陈阿姨84岁,10年前因为肾衰竭而开始了腹膜透析的生活。然而,自从那时起,一个顽固的“访客”——腹部胀痛,就经常不请自来,让她的生活蒙上了一层阴影。这腹痛就像个难缠的朋友,无论透析模式怎么调整,消化系统怎么检查治疗,它就是不肯离去,让陈阿姨和家人都头疼不已。
随着时间的推移,陈阿姨因为腹痛吃得越来越少,甚至有时候连饭都不愿意吃了,身体也日渐消瘦,长期卧床不起。这可急坏了她的家人,心疼又无助。最近,陈阿姨因腹痛频繁发作住进了医院。这次,医生们决定来个“大搜查”,用更先进的腹盆部CTA检查来找出反复腹痛的元凶。
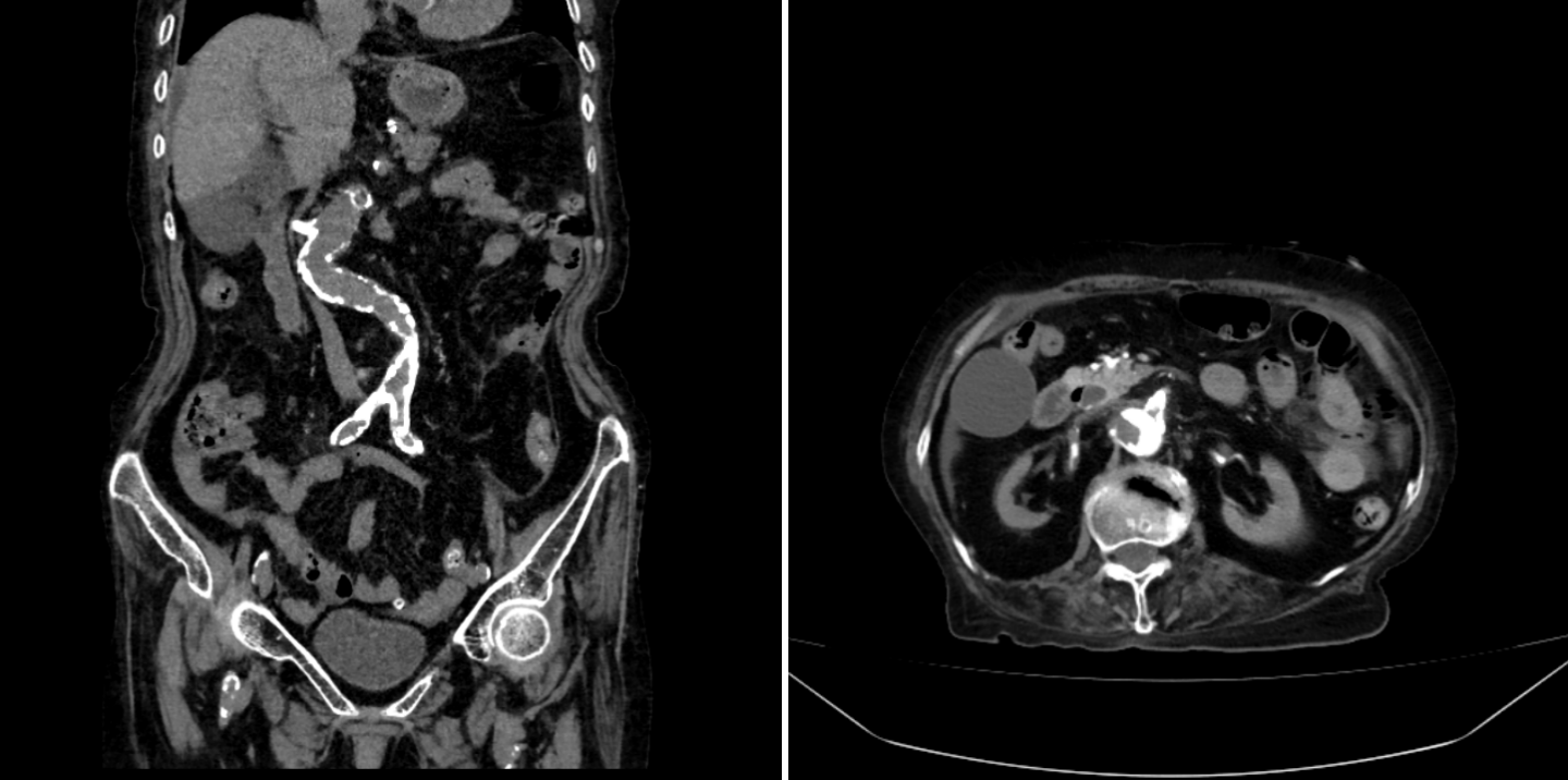
结果出来了,消化系统看起来并没有大问题,但有一条线索引起了医生们的注意:主动脉及分支动脉硬化非常严重,血管外科医生满新贺医生仔细看了看片子,还发现了更隐蔽的问题——陈阿姨的腹腔干动脉和肠系膜上动脉竟然严重狭窄,有的甚至闭塞了!

严重钙化的腹主动脉和肠系膜上动脉
“这是缺血性肠病!”满新贺一下就发现了病人的主要病因。满大夫才把这一发现告诉了陈阿姨和她的家人,最终家人同意进行血管介入开通手术。在杨永久主任指导下,手术进行得很顺利,满医生和郑医生用球囊把狭窄的血管撑开,还放进了支架,让供应小肠的血液重新顺畅地流动起来。

术后第一天,奇迹就发生了——陈阿姨说她的腹痛明显减轻了,还主动要求吃饭呢!三天后,她就像换了个人似的,精神焕发地出院了。
