随着医疗水平技术水平不断的提高,CT检查已成为辅助诊断不可缺少的一部分。增强CT是一种无创、快速的医学影像检查方法,通过静脉注射碘对比剂,显著提高病变组织与正常结构的对比度,从而清晰显示解剖细节和组织特性。
一、增强CT留置针穿刺的目的
增强CT通过对静脉注入对比剂的方式来改变感兴趣区的组织密度,从而更好地区分各组织或判断异常组织的特性。

增强CT预留留置针
二、增强CT对比剂注射方法
增强CT对比剂注射方法有经验法、小计量测试法、智能追踪三种扫描方法。间接-智能追踪法是增强CT时常用的对比剂注射方法。即从静脉注入对比剂,对比剂经过一次肺循环后进行体循环时,监测靶血管的CT值,待其达到阈值时自动进行扫描。
在应用间接法-智能追踪扫描方式时,如果留置针位置选择不当,可能会出现大部分对比剂未能第一时间参与灌注,导致在肺循环中对比剂与血液比例远低于正常值,即便达到靶血管的阈值,而感兴趣区CT值仍然过低,影响诊断。

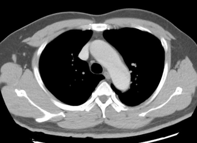
灌注不足 主动脉弓CT值过低
三、对比剂途经路径与常规留置针穿刺位置的选择
1.常规增强CT扫描时造影剂的途经路径为:
上肢静脉→腋静脉→锁骨下静脉→头臂静脉→上腔静脉→右心房(开始肺循环)
根据此路径可发现当对比剂到达锁骨下静脉、头臂静脉时,左右两侧的路径发生分歧,右锁骨下静脉→右头臂静脉路径距右心房的距离要明显短于左锁骨下静脉→左头臂静脉路径。同时右锁骨下静脉连接右头臂静脉后直接汇入右心房,而左锁骨下静脉连接左头臂静脉的同时需跨越左颈总动脉、头臂干,部分情况下还会受到主动脉弓的影响。
如下图所示

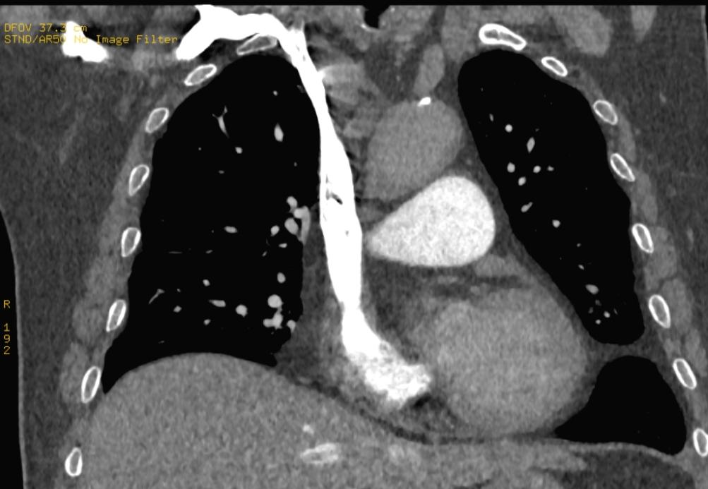
2.常规优先选择右上肢留置穿刺针:
增强CT在高速团注时应优先选择血管条件好、管径粗、影像伪影少、路途短的血管快速将对比剂汇入心脏完成循环。大多数人右上肢血管管径粗、走形直,没有太多的弯曲,造影剂经头臂静脉直接进入上腔静脉的路程短且通畅。

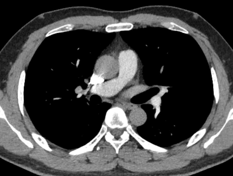
右锁骨下静脉经头臂静脉直接进入上腔静脉
3.左上肢留置穿刺针存在的问题:
左侧锁骨下静脉需跨过主动脉弓,路程较远且比较迂曲,受解剖结构影响,左侧锁骨下静脉狭窄较右侧更为多见,且一般狭窄程度重于右侧,因此在注射对比剂时会引起阻力较大,容易出现以下情况:
1)由于受主动脉压迫导致对比剂冲入浅表静脉网中。受阻严重导致团注效果不佳。

