在清华大学附属垂杨柳医院脊柱外科(骨四科)病房,21岁的大学生小林(化名)正扶着助行器缓步移动,进行着每日的康复训练。她笑容明朗,眼神中充满了对重返校园生活的期待。就在几周前,一场突如其来的疾病和一场高难度的手术曾让她与家人陷入深深的焦虑。此刻的平稳康复,得益于一场多学科精密协作的医疗“团战”,其中,介入与血管外科一项名为“术前介入动脉栓塞”的微创技术,成为了决定这场战役胜负的关键“先手棋”。
隐匿的危机:年轻背影下的剧痛与阴影
一个月前,一向健康活泼的小林开始感到背部隐隐作痛。起初她以为是学业劳累所致,并未在意。然而,疼痛持续加重,如影随形,甚至影响了日常活动和睡眠。意识到问题严重性的家人立即带她前往清华大学附属垂杨柳医院骨科就诊。
经过详细的影像学检查,一个令人不安的发现浮出水面:她的第4胸椎(T4)出现了明显的骨质破坏。为进一步明确诊断,小林随后前医院进行了相关检查。结果证实,她的T4椎体左旁长有一个神经源性肿瘤,这个肿瘤已经侵蚀了T4椎体及附件,并累及了相邻的左侧第4根肋骨。

神经源性肿瘤虽多为良性,但其生长位置极其“刁钻”,紧邻脊髓、主动脉、心脏等重要结构,且血供往往非常丰富。根治的唯一方法是手术切除,并进行椎体重建术以稳定脊柱。然而,这颗被喻为“埋在生命交通枢纽旁的炸弹”,使得手术难度和风险呈几何级数攀升。
“这个区域血管网络错综复杂,肿瘤本身血供丰富,术中一旦大出血,止血将极为困难,视野会被淹没,不仅肿瘤难以切净,更可能损伤脊髓导致瘫痪,甚至危及生命。”骨科专家坦言,此类手术常规预期出血量可达3000毫升以上,相当于一个成年人全身血液总量的三分之二,术中大量输血和相关并发症风险极高。
多学科会诊(MDT):制定“先栓后切”的精密战术
面对如此严峻的挑战,清华大学附属垂杨柳医院脊柱外科(骨四科)迅速启动多学科协作(MDT)机制,邀请介入与血管外科共同会诊,寻求解决方案。介入与血管外科主任杨永久在详细了解病情后,提出了一个核心建议:“我们不能打无准备之仗。在骨科医生‘总攻’之前,先由我们血管介入团队进行‘精确打击’,通过术前介入栓塞术,提前切断肿瘤的‘粮草供应’。”
杨永久向小林和家人形象地解释,肿瘤的生长离不开血液输送的营养。我们的介入栓塞技术,就像派出一支精准的“特种部队”,通过一个针眼,在血管内导航,找到所有给肿瘤供血的小血管(主要是肋间动脉),然后用特殊的栓塞材料把它们堵死。这样,等到做外科手术时,肿瘤就会因为“断粮”而缺血、变硬,出血量自然会大大减少,外科医生也能在更清晰、安全的环境下彻底切除肿瘤。
这个清晰且富有逻辑的治疗方案,瞬间驱散了笼罩在一家人心头的阴霾,他们毫不犹豫地同意了这一领先的MDT治疗策略。
微创“断粮”:介入团队上演高精度“血管内舞蹈”
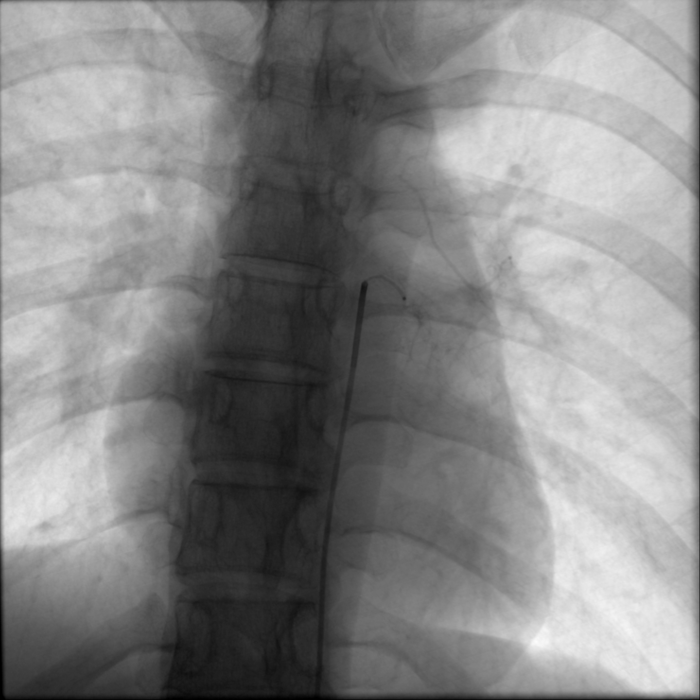
手术日,小林首先被送入介入导管室。在局部麻醉下,杨永久指导,介入与血管外科主治医师满新贺、郑新颖开始了这场高精度的“血管内操作”。
第一步是动脉造影。医生经股动脉穿刺,将一根纤细的导管送至胸主动脉,注入造影剂。瞬间,清晰的血管影像实时呈现在数字减影血管造影(DSA)屏幕上。可以明显看到,肿瘤区域有数根异常增粗、迂曲的血管(主要为肋间动脉)正如同“河流”般源源不断地向肿瘤组织输送血液。