原来啊,这十年来的腹痛都是血管在“搞鬼”!肠系膜上动脉狭窄导致的肠缺血虽然不常见,但症状却挺折磨人的。它会让患者餐后腹痛、消化不良、体重减轻,甚至因为害怕疼痛而拒绝进食,时间一长就变得消瘦不堪。不过啊,现在有了先进的检查手段和治疗技术,这些难题都不再是问题了。希望陈阿姨的故事能让更多人了解这种病,早发现早治疗,早日摆脱病痛的折磨!
科普小贴士:了解缺血性肠病
缺血性肠病是临床较少见的疾病,多由动脉硬化狭窄及血栓形成引起肠系膜上动脉(SMA)狭窄所致。临床上表现为慢性腹痛,餐后腹痛,消化不良,体重减轻等。急性血栓形成时,可致急性肠道缺血,表现为腹痛急性加重以及急、慢性肠梗阻等症状。SMA慢性狭窄所致肠缺血因其发病率低及对本病认识不足,常被误诊为其他疾病,如胆囊炎、上消化道溃疡、胰腺炎等。患者常常得不到及时正确的诊治。
缺血性肠病的特征性临床表现为三联症:(1)餐后上腹疼痛;(2)体重减轻;(3)腹部血管杂音。患者常因餐后引发腹部疼痛而恐惧和拒绝进食,以致明显消瘦、体质量减轻和营养不良。
腹部血管CTA、MRA及选择性血管造影对确诊SMA狭窄致肠缺血具有重要意义。血管腔内介入技术(球囊扩张及支架植入术)应用于SMA狭窄的治疗,是一种安全有效的方法。其疗效与手术治疗相当,且具有技术成功率高,并发症发生率低的优点,相对于外科治疗的高风险,对于高龄及有多种并发疾病的患者具有很大的优势。综上所述,肠系膜上动脉狭窄是一种需要引起重视的疾病,通过及时的筛查和有效的治疗,可以显著改善患者的生活质量。
本文仅限于公益科普及学术交流,如有不适请及时就医。文中部分图片及资料来源于网络,侵删。


