头颈部CTA即头颈部CT血管成像,是经静脉注入含碘造影剂后,经过CT机扫描,通过不同组织对X线的吸收差异,形成不同灰度的图像,再经过后处理软件去除骨及软组织,形成血管三维重建图像,具有快速、无创、并发症少、特异性和敏感性高、时间和空间的分辨率强的特点。

检查目的:
头颈部CTA能够显示脑血管的主干及较大分支,对脑血管疾病起到筛选和初步诊断作用,同时还能显示病变血管周围脑组织的病理性改变,临床上怀疑头颈部血管引流异常的患者,均可行CTA检查,对于头颈部血管性疾病的术前评估和术后复查也具有较大的应用价值。

适应症:
1、头颈部血管疾患的诊断与鉴别诊断;
2、头颈部占位性病变的诊断与鉴别诊断;
3、主动脉及头颈部动脉扩张、狭窄及闭塞性病变和血栓形成的诊断;
4、头颈部血管畸形;
5、大动脉炎的诊断。
检查前准备:
1、患者检查当日清晨需要空腹并自带水500--1000ml。
2、高血压患者按时服药。
3、询问患者有无碘过敏史。
4、糖尿病患者服用二甲双胍患者需在扫描前后停药48小时并自备糖果或巧克力以免发生低血糖。
5、腹部患者提前30分钟到放射科喝水,泌尿系需憋尿。
6、检查完毕需让患者在候诊区观察20—30分钟后方可离开,检查时最好有患者家属陪同。
7、检查后当日嘱患者多饮水,加快药物的排泄。
8、检查前需将头部金属饰物摘除,佩戴助听器和假牙者需摘除,以免干扰图像质量。
禁忌症:
1、有碘对比剂过敏史者。
2、严重甲状腺疾患者。
3、癫痫
4、过敏性哮喘
5、充血性心力衰竭
6、肝、肾功能中、重度功能损害者应慎重。
病例分享:

右侧颈内动脉起始部闭塞:三维图像颈内动脉未见显影,横断图像颈内动脉管腔内未见到高密度造影剂充盈。

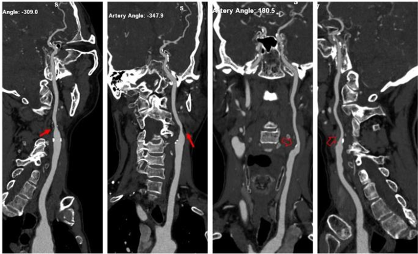
左侧颈内动脉起始部混合密度斑块,管腔中度狭窄(红箭);右侧颈内动脉起始部钙化密度斑块,管腔轻微变窄(空心箭)。

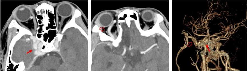
右侧颈内动脉海绵窦瘘:右侧海绵窦明显增大,血管迂曲增粗(红箭),右侧眼上静脉明显增粗(空心箭)。

左侧大脑中动脉重度狭窄(红箭),左侧大脑后动脉重度狭窄(空心箭)。


