病例概要:患者男性,62岁,主因“发现左肺占位性病变3月。”,以“左肺下叶占位”入院,PET-CT示:左肺下叶背段结节,大小约2.1*1.5cm,SUVmax 11.6,恶性可能性大,转移不除外。既往病史:食管癌术后吻合口瘘,胸主动脉瘤,脑出血术后、颅内出血后遗症。考虑患者左肺结节转移瘤可能不除外,同时合并基础疾病较多,由胸外科崔健副主任医师综合评估病情后决定:优先穿刺活检明确病理,若为恶性,进一步行CT引导下经皮肺射频消融术。为降低患者治疗创伤,避免多次手术治疗,拟同时行CT引导下经皮肺穿刺活检术+CT引导下经皮肺射频消融术。术中穿刺组织病理报告(快速冰冻):鳞状细胞癌,结合病情,考虑食管癌转移性可能,遂术中继续行射频消融术治疗左肺下叶病灶,射频消融治疗持续时间约40分钟,消融范围完全覆盖病灶及周围滋养血管,手术顺利。术后胸片未发现气胸、血胸等异常,术后1月复查胸部CT:左肺下叶原有结节消失,未见结节残留及新发异常。治疗成功。
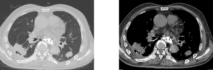
术前胸部CT(肺窗) 纵膈窗



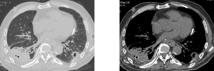
术后1月胸部CT(肺窗) 纵膈窗



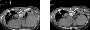
术中射频消融通路(一) (二)



科普小贴士:
1、肺恶性肿瘤的治疗方式及经皮消融术的适应症?
对于已经确诊的肺恶性肿瘤,目前可选用的治疗方式有很多,除了常见的手术切除、
放疗以及化疗,射频消融也是一种安全有效的治疗方式,其有效性与安全性已得到了国内专家共识的认可[1]。当患者存在手术切除或立体定向放射治疗禁忌时(如重要脏器功能严重损害、恶性肿瘤晚期呈恶病质等),可选用经皮消融治疗肺恶性肿瘤。目前,有三种经皮消融方式:射频消融、冷冻消融和微波消融。虽然目前的文献还不能证明哪种方式更优越,但治疗的有效与安全性常常与操作者的技术和经验相关联。射频消融术的原理是利用高频电流,进行有效的定位和破坏肿瘤细胞。目前临床常选用CT、超声等技术作为引导,指导手术成功进行[2]。
2、射频消融术治疗肺恶性肿瘤的风险及预后?
射频消融术作为一种局部的物理治疗方法,具有创伤小、可耐受性好、安全性高、可多次消融、住院时间短、医疗费用低等优点,已成为治疗肺恶性肿瘤非手术切除的有效替代手段[3],但术后依然存在一些并发症,常见的并发症包括气胸、肺出血、胸腔积液或积血等,这些并发症大多是自限性的或可治疗的。
在肿瘤治疗后的预后方面,针对不同大小的结节,其疗效及复发的风险也不尽相同。由于更大的消融范围带来更大的手术风险,目前针对直径>3 cm的肿瘤进行消融治疗的研究较少,但在直径≤3.0 cm的肿瘤研究中,肿瘤术后表现出较高的完全坏死率,尤其在直径≤2cm的患者中,术后局部控制率可接近95%[4-5]。
在术后疗效评估方面,由于术后消融区周围常出现出血、水肿、渗出、炎性细胞浸润,并持续约3个月,因此传统的实体瘤疗效评价标准不适合用于射频消融术后局部疗效的评 价[6]。术后影像学表现大多以毛玻璃样改变为主,1个月后毛玻璃样改变基本吸收,3个月后水肿坏死完全吸收,消融后的病灶显示更加清晰,此后的随访复查中,可与术后第1个月的影像表现相比较:病灶是否出现增大缩小及强化特点,来判断肿瘤是否进展。因此,可将术后第3个月作为最早随访时间点,来判断消融成功与否,同时也可作为再次干预治疗的最早时间[3]。
温馨提示:
肺部结节是胸外科常见的一种疾病,需要专业的评估。对于确诊恶性的结节,射频消融术是一种安全有效的治疗方式,专业的技术与丰富的治疗经验可以提高患者的治疗效果。清华大学附属垂杨柳医院胸外科目前常规开展CT引导下经皮肺射频消融术,术后病人恢复快,并发症少,我们以饱满的热情,精湛的技术,舒适的环境为您的健康保驾护航!
[1]佚名.影像引导射频消融治疗肺部肿瘤专家共识(2018年版)[J].中国肺癌杂志, 2018, 21(2):13.DOI:CNKI:SUN:FAIZ.0.2018-02-002.
[2] Mankidy BJ, Mohammad G, Trinh K, Ayyappan AP, Huang Q, Bujarski S, Jafferji MS, Ghanta R, Hanania AN, Lazarus DR. High risk lung nodule: A multidisciplinary approach to diagnosis and management. Respir Med. 2023 Aug;214:107277. doi: 10.1016/j.rmed.2023.107277.
[3]邹旭公,李晓群.肺恶性肿瘤射频消融治疗现状[J].介入放射学杂志, 2016, 25(7):5.DOI:10.3969/j.issn.1008-794X.2016.07.025.
[4] de Baère T, Palussière J, Aupérin A, Hakime A, Abdel-Rehim M, Kind M, Dromain C, Ravaud A, Tebboune N, Boige V, Malka D, Lafont C, Ducreux M. Midterm local efficacy and survival after radiofrequency ablation of lung tumors with minimum follow-up of 1 year: prospective evaluation. Radiology. 2006 Aug;240(2):587-96. doi: 10.1148/radiol.2402050807. PMID: 16864679.
[5]Lee JM, Jin GY, Goldberg SN, Lee YC, Chung GH, Han YM, Lee SY, Kim CS. Percutaneous radiofrequency ablation for inoperable non-small cell lung cancer and metastases: preliminary report. Radiology. 2004 Jan;230(1):125-34. doi: 10.1148/radiol.2301020934. Epub 2003 Nov 26. PMID: 14645875.
[6]谭晓刚,刘宝东.射频消融治疗肺磨玻璃结节的临床价值[J].中国肺癌杂志, 2021, 24(10):6.DOI:10.3779/j.issn.1009-3419.2021.101.35.
本文仅限于公益科普及学术交流,如有不适请及时就医。文中部分图片及资料来源于文献,侵删。
编辑:赵洋乐


