2024年3月31日,经历了近3个月抢救和治疗的李女士,终于顺利出院啦!出院时,她的孩子难掩激动的泪水,向北京大学第三医院的医生表示感谢:“感谢你们!入院时我就知道能救活的机率不到一半,是你们的坚持给了我母亲第二次生命!”
时间回到2024年1月,人们还沉浸在新年伊始的喜悦中,51岁的李女士却因颈部感染、呼吸衰竭,由救护车送到北京大学第三医院急诊进行抢救。
李女士本身患有2型糖尿病,平时未规律监测血糖,同时她还是一位肥胖人士,身高155cm左右,体重却超过100kg。2024年元旦前,李女士受凉后出现了明显的咽痛、吞咽痛及发热症状,自行服用了感冒药后,咽痛和吞咽痛不仅没有好转,而且逐渐加重。之后不到一周,颈部开始出现明显的肿胀和疼痛,在外院接受了静脉抗生素、雾化及激素等治疗,但病情没有缓解。李女士及其家人这才意识到,这可能不是简简单单的嗓子发炎,于是赶紧来到北京大学第三医院耳鼻喉科急诊就诊。
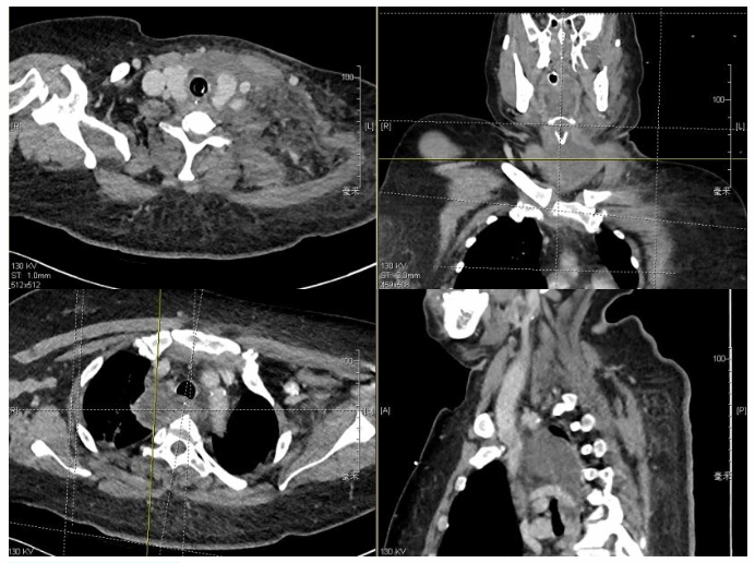
耳鼻喉科急诊为李女士完善了相关化验及检查后,诊断为颈深部脓肿,而且颈部的感染顺着气管周围间隙直达上纵隔,形成了下行性纵隔脓肿。

患者CT显示颈深部脓肿
因为合并了糖尿病酮症、肺炎、高血压等疾病,如果感染得不到有效控制,李女士很可能会出现脓毒血症、感染中毒性休克等致死性并发症,随时危及生命。此外,严重的脓肿已经引起了急性呼吸窘迫综合征(ARDS),情况紧急,耳鼻喉科进行了气管插管后,李女士转入危重医学科进一步治疗。
颈深部间隙感染是相对罕见的颈部感染性疾病,起病急,进展迅速,容易出现严重并发症。常见的诱因包括:拔牙、口咽感染、中耳炎、鼻窦炎等,常常伴有颈咽痛、张口困难、呼吸困难、发热等症状。治疗上,通常需要使用抗生素,尽早去除感染的来源的同时,尽快将脓液引出体外。
然而,因为颈部后方、脊柱的前方,有“危险间隙”的存在,颈部感染产生的脓肿可在重力的作用下,向下流入左右两肺之间的纵隔区域,产生纵隔脓肿、纵隔炎、肺炎,甚至感染中毒性休克。这是颈部感染患者非常严重的并发症。即使在抗感染手段较多的今天,死亡率仍高达40-76%,非常凶险,属急危重症。
在进行气管插管的同时,耳鼻喉科第一时间为李女士申请包含胸外科、肾内科、危重医学科、麻醉科、伤口治疗中心等科室专家在内的全院联合会诊,考虑患者颈部及纵隔脓肿已形成,会诊专家当机立断,选择紧急为患者进行外科手术,切开脓肿,通畅引流,挽救生命。手术于1月12日进行。

