诊断脑卒中及评估病情,医生往往需要借助不同的检查手段,下面为大家做简要介绍。
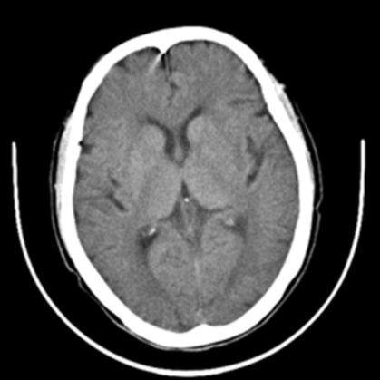
一、头颅CT
CT(Computed Tomography),即电子计算机断层扫描,它是利用精确准直的X线束,与灵敏度极高的探测器一同围绕人体的某一部位作一个接一个的断面扫描,具有扫描时间快,图像清晰等特点,是急性脑血管病最常用的首选检查方法。优点是成像速度快,价格低廉,无需预约,无扫描条件限制,只要患者安静平躺几分钟即可完成。


二、磁共振成像(MRI)
MRI是一种断层成像技术,它利用磁共振现象从人体中获得电磁信号,并重建出人体信息,对软组织分辨能力高于CT数倍,可比CT更有效和早期地发现病变,对颅脑、脊柱和脊髓等解剖和病灶的显示优于CT。磁共振血管成像借其“流空效应”,可不用血管造影剂显示血管结构。缺点是核磁共振检查室内存在非常强大的磁场,因此体内留有某些金属、安装心脏起搏器者不宜;因检查所需时间较长,对病情危重、幽闭恐惧的患者不宜。由于钛金属不受磁场的吸引,因此体内有钛金属内固定物的患者可以进行核磁共振检查。


三、颈动脉彩超与经颅多普勒超声(TCD)
颈动脉超声是诊断、评估颈动脉壁病变的有效手段之一,可清晰显示血管内中膜是否增厚、有无斑块形成,斑块形成的部位、大小、斑块性质以及是否有血管狭窄、狭窄程度、有无闭塞等,还可对检测血管的血流动力学结果进行分析。优点是简便、无创、价格不高,各级医院均可开展,缺点是只能评价局部血管、受设备和操作人员技术水平限制检测结果可能存在差异性。


四、CTA和CTP
是一种介入检测方法,原理是显影剂被注入到血管里,因为X光穿不透显影剂,从而可显示出血管影像。CT血管成像(CTA)指静脉注射含碘造影剂后,经计算机对图像进行后处理,可以同时显示血管及骨性结构,清晰显示三维颅内血管系统,对狭窄或闭塞血管可提供重要的诊断依据。


CTP又称为CT灌注成像,是在静脉快速团注对比剂时,对感兴趣层面进行连续CT扫描,从而获得时间--密度曲线,并利用不同的数学模型,计算并量化反映局部组织血流灌注量的改变(包括局部脑血流量、局部脑血容量、平均通过时间及达峰时间),这是一种CT应用领域的前沿科技,对明确病灶的血液供应以及急性缺血性血管病的早期诊断和指导溶栓治疗有重要价值。

五、数字减影血管造影(DSA)
是通过电子计算机进行辅助成像的血管造影方法,这项技术所显示的图像更清晰和直观,一些精细的血管结构亦能显示出来,可清楚地显示动脉管腔狭窄/闭塞、侧支循环建立情况、动脉瘤、血管畸形等,可为患者是否需要进行后续治疗(如血管内支架植入术、动脉瘤填塞术等)提供可靠的评估依据。优点是此项检查较为精准全面,是颅内外血管评估的金标准,缺点是价格昂贵,属于有创检查,基层医院难以开展,故临床上不能作为首选的常规检查手段,需要遵从专科医生的建议。



上述这些检查,是帮助医生诊断脑卒中时常用的诊断、评估方法。医生会根据患者的具体病情,筛选相应的检查方法,为患者提供精准、专业的诊疗服务。
本文仅限于公益科普及学术交流,如有不适请及时就医。文中部分图片及资料来源于网络,侵删。


