如今纹身(包括纹眉、纹唇等)的人群越来越多,这些人群能做磁共振检查吗?回答这个问题还需要结合纹身使用的染料,如果纹身使用的染料中含有氧化铁等金属性材料,那在MRI(磁共振成像,Magnetic Resonance Imaging,简称MRI)检查时的强磁场下可能引起纹身部位的疼痛、灼伤,有时纹身的颜料还会干扰图像的质量。但如果是很安全的染料通常不会发生这种不良反应。

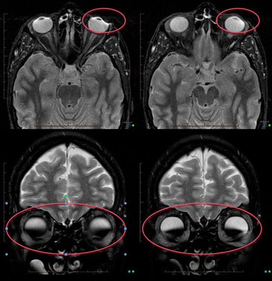
(未经纹眉患者的MRI影像)

(纹眉患者的MRI影像)
一、为什么纹身会影响磁共振检查?
由于做纹身使用的染料原料大部分会添加各种金属元素以及鲜艳的色彩,而这些物质中有些含有铁瓷以及氧化铁颜料在磁场内会产生电磁反应,纹身部位皮肤就会因为电流形成而出现温度上升现象,严重时还会导致皮肤被烧伤灼伤以及纹身周围出红疹,所以身体带有纹身的人做磁共振时要警惕。
此外含有金属元素的纹身在磁共振检查时可能会产生干扰或伪影,因此对于此类人群,非必要时不建议在纹身部位进行核磁检查,以免影响检测结果。

下面介绍两个因纹身导致检查时烧烫伤的案例
案例一:
一名24岁的国外男性橄榄球运动员在接受骨盆MRI检查过程中,其下肢纹身部位迅速出现了皮肤反应——烧伤,而这是由于其纹身所用颜料中含铁磁金属化合物,比如氧化铁,由此引发了电磁反应。
案例二:
一名25岁的女性因为慢性炎症性神经系统疾病而需要接受颅脑MRI检查。这名患者的双眼上眼睑有美容性的纹身,也就是永久眼妆。在接受颅脑MRI检查过程中,该患者称她的上眼睑有烧灼感,于是检查立即终止。临床检查后发现:该患者的双侧上眼睑都出现了红斑,在患者被转回病房后又出现了上眼睑的水肿,被诊断为一度烧伤。
二、那生病之后有纹身的患者就不能做磁共振检查了吗?
是否能做磁共振检查,需要经专业评估后再决定。如果需要在纹身部位进行磁共振检查,可以询问纹身师所用的是哪种染料,染料成分是什么,之后告知核磁技师评估是否可以做磁共振检查。
即使使用的是前文所述有风险的纹身材料,如必须做磁共振检查,也可以采取一些应对措施。如在纹身处冷敷一个湿毛巾,可以有效防止电磁反应对皮肤造成的灼伤。另外,建议有纹身的患者选做1.5T及以下磁共振来减少不良反应的发生。
在进行检查的过程中如果发现自己有异常症状,特别是纹身部位有灼热、疼痛等症状要及时告知医生,并且让医生停止检查,避免纹身部位在扫描时伤害加重。
温馨提示:如有纹身的朋友,在做磁共振检查前,应该向检查医生事先说明。检查中如果皮肤有刺激感,应立刻停止。纹身虽然能彰显个性,但它所使用的颜料大部分是化学物质,所以尽量不要选择这类可能会伤害自身身体的行为。