麻醉科团队进行气管封堵器操作
胸外科手术常需要使用双腔气管插管进行单肺通气,从而保障手术视野完成手术。因患者气管受脓肿压迫狭窄、气管内水肿等原因,麻醉科医生考虑到进行双腔气管插管可能会遇到的困难,李刚副主任医师与团队制定了使用气管封堵器进行单肺通气的方案,保障了手术的顺利进行。

胸外科强光亮团队进行微创手术
纵隔感染患者胸腔内常存在胸腔感染、脓胸、术中粘连,手术难度大,易导致术中损伤。胸外科常务副主任强光亮凭借多年的临床经验,和娴熟、细腻的手术操作技巧,巧妙地利用单操作孔胸腔镜微创手术技术,松解术中粘连,在保护重要脏器、血管的前提下,精准暴露了纵隔区域,将纵隔脓肿彻底切开,通畅引流,并另制作合理切口放置胸腔引流管,完成纵隔脓肿切开引流术,为患者纵隔感染的消退创造了机会。

患者纵隔巨大脓肿及周围粘连
接下来,抢救李女士生命的接力棒交给了耳鼻喉科。手术前,耳鼻喉科主任闫燕多次组织科内资深专家讨论患者病情,委派李涛主任医师作为本次手术的主刀医生。
由于颈部结构复杂,尤其是颈部大动静脉一旦损伤会出现致命性的后果,并且患者颈部短粗并伴发严重感染,术中视野的暴露存在难度。

耳鼻喉科团队为患者进行颈部手术
术中,经验丰富的耳鼻喉科专家面对感染严重的颈部区域,在组织、结构因炎症粘连而分界不清的情况下,小心游离,仔细止血,在保护好颈部重要结构的同时充分打开了感染区域,使得感染灶得到了充分的引流。耳鼻喉科、胸外科合作的手术顺利完成,但这也只帮助李女士度过“鬼门关”的第一步。
危重医学科接过了接力棒。在医务处的积极协调下,危重医学科联合药剂科根据脓液、血培养结果不断调整适合李女士的抗生素进行抗感染治疗;北京大学第三医院作为中西医协同“旗舰”医院,中医科也利用中医抗感染治疗发挥其独特优势;因感染与血糖升高有关,内分泌科积极协助调整血糖;感染疾病科、神经内科、心血管内科、皮肤科、康复医学科、口腔科、普通外科及肾内科也对感染相关并发症进行及时治疗。
虽然经过前一次手术,李女士的症状有所好转,但由于颈部感染严重,放射科和超声医学科评估发现,李女士颈部深方间隙又出现了新脓肿。李女士咽喉腔狭窄,术后迟迟无法拔除气管插管,又成为了摆在医疗团队面前的难题。
为了更好地控制李女士颈部及肺部的炎症,建立更加舒适、安全、稳定的人工气道,耳鼻喉科为李女士做了第二次颈部脓肿清创引流术及气管切开术。
术后,耳鼻喉科联合伤口治疗中心,每日在床旁为李女士进行颈部伤口的换药。胸外科在治疗过程中,监控纵隔感染,协助管理胸腔闭式引流管。
在历经两个半月的精心治疗下,李女士的病情逐渐趋于稳定,感染得到了有效控制,颈部切开口也在悉心处理下逐渐愈合。2024年3月31日,李女士痊愈后出院。
一场历时近3个月的抢救,北京大学第三医院10余个临床、医技科室和职能处室并肩作战,密切配合,成功救治患者,再次展示了北京大学第三医院多学科团队丰富的临床经验、卓越的技术水平,彰显了责任与担当。
依托北京大学第三医院多学科矩阵的有力支撑,面对复杂的病情、较高的手术风险和治疗难度,北京大学第三医院多学科联动,形成合力,协同救治,这是北京大学第三医院以患者为中心的团队精神的体现,也是医学科技进步的见证。


