面部肿痛想必很多人都曾经历过,然而多数人往往认为只是“上火”,过几天就会痊愈。近期,北京清华长庚医院口腔科接诊的一名患者,则用亲身经历证明哪怕只是一颗小小的智齿反复发炎,也会引起“牙源性皮瘘”这一在脸上“开洞”的大问题。
一周前,口腔科主治医师聂小汉接诊了一名从河北来京求助的患者,“医生,我的脸近半年来反复肿痛,这次感觉要烂穿了。”
聂小汉通过询问病史得知,患者半年来发现左面部反复肿痛,在当地医院反复进行了输液抗炎治疗,然而患者的面部肿痛仍会反复发作,并且最近这次的病程明显更长、治疗也已经起不到作用,这才意识到问题的严重性前来口腔科就诊。
“看到患者时,结合病史,我们已经猜到可能是牙源性皮瘘,”聂小汉说,并补充解释称对于牙源性皮瘘,不找到致病因素并进行对应治疗,而只是输液抗炎治疗是无法从根本上解决问题的,而且会反复发作。

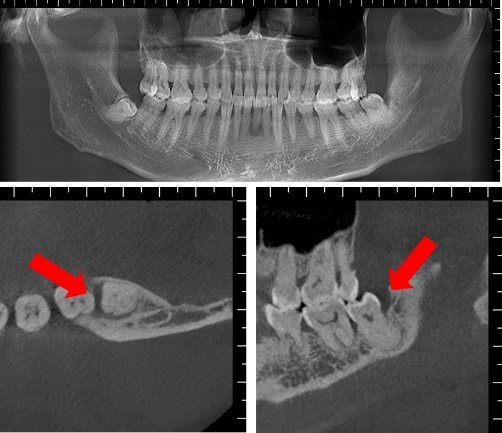
左下阻生智齿
通过口腔专科检查及CBCT检查,发现患者的左下智齿近中阻生,其远中及近中可探及牙周深袋,左下第一磨牙黏膜转折处可见窦道,左上智齿阻生。根据病史及发病部位考虑,这名患者最终被诊断为智齿反复发炎导致的“牙源性皮瘘”。
据聂小汉介绍,口腔颌面部皮瘘主要分为牙源性皮瘘、原发性皮瘘以及软组织及特异性感染所致这三类,口腔颌面部皮瘘主要表现在面部皮肤,因此很多患者误认为皮肤疾病,于皮肤科、普通外科、整形外科反复就诊,有时会造成一定的误诊。
牙源性皮瘘是由于炎性渗出物循组织结构较薄弱处或向牙槽骨内扩散突破,在骨膜下或皮下积聚达到相当压力时穿破骨膜、黏膜和皮肤,形成口内或口外瘘道,而口外瘘道通向面部皮肤,临床表现为皮肤瘘管。
牙源性皮瘘主要出现在鼻旁、颊部、颏部、颌下部。出现在鼻旁主要是因为上颌尖牙牙根较长,根尖感染穿透皮肤到达鼻旁部位;下颌智齿反复发炎,炎症会往下颌第一磨牙扩散,形成下颌第一磨牙处黏膜窦道或皮肤瘘管,经常被误诊为第一磨牙牙髓疾病导致;颏部皮瘘及颌下皮瘘主要是由于下颌前牙及下颌磨牙根尖炎导致。
在确定了牙源性皮瘘的致病因素后,聂小汉立即对患者进行了针对性治疗,拔除了患者左下及左上智齿,左面部脓肿切开引流,同时进行全身抗炎治疗。经对症治疗一周后,患者左面部脓肿消失皮瘘愈合。医生同时建议患者尽快对左下前牙进行根管治疗,避免出现新的病情变化。
聂小汉解释说对于牙源性皮瘘的治疗,一定要进行口腔专科检查及X线辅助检查,找出其致病因素并进行针对性治疗,避免误诊及病情反复发作。对于龋源性病灶牙导致的皮瘘,病灶牙如果能保留,一定要进行规范的根管治疗,如果无法保留,一定要尽快拔除,不要姑息;对于智齿反复发炎导致的皮瘘,一定要尽快拔除智齿,否则也会反复发作。病灶牙处理完善后,大多数皮瘘都能自行消失,如果仍不能完全消失,应考虑切开引流、局部清创、甚至切除窦道等外科操作。
“出现口腔颌面部皮瘘,首选科室一定要选择口腔科,避免出现误诊及不必要的困扰。”聂小汉提醒道。


