福一方百姓。


