52岁的刘女士右颈部包块3年余,一直未予处理,近期包块逐渐增大,自觉颈部有压迫感,在航空总医院超声科检查发现甲状腺右叶囊实性结节几乎占据了整个甲状腺右叶,向外凸起。
患者十余年前因结节性甲状腺肿大已切除了大部分左叶,脖子上还留有一道长长的疤痕,这次不想再开刀,于是来到超声科介入门诊寻求消融治疗。

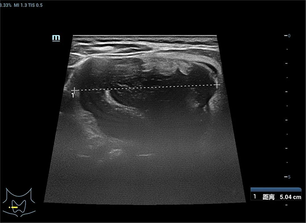
术前检查,甲状腺右叶囊实性结节直径5.04cm
“大夫,消融手术会留疤吗?会不会对甲状腺功能有影响?需要住院吗?”刘女士问道。
“在超声引导下消融针能精准穿刺到结节,利用高温使结节原位灭活、坏死、吸收,达到与手术切除相同的效果,不损伤甲状腺功能,术后不需要吃药,消融针很细,手术伤口只是一个针眼,出血少,愈合快,不会留疤!”超声科副主任栾玉爽解释道。

栾玉爽在门诊为患者进行消融手术
通过介绍,刘女士了解到消融手术是近些年发展的一种新型微创术式,在门诊就可以完成,手术时间短,术后观察半小时,无不良反应后就可以回家休息,不影响第2天正常生活,能更好地保留甲状腺功能,随即她预约了手术时间。

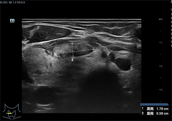
术后3个月,甲状腺右叶囊实性结节缩小至1.78cm*0.58cm
栾玉爽为她制定了详细的治疗方案,从准备工作到消融结束才短短30分钟。术后,刘女士自觉肿物消退,压迫感消失,观察半小时后自行回家。术后三个月,患者肿物明显缩小,缩小率达93%。
专家答疑
1、得了甲状腺结节怎么办?
甲状腺结节很常见,超声检出可高达70%,其中90%的结节是良性的,不需要处理,只有怀疑是恶性的结节或较大的良性结节需要处理。如体检发现甲状腺结节,正确的做法是到专科医院就诊,做更专业细致的检查,必要时需要通过穿刺细胞学等检查明确诊断,如出现结节增大,甚至脖子上摸到肿块,出现声音嘶哑、吞咽或呼吸困难及时就诊。
2、甲状腺热消融治疗是什么?
甲状腺结节热消融术是一种新型微创介入手术,在超声实时引导下将一根消融针精准穿刺入甲状腺结节内,通过针尖产生热量,使病灶受热发生不可逆的凝固性坏死。肿瘤细胞在60°C即可发生不可逆坏死,而热消融病灶内的温度短时间内可以达到100°C以上,可充分保证局部肿瘤灭活。
3、超声引导下热消融治疗优点是什么?
由于整个治疗过程均在高分变率超声实时监测下完成,医生能准确定位结节的边界、范围,并进行定点清除,保证了治疗范围能够精准局限于病灶和病变周围可能受侵的部位。治疗的同时,能有效避免对正常甲状腺功能的损害。超声引导热消融术效果肯定、操作时间短、损伤小、并发症少、无瘢痕、恢复快等优点,逐渐成为甲状腺结节首选治疗方式。
4、哪些甲状腺结节可以选用热消融治疗?
对于甲状腺良性结节,大多数需要进行治疗的良性结节可以通过热消融进行有效治疗。
对于甲状腺恶性结节,热消融可以有效治疗大多数病理诊断为甲状腺乳头状癌、同时满足病灶最大直径≤10mm,不临近被膜,且病灶没有其他部位转移的患者。
专家介绍

栾玉爽 超声科副主任、主任医师
学术任职:北京慢性病防治与健康教育研究会超声医学专业委员会常委,中国医学影像技术研究会超声分会妇产科专业委员会委员,北京女医师协会超声委员会委员,中国民族卫生协会超声介入分会委员。
擅长领域:擅长甲状腺结节、子宫肌瘤、肝脏肿瘤等消融治疗,各部位囊肿硬化治疗、脓肿和积液置管引流、实体肿瘤超声造影和穿刺活检,扳机指、腕管综合征、肩周炎、神经卡压等肌骨疼痛疾病的超声介入治疗。
出诊时间:超声专家门诊:每周二上午
超声介入门诊: 每周一至周五下午(出诊时间若有变化,请以当日为准)


