近日,航空总医院消化病中心主任张建国带领团队成功开展经自然腔道胆囊内内镜+胆囊内高频超声联合成像诊断检查。经在国内外多个医学数据库及互联网检索,均未见相关报道;该检查被认为是新型的胆囊超微创诊断方式,为胆囊病变的早期精准诊断提供了新方法。

患者李先生,71岁,因反复右上腹隐痛不适半年行腹部增强CT、MRCP均提示胆囊胆管未见异常。腹部B超提示,胆囊泥沙样结石,胆总管异常回声(病变?胆泥?),胆总管病变待除外。超声内镜(EUS)检查,提示胆囊泥沙样结石,胆囊管异常回声(性质待定),胆总管未见异常。
鉴于患者有明显症状,且各项检查结果分歧较大,诊断不明。经患者同意后,张建国为患者进行经自然腔道的内镜胆囊胆管光声联合成像诊断。

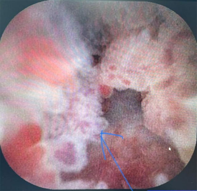
完全经自然腔道的胆囊内内镜光学成像发现胆囊管癌(箭头)

完全经自然腔道的胆囊内光学成像发现胆囊内的癌前病变(箭头)

完全经自然腔道的胆囊内超声成像显示胆囊肿瘤性病变(箭头)
该检查属于完全经自然腔道的超微创手术,即十二指肠镜下超细内镜和胆道内超声探头经口腔→食管→胃→十二指肠→胆总管→胆囊等人体自然腔道到达胆囊和胆管内,进行光学直视诊断和超声诊断。最终,患者明确诊断为早期胆囊管腺癌、胆囊颈体部息肉(癌前病变)、胆总管及肝内胆管无异常,纠正了之前其它影像报告的错误诊断。
该例完全经自然腔道的胆囊内光声联合成像诊断的临床开展,为诊断不明的胆囊胆管疾病的精准诊断、定性诊断、早期诊断提供了新的方法。
据悉,胆囊结石、胆囊息肉、胆囊炎是常见的胆囊疾病。虽然胆囊癌的发病率不高,但其恶性程度极高。临床上发现的胆囊癌绝大多数是晚期,生存期通常不到1年。目前,临床上尚缺少高灵敏度、高特异性的胆囊癌早期诊断方法,尤其对于胆囊病变的定性诊断、鉴别诊断、胆囊癌的早期发现早期诊断非常困难。
张建国表示,经自然腔道的胆囊内光声联合成像诊断中的胆囊内高频超声探头不受胃肠气体干扰和肥厚腹壁影响,能够近距离对胆囊内病变进行高清扫查,对病变内部回声、浸润深度、边界等提供明显优于腹部超声的高频超声图像。胆囊内内镜直视的“光”与胆囊内高频超声的“声”联合使用,能够直观无死角地对胆囊进行观察,敏感发现其他方法发现不了的病变,包括微小病变、早期病变,还可以进行直视下精准活检,极大提高了定性诊断水平,为后续精准治疗奠定了基础。


