好多人认为乳牙坏了不需要治疗,坏的厉害了就拔掉或者只需要等待替换恒牙就好,可是,真的是这样吗?
一、乳牙的特点:
乳牙一共有20颗,上、下颌各10颗,从出生6个月左右开始萌出第一颗乳牙,20颗乳牙在2岁半左右全部萌出。

与恒牙相比,乳牙较容易患龋,主要是由于以下几点:
1.乳牙的体积小,牙冠短小,为乳白色,牙颈部1/3处隆起,邻牙之间为面接触,颌面点隙裂沟以及牙列中的生理间隙均易使食物滞留。
2.组织结构上乳牙牙釉质较薄、矿化程度低,牙本质较软,抗龋坏能力较差。
3.儿童的饮食多为软质食物,粘性强且含糖量高,易发酵产酸。
4.口腔自洁和清洁作用差。由于儿童睡眠时间长,口腔处于静止状态,唾液分泌减少,有利于细菌增殖,又因年龄较小,不能很好的刷牙,故易发生龋齿。
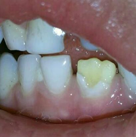
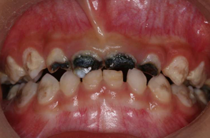
二、乳牙龋坏有哪些危害,是否需要治疗?
1.影响咀嚼功能。尤其是龋坏涉及大部分乳磨牙时,会导致咀嚼功能下降,无法把食物嚼碎从而加重胃肠道负担,或者偏向于长时间使用单侧咀嚼,造成单侧咀嚼肌过度发育,从而使患儿颜面部发育不对称。
2.对邻近恒牙及继替恒牙造成影响。乳牙龋坏使食物残渣、软垢等停滞在口腔内,口腔卫生恶化,使新萌出的牙更易发生龋坏。乳牙发展成根尖周炎后,炎症会影响后继恒牙牙胚,可使其釉质发育不全。

3.损伤口腔黏膜软组织。破损的牙冠可刺激局部舌、唇颊黏膜。慢性根尖周炎牙的根尖有时候穿透龈黏膜外露于口腔内,使局部接触的软组织形成慢性创伤性溃疡。
4.乳牙的崩坏与早失,会对幼儿造成心理创伤。前牙早失不仅影响美观,更加会影响发音,讲话漏风,大舌头,使得儿童无法表达清楚自己的想法,有可能遭到其他小朋友的嘲笑,从而影响儿童的心理健康。

因此,重视和保护乳牙极为重要,要消除“乳牙对人是暂时性的、无关紧要”的错误观点。对于乳牙龋坏,要做到早发现,早治疗,让孩子们拥有一口健康的牙齿,享受美食,健康成长。


