
做CT时不能有金属,是因为可能会影响到图像质量,从而影响到诊断结果。但金属本身并不会对放射科的设备产生影响,但核磁不同,核磁检查室是一个独立的磁场环境,任何金属都会被磁场吸引,从而产生强大的引力,造成人员伤亡。
做CT时随身携带金属制品。一般分为三种情况:
NO.1
金属与扫描野距离比较远时,这时一般不会对图像质量有什么影响,比如做头颅CT平扫时,腿上有钢板。

如图:头颅扫描时,金属假牙在虽然有放射状伪影但不影响颅内病变显示。
NO.2
金属在患处(扫描野中),但对靶器官影响小,这种虽然会对图像质量有所影响,但不会影响诊断结果,比如有项链时做头颅CT。

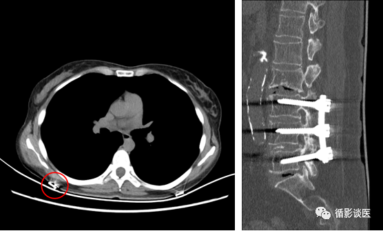
如图:左图红圈内患者所穿衣物上明显有高密度异物,但并不影响肺内影像。右图椎体内钢钉也并不影响其它椎体显示。
NO.3
金属在扫描野中,并且会影响到诊断,这时就需要结合临床病史,如有必要,可以再次进行其它检查。

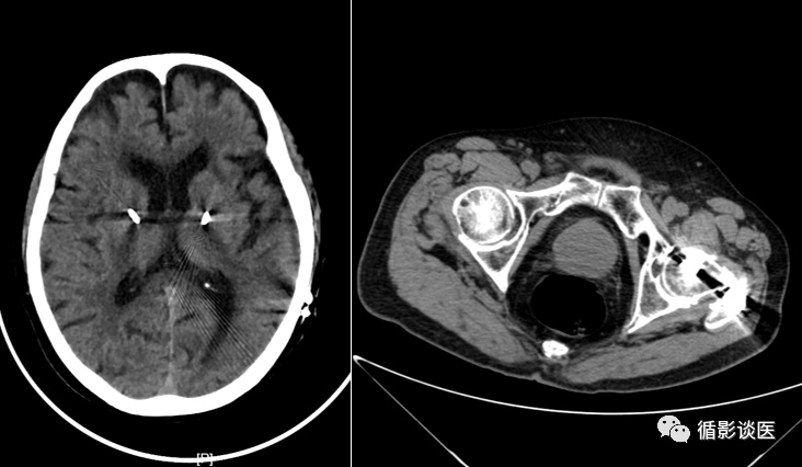
如图:如果金属物在我们所需要观察的器官内,效果如图,就会影响影像显示。


做核磁时遗忘或携带金属制品进行检查的图像和对机器造成影响。
放射科简介

中国中医科学院眼科医院放射科是集医疗、教学、科研为一体的现代化科室,拥有一支高素质的医技护团队,配备了国际先进的检查设备,掌握行业前沿的检查手段,能做到快速预约、制定个性化方案、进行精细扫描和精准诊断。
眼科医院放射科是全国中医影像联盟理事单位,北京医学会放射学分会,中国医学装备技术学会,北京中西医结合学会,北京中医药学会,中华医学会结核影像分会等常务委员及委员单位。是高端CT、磁共振全国临床应用及培训示范基地。
放射科目前拥有高端128排256层CT机、高端磁共振机、全新的DR及移动DR机、双能全身骨密度机、口腔颌面CT机等。
中国中医科学院眼科医院放射科致力于用尖端影像检查技术为医疗安全保驾护航,为人民健康服务。
放射科预约、值班电话:010-68688877转6657



