“小宇的情况越来越好,可以随时回家啊。”在航空总医院,神经外四科主任肖庆博士查房时,看到7岁的小宇患者不再哭着喊头痛,整天笑呵呵的,自己学习、玩耍,恢复了孩子应有的天真快乐的模样,很是高兴。
家长看着孩子恢复了往日健康的样子露出了欣慰的笑容,再三感谢肖庆主任团队解决了一年多来压在家人心头上的“大山”。
在11月底,小宇家人经介绍找到肖庆博士,希望帮助解决小宇脑积水术后反复头痛、行走不稳、双眼斜视的问题。肖庆博士仔细了解患儿病情及治疗经过,召集科室专家会诊,拟定针对性治疗方案。

神经外四科主任肖庆接诊中(资料图)
通过了解得知,小宇于2021年7月底夜间开始频繁地出现头痛症状。为了查明原因,家长带他于当地医院就诊,头部MRI检查结果显示小宇四脑室有一个占位性病变。家长立刻带孩子到北京某大型三甲医院求医,于8月初做了占位切除手术,病理报告显示是一个胆脂瘤。家长还没来得及把心放下,孩子又出现了脑积水的问题。于8月中旬,小宇又做了脑室-腹腔分流术,术后恢复得还不错。然而,在2022年6月时,小宇又出现恶心、呕吐等症状,经动态观察两个月症状没有缓解。
家长又带着他来到北京一家大型脑科医院就诊,开始了长达一年多往返医院调压的经历,每次症状缓解不了多久又开始反复。看着孩子饱受病痛的模样,家长揪心不已。今年10月底,小宇CT检查显示脑室明显缩小,医生和家长对此一筹莫展。医生突然想起航空总医院肖庆主任曾在学术会议上讲过类似报告,建议家长找肖庆主任试试。

肖庆手术中(资料图)
接诊后,肖庆详细询问病情,分析以往检查影像资料,完善各项相关检查后认为,患儿脑积水动态监测脑室进行性扩张,颅内压较高,脑积水需手术治疗,建议选择脑室镜下脑室探查术,明确脑室内情况,酌情行三脑室底造瘘术治疗,重建脑脊液内循环,借助基底动脉搏动进一步改变脑脊液循环动力。
肖庆耐心讲解了治疗方案和预判风险。小宇父母不忍心让孩子继续经受反复调压的折磨,毅然决然地选择神经内镜治疗,尽可能拔掉管子。

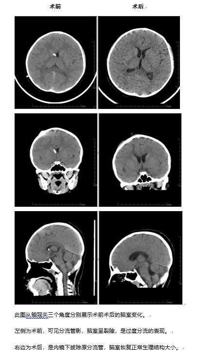
随后,肖庆团队为小宇在全麻下完成神经内镜检查术+神经内镜下第三脑室底造瘘术+脑室分流管去除术+脑室外引流术;术后6天,肖庆团队为小宇拔除脑室外引流,复查头颅CT脑室未见扩张,可以出院回家休养。


自此,小家伙再也不哭着喊头痛了,恢复了一个7岁孩子应有的模样。看着孩子情况越来越好,家长的心情也轻松许多,一直感慨没有早点找到肖庆主任,就不会让孩子遭受这么久的折磨,这次幸亏找对了医生。
专家视点
肖庆:神经内镜在脑积水治疗中具有重要作用
大多数进展性脑积水可选择脑室-腹腔分流术,但术后容易并发分流不足、分流过度、分流管梗阻及感染等并发症,需要终身带管。所以,脑积水的治疗更强调个性化,也就是根据积水的原因、类型及程度选择不同的治疗方法。
分流术后裂隙脑室是分流术后常见并发症之一,是由分流压力选择不当所导致。其实,相当一部分病例可通过神经内镜手术治疗去除分流管,使患者不再终生依赖分流管。2006年以来,团队已成功去除分流管100余条。
据悉,运用软性神经内镜可以对脑室系统进行全面的探查,对脑积水的病因和日后的判断有很大帮助。内镜下第三脑室造瘘术治疗导水管狭窄或后颅窝良性占位性病变引起的脑积水,有效率分别可达到85%以上,明显高于其它术式;尤其对小儿脑积水患者来说,随着患儿成长,需要多次进行腹腔分流术,很容易发生并发症且危险性也比较大,而内镜下第三脑室造瘘术在这方面效果要好得多,是目前治疗小儿梗阻性脑积水理想的选择。
专家介绍

肖庆,神经外四科主任、主任医师、北京市神经外科研究所神经外科学博士,中国医师协会神经内镜软镜技术培训中心负责人、荣获2018年第二届“国之名医·优秀风范”称号。
肖庆率先将内镜外科(NOTES)技术应用到脑室-腹腔分流术治疗脑积水领域,改良优化了手术操作,在软性神经内镜微创手术治疗各种类型复杂脑积水、重度脑室感染、颅内蛛网膜囊肿、颅内血肿、脑室脑池内囊虫及脑室内肿瘤等脑室脑池疾病方面积累了丰富经验,多次在美国、希腊、日本、韩国、英国、香港等国内外脑积水及神经内镜学术研讨会上介绍经验。
出诊时间:星期二下午、星期四下午 (如有变化,以当日挂号为准)


