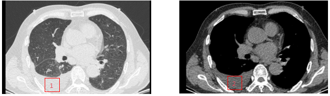
近日,一位来自内蒙古自治区的患者来到清华大学附属垂杨柳医院胸外科就诊。据患者讲述:最初他仅出现轻度胸闷、憋气,因未及时重视,后症状加重。在当地医院行胸部CT检查,提示右肺多发结节、右侧胸膜下多发不规则软组织密度影、右侧大量胸腔积液,伴纵隔淋巴结肿大。在当地医院行胸腔穿刺引流术后,胸闷症状缓解,但胸水病理仅提示可疑肿瘤细胞,未明确肿瘤类型。而持续的引流导致其体重下降近3公斤,为进一步诊疗,患者来到清华大学附属垂杨柳医院胸外科寻求帮助。
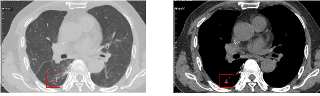
入院完善检查后,胸外科团队为患者实施“腔镜下右肺楔形切除术+胸膜活检术+腔内肿瘤热灌注治疗”,手术过程顺利。为巩固效果,术后追加两次热灌注治疗,并结合术后病理结果制定后续方案,患者顺利完成治疗后出院。术后2个月复查胸部CT显示,胸腔积液完全消失,生活质量显著改善,为后续治疗与长期管理创造了有利条件。
这一诊疗效果的达成,不仅是患者积极配合与胸外科团队努力的结果,也离不开麻醉科术中支持及重症监护团队的保障。多学科协作,为应对复杂病情提供了有力支撑。
科普之窗
1.什么是胸腔热灌注治疗?
胸腔热灌注治疗(HIPEC)是集区域化疗、热疗与灌注技术于一体的局部治疗手段,核心原理包括三方面:
“热”效应:利用癌细胞较正常细胞不耐热的特性,将42-46℃的化疗药物溶液循环灌注到胸腔内,通过高温破坏癌细胞细胞膜结构,诱导其凋亡。
“药”效应:高温环境可增强化疗药物向肿瘤组织的渗透能力,提升药物细胞毒性作用。
“灌”效应:持续循环灌注可清除胸腔内游离癌细胞及微小病灶,降低复发风险。
2.热灌注治疗的特点有哪些?
局部作用为主:药物主要集中于病变区域,全身暴露量少;可降低恶心、呕吐、骨髓抑制等全身性化疗副作用。
针对性改善症状:对恶性胸腹水有较好的控制效果,可缓解腹胀、呼吸困难等不适。
需多学科协作:治疗过程需精准控温、规范操作,依赖团队配合。
3.哪些患者可能适合热灌注治疗?
该治疗有明确适应证,主要包括肺癌伴恶性胸腔积液或腹腔积液、肺癌胸膜播散转移等情况。需注意的是,并非所有患者均适用,最终需由胸外科联合多学科团队(MDT),根据患者转移范围、身体状态等综合评估确定。
以上内容仅作医学科普参考,具体诊疗请遵医嘱。
术 前

术后2月

1、胸腔积液(肺窗);2、胸腔积液(纵隔窗);3、1、胸腔积液(肺窗);2、胸腔积液(纵隔窗);3、胸腔积液消失(肺窗);4、胸腔积液消失(纵隔窗)。


