在现代社会,随着公众对健康问题的关注日益增加,健康体检已经成为人们日常生活中不可或缺的一部分。特别是随着胸部CT扫描技术的普及,肺部结节的检出率显著提高。在这些结节中,肺部磨玻璃结节作为一种特殊的肺部病变,其重要性不容小觑。
所谓肺部磨玻璃结节,指的是在CT扫描图像上呈现为边界清晰或模糊的肺内密度增高区域,其密度不足以完全遮蔽周围的支气管和血管结构,宛如一层薄雾覆盖在肺部。这种结节通常在体检中偶然发现,且大多数患者没有明显的临床症状,因此很容易被忽略。
根据内部成分的不同,磨玻璃结节可分为纯磨玻璃结节和混合磨玻璃结节两大类。纯磨玻璃结节完全由磨玻璃样成分构成,而混合磨玻璃结节则包含部分实性成分。值得注意的是,这两种结节都可能是癌前病变或早期肺癌的潜在标志。特别是对于那些直径较大、位置特殊、表现出增长趋势或伴有高风险因素的结节,其恶变的风险显著增加。
面对肺部磨玻璃结节,采取科学的应对策略至关重要。对于直径小于5毫米或位于肺深部的结节,由于恶变风险相对较低,通常建议定期复查以监测其变化。然而,如果结节直径超过5毫米、靠近脏层胸膜、表现出明显的增长趋势,或者患者存在高风险因素(如既往恶性肿瘤史、家族史、长期吸烟史等),且影像学检查提示恶性肿瘤迹象时,应立即采取积极的干预措施。

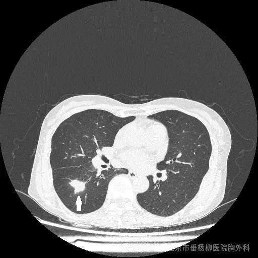
2017.5影像图
我科近期接诊的一名患者就是一个深刻的教训。该患者在2017年5月首次体检时发现肺部存在磨玻璃结节,大小约8.1X5.3毫米,但因对病情重视不足,未能坚持定期复查。直到今年复查时,才震惊地发现肺部结节已增长至23X19毫米,并通过PET-CT检查高度怀疑为恶性肿瘤,且已出现纵隔淋巴结转移,失去了手术切除的最佳时机。这一案例不仅令人痛心,更提醒我们一旦发现肺部磨玻璃结节,必须立即引起高度重视,并尽快前往正规医疗机构接受专业的诊断和治疗。

2024.9影像图
肺部磨玻璃结节作为可能预示肺癌早期病变的征兆,其重要性不容忽视。作为自己健康的第一责任人,我们应通过定期体检、关注身体变化、及时就医等方式,积极守护肺部健康。
参考文献
1.王群.肺部磨玻璃结节的诊治策略.中国肺癌杂志,2018,21(3):160-162
本文仅限于公益科普及学术交流,如有不适请及时就医。文中部分资料来源于网络,侵删。


