粽情端午之际,清华大学附属垂杨柳医院消化内科接诊了多例因误吞枣核引发消化道损伤的患者。枣核两端尖锐无法被人体消化液分解,是消化系统的“甜蜜刺客”,误吞后易卡顿于食管狭窄处,严重可使消化道穿透引发感染、穿孔、出血等并发症。
患者王女士(化名)因误吞枣核半天就诊于清华大学附属垂杨柳医院消化内科。完善颈胸部CT提示食管内异物,颈根部及纵隔内少许积气,考虑穿孔可能。病情危重,经联系胸外科副主任医师胡晓丹后讨论后决定先行内镜下异物取出,术后禁食水1周,予抗感染治疗。

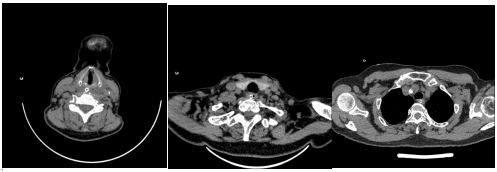
颈胸部CT可见食管入口处异常密度灶,颈根部及纵隔内少许积气
消化内科主治医师李浩然和微创中(第二手术区)心护士长刘骥为患者行内镜下食管内异物取出术。术中可见一枣核卡顿于食管入口处,周围黏膜充血水肿伴破溃。使用异物钳钳取枣核头端,拖入透明膜内与内镜共同退出。二次进镜,食管入口处黏膜可见血肿、破溃及少量渗血,并行内镜下空肠营养管置管术。

术中可见一枣核卡顿于食管入口处,周围黏膜充血水肿伴破溃

使用异物钳将枣核取出,食管入口处黏膜可见血肿、破溃及少量渗血。

空肠营养管置管
术后患者于消化内科住院治疗,在主治医师谢俏、刘颖的细致诊治下,患者脱离险境,3天后复查颈胸部CT,颈根部及纵隔内少许积气完全吸收。

3天后复查颈胸部CT,颈根部及纵隔内少许积气完全吸收
端午节承载着千年文化记忆,莫让小小枣核酿成健康悲剧。掌握科学急救知识,让传统美食真正成为传递幸福的载体。如遇突发情况,请立即拨打120并保持制动体位,现代医疗的胃镜取异物技术已非常成熟,及时就医是最好选择。
科普小课堂
小小枣核竟会引发如此凶险的病情,如果不小心遇到枣核卡喉,我们该如何应对?
一、黄金急救四步法:
1.立即停止进食,保持直立姿势,避免弯腰挤压异物。
2.精准判断卡顿位置。
咽喉部:明显刺痛感,无法吞咽口水;
食道:胸骨后闷痛,呕吐反射;
气管:剧烈呛咳,声音嘶哑。
3.分部位处理。
气管卡顿(窒息风险):
成人:立即实施海姆立克急救法(站位冲击脐上两横指);
儿童:倒提拍背法(5次背部拍击+5次胸部按压循环)。
食道卡顿:
保持冷静,禁止催吐!禁止使用民间流传的"吞饭团、喝醋"等方法!可能造成二次伤害。
4.尽快消化内科就医。
完善颈胸部CT精准定位,急诊内镜食管内异物取出术;
二、防患未然五原则:
1.建议使用去核枣或枣泥,包装注明“含枣核”警示;
2.切开粽子检查,老人儿童建议“二次筛查”;
3.细嚼慢咽(单口咀嚼20次以上),避免谈笑进食,配饮清茶润滑食道;
4.戴义齿者、食道静脉曲张患者、阿尔茨海默症患者需专人监护进食;
5.建议配备医用镊子、头灯、压舌板,学习基础急救技能。


