**导语**
作为产科医生,我们见证过新生命降临的喜悦,也深知每个家庭对健康宝宝的期盼。
2025年3月21日是第14个“世界唐氏综合征日”。今年的主题为:关注唐氏,支持和行动。倡导全社会关注唐氏综合征,生育人群采取行动积极预防唐氏发生,社会各界创造条件支持唐氏患者更好融入社会。愿每个孩子都能拥有健康的起点,每个“唐宝宝”都能被世界温柔相待。
**医学视角:认识唐氏综合征**
1.什么是唐氏综合征?
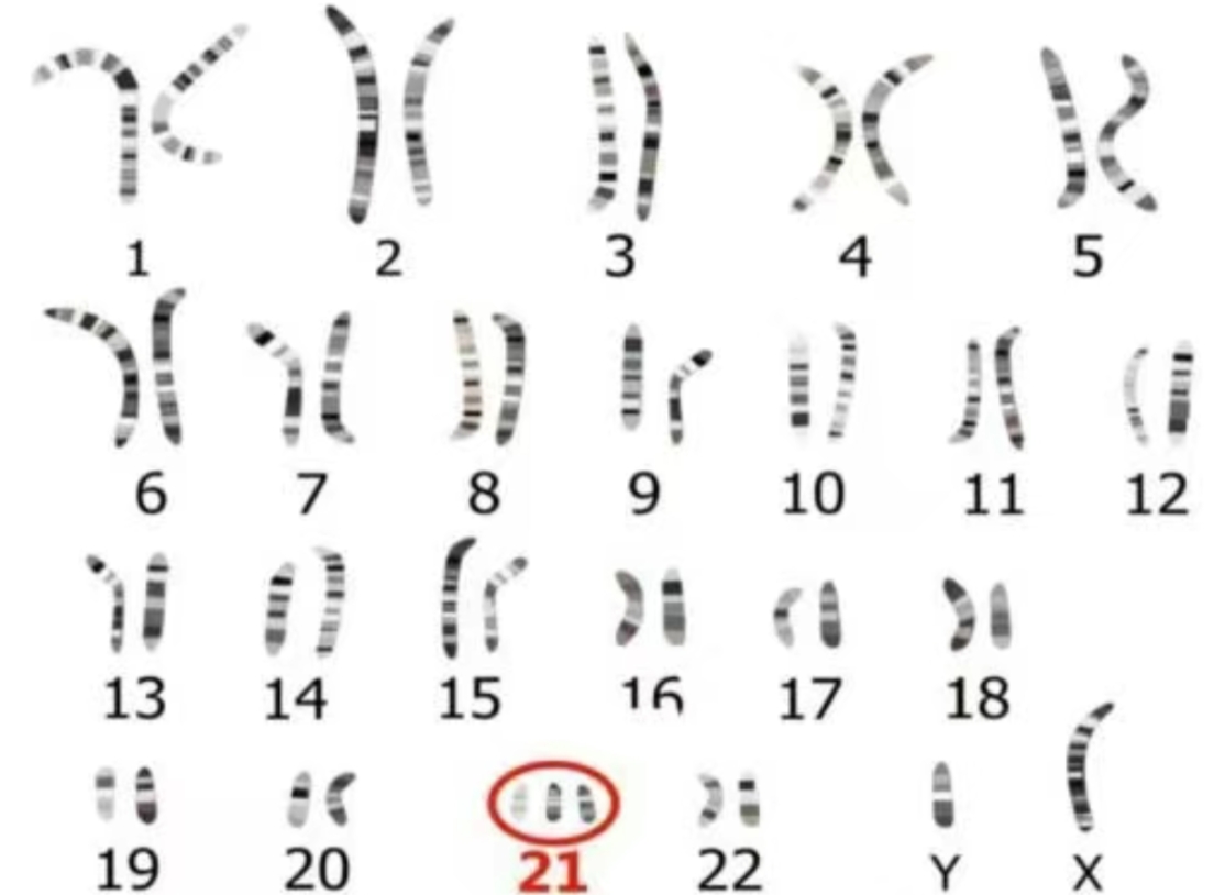
•染色体异常:由21号染色体多出一条(21三体)导致,发生率约1/800,与孕妇年龄显著相关(如35岁以上风险升至1/350)。

•典型特征:智力发育迟缓、特殊面容(眼距宽、鼻梁低平等)、肌张力低下,可能伴随先天性心脏病、消化系统畸形等。
2.医学筛查与诊断
•孕前预防:
-建议夫妻双方孕前进行遗传咨询,尤其高龄、有家族史人群。
-提前3个月补充叶酸(0.4-0.8mg/天),降低神经管缺陷风险。
•孕期筛查:
-唐氏筛查:孕早期(9~13⁺⁶周)和孕中期(15~20⁺⁶周)通过抽取孕妇外周血,检测母体血清中甲胎蛋白和游离绒毛膜促性腺激素(Free-βHCG)等的浓度,并结合孕妇其它资料(包括孕周、体重、年龄等),计算出唐氏儿的危险系数的检测方法。
-NT筛查:孕早期(11~13⁺⁶周)对胎儿颈项皮肤透明膜厚度(NT)、静脉导管血流(DV)、鼻骨(NB)等超声指标进行的超声筛查,NT增厚越明显,胎儿异常机会就越高,异常程度也越严重。
-无创DNA检测(NIPT):孕期(12~22⁺⁶周)无创DNA检测通过采集孕妇外周血提取游离DNA,采用测序技术,检测胎儿的染色体异常情况。
-产前诊断:①羊水穿刺(16-24周,金标准);②绒毛膜取样(孕11-14周);③脐带血穿刺(孕24周后),适用于特殊需求或错过羊穿时间的孕妇。
3.诊疗建议
-高风险结果≠绝望:需结合遗传咨询、超声结构筛查综合评估,部分家庭可选择继续妊娠并提前规划干预措施。
-出生后管理:早期康复训练(语言、运动)、定期评估心脏及甲状腺功能,改善预后。
**给准父母的科学建议:预防从细节做起**
•备孕阶段:
-戒烟戒酒,远离辐射、化学污染等致畸环境;
-控制慢性病(如糖尿病、高血压),降低妊娠风险。
•孕期关键点:
-严格按时产检,勿因“怕麻烦”跳过唐氏筛查;
-高龄孕妇(≥35岁)建议直接羊水穿刺;
-保持情绪稳定,过度焦虑反而不利胎儿健康。
**暖心提示**
-科学预防不意味排斥,而是为了更理性地拥抱生命。
-即使面对唐氏宝宝,早期干预也能极大提升生活质量。
**社会支持:让“唐宝宝”走得更远**
•医疗资源:推动新生儿唐氏筛查普及,建立早期康复绿色通道;
•教育融合:鼓励幼儿园、学校接纳唐氏儿童,提供特教支持;
•就业保障:企业开发简单技能岗位,如手工制作、整理收纳等;
•公众意识:用“唐氏综合征患者”替代“唐氏儿”,尊重人格独立性。
本文仅限于公益科普及学术交流,如有不适请及时就医。文中部分资料来源网络,侵删。


