寒假是孩子们放飞自我的快乐时光,滑雪、滑冰、追逐嬉戏……但意外也往往在不经意间发生。当孩子哭着跑来,手里拿着半颗门牙时,很多家长都会瞬间慌了神。
别慌,只要处理得当,摔断的牙齿断片有很大机会能被重新“拼接”回去,再现牙齿原貌。
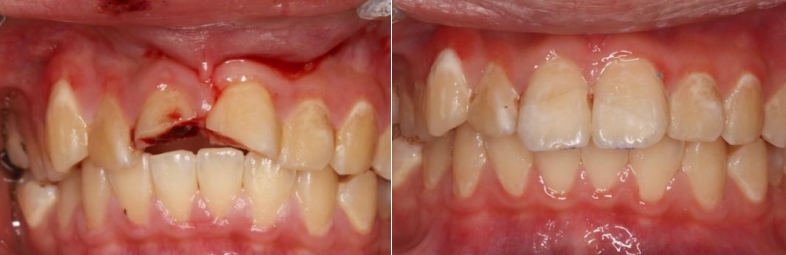
断牙“复原”的真实案例
13岁的小怡在活动时不慎摔倒,两颗门牙不幸折断。幸运的是,家人冷静地在现场找到了牙齿碎片,并立即将它们泡在一杯鲜牛奶中,来到我科就诊。临床检查后发现,断片完整、保存得当,在经过了适宜的活髓保存和牙髓治疗后,为小怡进行了断片粘接修复。两颗门牙恢复了完整形态,颜色、与原来基本无异,小怡重新露出了自信的笑容。
这个成功案例揭示了应对牙外伤的三个关键:找到断片、正确保存、及时就医。

牙外伤:儿童青少年牙齿健康的常见挑战
牙外伤是儿童和青少年最常见的口腔急症之一,其发生率仅次于龋齿。据统计,约有四分之一的学龄儿童曾经历过不同程度的牙外伤。在假期活动增多时,这类情况更容易发生。其中,牙齿折断是最常见的类型之一。
值得庆幸的是,现代牙科粘接技术,特别是断冠再接术,为牙齿的“完璧归赵”提供了可能。与直接用树脂材料修补相比,如果能找到完整的牙齿断片,医生可以像拼接瓷器一样,使用高性能的粘接剂将其精准复位。这样做不仅能最大程度地恢复牙齿天然的形态、颜色和通透感,美观效果更好,也更易被孩子和家长接受。
现场急救“三法则”
牙齿断片能否成功接回,很大程度上取决于事故后现场处理方法:
1.冷静寻找保持镇定,仔细寻找牙齿碎片。
2.科学保存(保持湿润)如有污物,用牛奶或生理盐水轻轻冲洗,切勿用消毒剂浸泡,立即将断片放入保存介质中。国际牙外伤协会推荐优先级为:鲜牛奶(最佳选择,方便易得)、生理盐水(药店可购),没有其他选择时,使用清水,尽量避免干燥保存,这会造成牙齿脱水,影响粘接强度。
3.快速就医对于有牙髓暴露的牙齿,越早就医,2小时以内较为理想。暴露时间越短,牙髓存活几率越高。也有报道未污染的年轻恒牙外伤后1周成功保存活髓的案例。
医生如何实现“断片复原”
在医院,专业修复过程包括:
1.精准评估:通过临床检查和X光片,判断断裂范围、深度及牙髓状况
2.断片预处理:对您带来的断片进行专业清洁、酸蚀等处理
3.显微对接:在显微镜辅助下,医生像修复珍贵瓷器般,将断片精确对位
4.牢固粘接:使用仿生粘接剂实现无缝衔接
5.精细调整:固化后调整咬合,抛光至光滑自然
最好的保护是预防
预防永远胜于治疗,特别对于活跃期的儿童:
运动防护:参加篮球、滑板、滑雪等运动时,佩戴定制防护牙托
合适装备:穿防滑运动鞋,避免在湿滑地面奔跑
乘车安全:全程使用儿童安全座椅或系好安全带
环境安全:家中桌角加装防撞条,保持活动区域光线充足


