“溪给沙个,溪给沙个!(藏语:挺好的,挺好的!)”在航空总医院神经外十科主任穆苍山早晨查房时,来自青海省海西蒙古族藏族自治州的患者如是说。
2023年12月中旬,来自青海省海西蒙古族藏族自治州的患者阿卓到穆苍山门诊就诊,希望能解决钛网颅骨修补术后钛网凹陷的问题。经过仔细检查和询问了解到,患者5年前因外伤致颅内出血行去骨瓣减压术,3年前行钛网颅骨修补术,1月前放牧时再次头外伤导致钛网凹陷挤压脑组织,造成颅内再次出血和脑组织挫裂伤。通过保守治疗,颅内出血和脑组织水肿已基本吸收,险些造成生命危险。

神经外十科主任穆苍山接诊中
患者和家属非常着急,辗转多家医院寻求治疗,得到答复是术中将钛网拆下后重新手动塑型,塑型后再用原钛网修补颅骨,但是再次面对类似头外伤时仍然可能会面临钛网凹陷的问题。家属对此治疗方案不太满意,希望可以通过颅骨修补提高颅骨强度。正好通过北京电视台报道了解到航空总医院穆苍山擅长钛网取出同时植入PEEK(聚醚醚酮)术,于是不远千里来京求助。
在门诊上,穆苍山详细了解患者的病史和既往影像资料,认真查体,完善各项检查,认为患者目前钛网凹陷已经造成了局部脑组织受压,脑内压力增高,同时伴有颅内出血,需要及时将钛网整修,考虑到患者的要求和顾虑,建议患者行钛网取出同时行PEEK翻修术,缓解钛网凹陷对脑组织压迫,恢复颅内正常压力,改善脑组织血供和神经功能。由于PEEK的强度更高,抗压和抗撞击能力更好,能够对脑组织提供更好的保护。

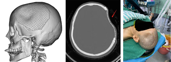
患者钛网颅骨修补后外伤致钛网凹陷
入院后,穆苍山为患者制定了完善的翻修手术方案。通过3D打印技术,个性化定制PEEK外形,完善术前检查,耐心向患者家属解释手术治疗方案和PEEK设计过程,以及手术后注意事项。得到患者和家属同意后,神经外十科团队在全麻下为患者行原钛网取出同时PEEK翻修手术。术后,患者恢复顺利,1周后拆线回家休息。
通对PEEK翻修术的治疗,患者和家属脸上写满了纯真的笑容,不断地对穆苍山主任说着“溪给沙个”。“这也是我们神经外十科医生们同藏族同胞学习的第一句藏语,”看到藏族患者恢复良好,家属脸上露出的纯真笑容,航空总医院神经外十科的医护人员感到十分欣慰。
专家介绍

穆苍山 神经外十科主任、主任医师、副教授
从事神经外科工作30余年,致力于神经修复及脊髓脊柱神经外科领域的临床研究与探索,擅长治疗各种原因引起的颅骨缺损、颅脑损伤,尤其擅长钛网取出同时植入PEEK术,多次应邀在国内外神经外科学术会上介绍成功经验,得到了中央电视台、北京电视台、河北电视台等媒体的广泛关注与报道。
擅长领域
1.神经修复专业:颅骨缺损、外伤性脑积水、正常压力脑积水、外伤性昏迷、微小意识状态等。
2.脊髓脊柱专业:腰椎间盘突出症、腰椎管狭窄症、颈椎病、椎管内肿瘤、脊柱外伤骨折等。
出诊时间:星期一上午、星期三上午(信息若有变,请以当日出诊为准)