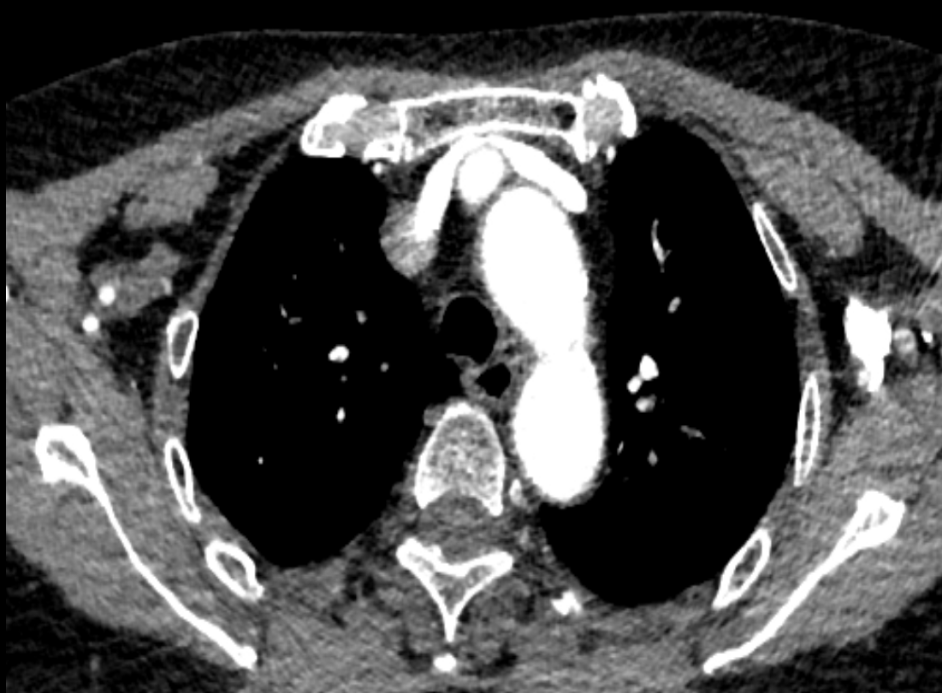
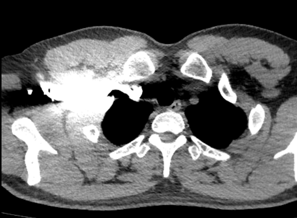
颈总动脉压迫左头臂静脉

左侧锁骨下静脉受主动脉弓挤压,导致对比剂冲入浅表静脉网中

左侧锁骨下静脉受主动脉弓挤压 血管充盈不佳
2)左上肢留置针穿刺高速团注对比剂时,不但行程远、还受主动脉弓压迫导致进入右心房的时间延长,同等体重患者需增加注射压力和药量。

进入肺循环的造影剂总量不足导致监测层CT值曲线迟迟达不到触发值
3)左头臂静脉回流产生线束硬化伪影,影响心脏及大血管造影检查。

静脉回流对头颈CTA的影响
4.特殊情况下留置针穿刺位置的调整
CT增强扫描左右手留置针时并非必须右手原则,还要综合考虑患者的血管条件、是否存在损伤风险、急重症患者的操作便利等情况。在条件允许、保证图像质量情况下尽量首选右上肢肘正中静脉。当患者处于特殊情况时,则需更换为左侧进行留置针穿刺有:
1)右侧上肢骨折、皮肤受损不易预留留置针;
2)右侧乳房切除、腋下淋巴结清扫术;
3)透析患者需保护造瘘侧手臂的;
4)右侧上肢血管畸形或闭塞。


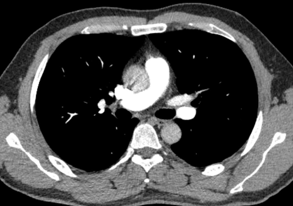
右锁骨下堵塞导致肺动脉充盈欠佳

改左手注射 肺动脉充盈理想


