近日,清华大学附属北京清华长庚医院首例球囊阻断分流道(BRTO)联合内镜下胃静脉曲张栓塞术顺利完成,该手术由肝胆介入科与消化内科联合实施,不仅“封堵”住了胃静脉曲张造成的大出血,还降低了异位栓塞带来严重并发症的风险。

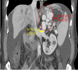
孤立性胃底巨大曲张静脉
接受手术的患者因急性消化道大出血,被送至北京清华长庚医院急诊科,反复发作的大出血伴随着失血性休克像一颗“定时炸弹”时刻威胁着患者的生命。胃镜检查的结果显示出血是由孤立性胃底巨大曲张静脉引起,此时此刻,只有封堵曲张静脉才有可能从根本上解决问题。
食管胃底静脉曲张非常凶险,是肝硬化失代偿期门脉高压最常见且最严重的并发症之一,也是上消化道出血的常见病因。一旦发生破裂出血可致失血性休克,危及生命,首次病死率甚至高达33%。

雪上加霜的是,患者门静脉CT血管造影术(CTA检查)示其除了胃静脉曲张还伴随着粗大的脾肾分流,这意味着针对胃静脉曲张出血普遍采取的手段——组织胶注射栓塞治疗,出现异位栓塞的风险将会显著增高,组织胶通过粗大的脾肾分流进入体循环,极易造成重要器官栓塞等严重并发症。
为实现胃底巨大曲张静脉的封堵,减少再发出血和异位栓塞的风险,消化内科与肝胆介入科共同研讨患者病情后,决定选择行改良球囊阻断分流道联合内镜下胃静脉曲张栓塞术,用球囊进行封堵,避免了严重并发症的发生。
在介入中心导管室,肝胆介入科主任张跃伟带领廖勇、刘影医师,经右股静脉插管至脾肾分流道流出端,交换球囊随后顺利进入分流道,充盈的球囊成功阻断分流道,这一极易引发器官栓塞的“雷”被排掉了!

随后,消化科副主任任渝棠和陈涛医师在胃镜下穿刺胃底巨大曲张静脉,胃的蠕动、呼吸道起伏影响食管而导致的蠕动,双重加大操作的难度。在医生们默契的配合下,混有造影剂示踪的组织胶被打入了胃壁外曲张静脉,得益于球囊的阻断,组织胶未经过脾肾分流血管便进入了体循环,最终实现了胃底巨大曲张静脉的封堵。
“患者术后已恢复饮食,且未再发生消化道出血,”任渝棠表示。目前,在多学科联合诊疗的模式下,无论是改良球囊阻断分流道联合内镜下胃静脉曲张栓塞术,还是经颈静脉肝内门体分流术(TIPS)、脾切除贲门周围血管断流术等技术都在北京清华长庚医院积极开展,不仅加强了针对食管胃静脉曲张破裂出血的预防及治疗,还进一步完善了门脉高压症的治疗体系。


