近日,一个亲戚体检报告显示“左肺下叶背段实性结节,建议定期复查”,结节是什么?和肺癌有关吗?亲戚乍一看到这个诊断吓得腿软,急忙连夜从东北带着片子赶到北京,“结节太小,不到0.3cm,99%以上是良性,年度动态观察即可!”听到这个解释,亲戚一下子放心了,颤抖的腿又恢复往常的矫健,又匆匆忙忙赶回老家啦。

1、那么“肺结节”到底是什么?是不是肺癌呢?
肺结节是指肺部影像上各种大小、边缘清楚或模糊、直径小于等于3cm的局灶性致密影;肺结节并不一定是肺癌,大部分是炎性病变或陈旧病变,直径小于0.8cm结节,肺癌的比例不到5%。

2、肺结节的发生率为什么越来越高?
目前来说检查肺结节最先进的手段既是胸部高分辨CT,之所以生活中觉得发现肺结节的人越来越多,一是人们的健康意识越来越强,胸部CT体检率逐步增高;二是检查手段越来越先进,现在放射科广泛应用的是高端薄层高分辨CT,同时辅以先进的AI软件应用,使肺结节的检出率较之前更高。

3、发现肺结节怎么办呢?
建议:一定要去到专业正规的医疗机构,找寻技术水平高、有经验放射科医生的进行诊断,必要时联合胸外、呼吸、介入、放射等多学科联合会诊。
肺结节的良恶性判断需根据结节的大小、形态、密度、边缘结构的改变及动态观察情况综合分析。结节一般随着直径的增加,恶性的几率会增加,如直径小于0.5cm结节,良性比例达到99%,如直径大于0.8cm,则恶性几率会达到10%甚至以上;边缘不规整呈分叶样改变,恶性几率会增加;毛玻璃样结节会比实性结节恶性几率增加。放射科医生会根据以上信息综合判断给出结节的风险级别,一般分为低危、中危、高危3个级别,同时也会给出复查或进一步穿刺检查等建议。

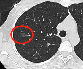
实性微结节—低危
99%良性

毛玻璃结节-中危
恶性几率高于上图

毛刺、分叶状结节—高危
恶性几率很高

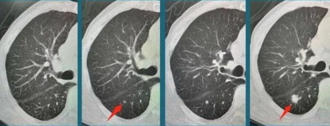
动态观察结节,结节逐渐增大—高危
经过认真询问和综合判断,文章前面所提及这位亲戚的肺结节良性可能性极大,定期复查有无明显变化是目前最佳的方法。在此也请广大患者朋友对体检中发现“肺结节”不要盲目恐慌,及时明确相关信息会有利于第一时间作出准确诊断。
“结节不可怕,放射医生为您保驾”,欢迎关注下方中国中医科学院眼科医院放射科公众号,了解更多医学影像专业知识,做好自己的健康第一责任人。
放射预约咨询电话68688877-6657

放射科公众号


