析毫剖厘,火眼金睛,一名脑血栓患者在血管介入科得到成功救治
近期,血管介入科成功救治了一名颈内动脉闭塞合并大脑中动脉急性血栓的患者,挽救了患者的生命。
58岁的李大哥1周前有晕倒病史,但是没有到医院系统的治疗。发病前5个小时被人发现说不出话,右侧肢体不能活动。在我院神经内科急诊完善头颈部动脉CTA+CTP提示左侧大脑半球大片缺血带(图1)。是怎么回事呢?细心的血管介入科医生经过认真的分析图像,发现李大哥左侧颈内动脉存在的一个非常局限性的闭塞(图2、3),由于该段血管迂曲的走行在颅骨内不宜被发觉。得益于我院卒中团队的丰富经验,患者很快经绿色通道送至导管室准备手术。
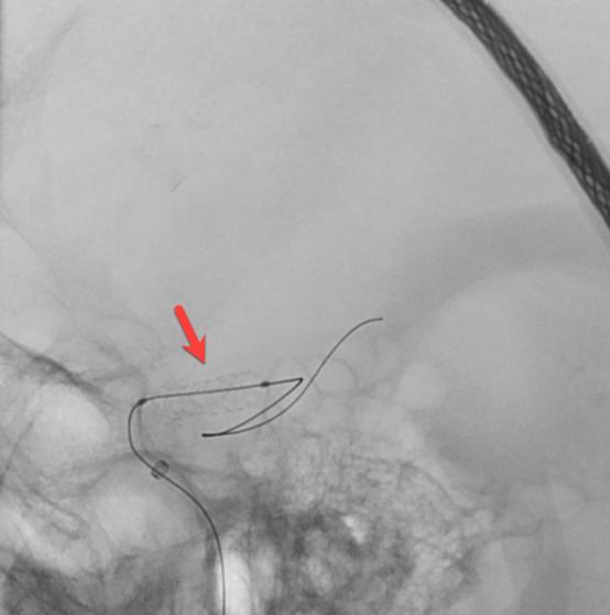
在转运的过程中,患者症状持续加重,完全失语、右侧肢体全瘫同时意识逐渐模糊。糟糕,一定是左侧颈内动脉闭塞后血流缓慢继发颅内血栓形成。时间就是大脑,为挽救李大哥的生命,民航总医院卒中团队高效运作起来,神经内科、血管介入科、麻醉科迅速完成了患者的转运、麻醉及造影。如术前所料,患者左侧颈内动脉C6段闭塞(图4、5),左侧大脑中动脉M2段血栓形成(图6)。一个一个环环相扣的动作,一个一个精细无间的配合,血管介入科团熟练的完成了取栓支架就位(图7)、取出大脑中动脉血栓、植入颈内动脉支架(图8)等一系列操作,成功的开通了血管,恢复了颅内的血流(图9、10)。
最终在血管介入科医生及护士的细心照顾下,李大哥恢复了健康,没有残留明显的后遗症。出院时给细心照顾过的他的血管介入科团队送上了深深的感谢。
急性缺血性脑卒中治疗的关键是急性期,阳性试验证实了血管内治疗能显著改善颅内大血管闭塞患者预后,降低致残率和死亡率,由此,机械取栓作为急性大血管闭塞患者的首要治疗方式。

图1

图2

图3

图4

图5

图6

图7

图8

图9

图10