接下来是手术最精妙的环节:超选择性血管栓塞术。满新贺操控着更细微的微导管,如同驾驶飞船在复杂的血管迷宫中穿梭。他们凭借精湛的技艺和丰富的经验,小心翼翼地避开供应正常脊髓和重要器官的血管分支,将微导管头端精准地置于每一根为肿瘤供血的靶血管内。
“位置完美,可以栓塞!”确认无误后,一种特制的栓塞微粒被缓缓注入,这些微粒随着血流精准地沉积在肿瘤的血管巢中,形成栓塞,彻底阻断了血流。屏幕上,原本显示肿瘤血供的浓密“染色”区域逐渐变淡、消失。

手术历时一个多小时,全程患者清醒,仅在大腿根部留下一个微小穿刺点。术后造影证实,肿瘤的主要供血动脉已被成功“封闭”。
精准“拆弹”:外科手术水到渠成,出血量锐减
介入手术后的最佳时间窗内,脊柱外科(骨四科)手术团队接力上台。正如术前预判,因为血供被有效阻断,肿瘤实质相对缺血、质地更韧,与周围组织的边界也更清晰。
术中,主刀医生发现手术野的渗血量较未栓塞病例显著减少,视野清晰,为精细分离肿瘤、保护紧邻的脊髓和神经根创造了极其有利的条件。最终,团队成功完整切除了侵犯椎体、附件及肋骨的肿瘤,并顺利完成了椎体重建内固定术,用钉棒系重新稳定了患者的脊柱。
当手术结束时,统计出的出血量让整个团队倍感欣慰:全程出血仅约800毫升!这与以往同类手术动辄3000毫升以上的出血量相比,下降了超过70%。出血量的大幅减少,极大降低了术中输血的需要及相关风险,也为患者术后快速康复奠定了坚实的基础。
重获“脊”梁,迈向新生

由于手术创伤和应激反应被降到最低,小林术后恢复得非常顺利。疼痛控制良好,未出现任何神经损伤症状,在医护人员指导下,她很快便开始进行康复训练,身体机能一天天恢复。
“真的太感谢杨主任、满医生和骨科的所有医生护士了,”小林的父亲激动地说,“没想到那么大的手术,能用这么先进的办法把风险降到这么低。孩子少受了很多罪,我们做家长的也放心了。”
杨永久在总结此案例时表示,此病例再次证明了介入医学在现代医院多学科协作中的核心价值。医生通过一个微创操作,化“高风险”为“相对安全”,为外科同事创造了绝佳的手术条件,最终直接造福了患者。满新贺等年轻骨干的技术也已非常娴熟,体现了团队的整体实力。
结语:
小林的成功救治,是清华大学附属垂杨柳医院坚持“以患者为中心”、推行多学科协作诊疗(MDT)模式的又一典范案例。它清晰地展示了面对复杂疑难疾病时,整合各学科技术优势,优化治疗流程,能够实现“1+1>2”的效应。介入与血管外科的术前栓塞术,作为高血供肿瘤手术的“安全前哨”,正以其精准、微创、高效的独特优势,在不断拓展临床应用的边界,为更多患者点燃生命的新希望,守护他们挺直人生的“脊梁”。


