肿瘤微创介入治疗是一种现代高科技微创性治疗,在CT、DSA、MR、超声等医学影像设备引导下,将特制的导管、导丝、穿刺针、活检枪、消融针、支架等精密器械引入人体,对体内病灶进行诊断或局部治疗。
近期,一名74岁男性患者,发现肺部有问题,医生初步判断是肺癌,建议进一步穿刺活检明确病理诊断。患者于十一前分别到两家医院就诊,一家告知活检风险大不予穿刺,一家需节后2周后预约,患者和家属非常着急,机缘下就诊于石景山医院。


患者入院后一般状况尚可,但胸部CT片确实很令人吃惊,肺的状态很差,至少50年以上烟龄,病灶不小,位于右肺上叶近纵隔,穿刺风险巨大,还有气胸风险。为了早日得到明确诊断早日治疗以消除家属的焦虑,且不辜负患者和家属的信任,肿瘤科医护于住院当天下午立即为患者做了CT导航下肺肿物穿刺活检术。

活检中图像
为防止气胸发生,活检术后给予了患者自体血凝块封堵术,手术过程顺利,很快病理结果显示——肺鳞癌。有了明确诊断,不仅后续的治疗可以很快开展,最重要的是给患者及家属一个肯定的答复,患者及家属也对肿瘤科大夫的担当精神给予了积极的好评。
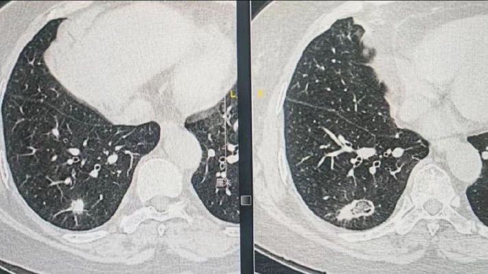
还有一名69岁女性患者,因右肺亚实性结节入院,恶性结节可能性大,医生建议观察3个月后复查或外科手术切除,也可以微创热消融治疗,微波消融可加热病灶及周边亚临床病灶达110℃—130℃使肿瘤组织凝固性坏死,以达到微创治疗肿瘤目的。


经过肿瘤科医生与家属的充分沟通,最终选择微创热消融治疗。10月11日,肿瘤科张利锋主任医师在CT导航下为患者进行右肺结节经皮微波消融术,手术顺利。术前后CT片对比可见该结节已被完全热覆盖,达到完全消融目的。
目前,石景山医院肿瘤科以全新的站位,全新的服务理念,多种检查及治疗手段:以肿瘤化疗、免疫、靶向治疗为基础,同时开展快速穿刺活检、射频消融、电子支气管镜、多种静脉血管通路装置置入、终末期安宁缓和医疗等。为肿瘤患者提供方便快捷的全方位服务。


