肺炎支原体肺炎是指肺炎支原体感染引起的以间质病变为主的急性肺部炎症,可以累及支气管、细支气管、肺泡和肺间质,主要通过飞沫、直接接触传播,潜伏周期1-3周,可集群发病,多见于5岁及以上儿童,5岁以下儿童也可发病。临床表现多以发热、咳嗽为主要临床表现,可伴有头痛、流涕、咽痛、耳痛等。发热以中高热为主,持续高热者预示病情重。咳嗽较为剧烈,部分患儿有喘息表现,以婴幼儿多见。5岁以上儿童易发展为肺炎。
影像学检查尤其是CT是重要的检查手段,也是临床判断病情严重程度和评估预后的主要依据之一。支原体肺炎病理变化是首先侵犯气道粘膜上皮,引起支气管壁水肿增厚,接着向气道周围间质蔓延,引起肺间质充血、水肿及炎性细胞浸润,最后延伸至肺泡。在CT图像上主要有以下几种表现:
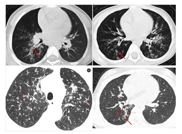
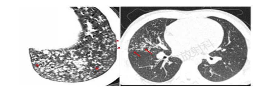
1.支气管壁增厚:支气管肺炎较可靠征象,支气管壁光滑、均匀增厚,可侵犯周围间质,周围边缘模糊,表现为支气管炎及周围炎,多由肺门向外周进展。

2.树芽征:细支气管或终末支气管内粘液阻塞,远端增粗,像树上发的新芽。

3.树雾征:支气管周围间质水肿,形成沿支气管蔓延的磨玻璃影,如同树周围的雾一样。

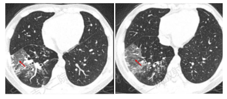
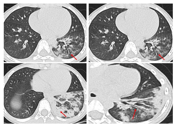
4.磨玻璃影:间质内水肿或部分肺泡内渗出,表现为磨玻璃样影。

5.大片实变:表现为中-高密度阴影,可有支气管气象,可伴有肺不张及胸腔积液,早期可表现为小叶中心结节影,随着病灶进展,进展为全小叶或更大范围。

随诊疾病的不同阶段,多种形态、大小不等和密度不均的病灶可混合出现,支气管壁增厚、树芽征、树雾征及实变影等征象可同时存在,结合咳嗽、发热等症状,可对支原体肺炎做出诊断。

肺炎支原体肺炎病灶可先后出现,此起彼伏,临床与影像不同步,往往表现为临床轻、影像重,而且在发病初期支原体抗体阴性或浓度不高,此时也不能排除支原体感染,所以CT在支原体肺炎诊断及评价治疗效果非常重要。
值此2023国际放射日,也赶上秋冬季病毒高发期,中国中医科学院眼科医院放射科竭诚为您服务

中国中医科学院眼科医院放射科是集医疗、教学、科研为一体的现代化科室,拥有一支高素质的医技护团队,配备了国际上最先进的检查设备,掌握了世界上最先进的检查手段,能做到精细化扫描、个性化方案、快速预约、精准诊断。
放射科是全国中医影像联盟理事单位,为北京医学会放射学分会,中国医学装备技术学会,北京中西医结合学会,北京中医药学会,中华医学会结核影像分会等学会委员及常务委员单位。是高端CT、磁共振全国临床应用及培训示范基地。
放射科目前拥有高端128排256层CT机、高端磁共振机、全新的DR及移动DR机、双能全身骨密度机、口腔颌面CT机等。
放射科致力于用尖端影像检查技术为医疗安全保驾护航,为人民健康服务。
放射科预约、值班电话:010-68688877转6657

本文部分资料及图片来源于网络文献,特此致谢。


