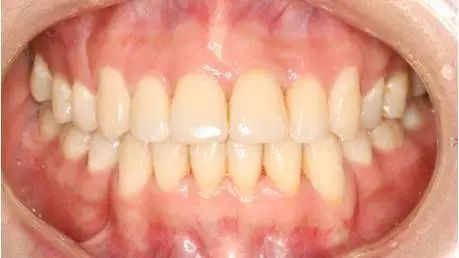
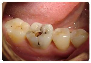
---“你是个左撇子吧?”牙医笑着问。 ---牙椅上正在牙痛的小美惊得瞪大了双眼:“不是吧,现在牙医都这么厉害,这都看得出来?” ---牙医挑挑眉毛说:“牙医的厉害可不止这些,你平时刷牙牙龈出血吧?是不是用的硬毛牙刷?对了,今天早上的韭菜包子味道怎样? ---厉害厉害,小美一边伸出大拇指,一边用舌头探索着牙缝里的食物残渣。“那我的牙齿敏感、牙痛、刷牙出血都是怎么回事呢?” ---牙医放下手中的口镜,慢慢地说:“一切,都要从刷牙开始说起……” Q1为什么刷牙的时候牙龈会出血? 我们的口腔是一个巨大的细菌库,破坏牙龈的有害细菌以菌斑形式黏附在牙齿表面,即使每天认真刷两次牙,但还是难以将角角落落的菌斑清除干净。 一旦牙菌斑在这些“隐秘的角落”大量增殖,就会引发牙龈的炎症,此时牙龈不再是坚韧的粉红色,而是鲜红松软的“小面包”,遇到牙刷带来的摩擦力便会出血。 左图为红肿的牙龈,右图为健康牙龈 划重点,刷牙出血怎么办呢? 首先,要改善我们的刷牙方式——推荐成人使用“BASS刷牙法”。 其次,要注意邻面的清洁,养成使用牙线、牙缝刷的习惯,因为邻面是更容易食物嵌塞及滋生细菌的部位。 一旦牙菌斑被矿化,变成硬邦邦的牙结石,刷牙就无法将其去除了。 通过牙齿洁治(超声洗牙)才可以将这些牙石清除干净。所以应当定期到医院进行洗牙来治疗或预防牙龈炎症。 牙周健康的人群,我们建议半年至一年进行一次牙齿洁治。对于牙龈炎或者牙周炎,医生要根据实际情况进行就诊间隔的建议。 顺便说说洗牙之后牙齿变松的问题 这应该算是洗牙背的最大的锅了! 就像大树长在土壤里,我们的牙齿被牙槽骨紧紧包裹,好端端的怎么就松了呢? 只有一个原因,就是作为支撑的牙槽骨流失了,牙齿因失去支撑而松动。 试问牙槽骨怎么会流失?如果牙龈炎症没有被及时治疗,时间久了,炎症会波及牙龈下方的牙槽骨,发展为不可逆转的牙周炎。一旦发生牙周炎,牙槽骨不断流失,牙齿才会变松。至于洗牙后觉得牙齿松了,不过是一种牙石被去掉之后的假象。 牙槽骨吸收、牙齿松动 Q2 为什么刷牙的时候牙齿酸痛? 大部分人刷牙的时候喜欢横向拉锯式刷牙,为了刷的干净一点,甚至选择刷毛比较硬的牙刷。殊不知我们的牙齿虽然坚硬,但也经受不住“水滴石穿”的考验,日复一日,在牙齿的侧面会被刷出一条楔形的“沟”,当缺损离牙神经越来越近,牙齿就会对外界的冷、酸、甜刺激越来越敏感,甚至刷牙时也有酸痛感。 牙齿楔状缺损 为了避免“楔形缺损”的出现,我们需要改善原有拉锯式横刷的习惯,用较软刷毛的牙刷,采用上面讲到的“BASS”刷牙法。 Q3为什么会突然牙痛? 牙齿咬合面有着一条条的沟壑,叫作“窝沟”,沟沟中存在着大量的牙菌斑,这些牙菌斑最喜爱的食物是“蔗糖”,一旦蔗糖在沟沟中停留,在时间的作用下,牙菌斑和蔗糖便会发生“化学反应”,产生大量的“酸”,将我们的牙齿一点点腐蚀掉,就形成了“龋洞”,也就是“虫牙”。 一般的牙洞不会让我们突然牙痛,当牙洞距离牙神经越来越近,直到有一天侵犯牙神经时,富含血管的牙神经因发炎而充血肿胀,要命的牙痛就这样猝不及然的发生了。 为了预防龋齿,刷牙仍然是最最重要的手段,同时我们还要注意少吃甜食,吃甜食后要尽快刷牙或漱口。对于6-8岁及12-14岁的适龄儿童,及时进行窝沟封闭。 不同种类的牙科疾病对应科室如下: 口腔科包括四大专业:口腔内科、外科、修复科和正畸科。 正畸科负责移动牙齿,解决牙齿不齐的问题; 修复科负责做“假牙”,如缺了牙需要镶,牙齿不够美丽需要做美容冠,以及杀过神经的牙齿需要做牙冠予以保护等等; 口腔外科主要是做一些牙科手术,比如拔牙、种牙、切除口腔肿物等需要“动刀”的治疗; 口腔内科分为牙体牙髓、牙周科和儿科,牙体牙髓解决的是牙齿本身存在的问题,比如:补牙、杀神经;牙周科针对的是牙龈的疾病,主要进行洗牙、刮治等治疗;口腔儿科面向的是儿童患者。 所以小美的刷牙出血和牙痛问题在口腔内科全部得以解决。看着口腔治疗的费用账单,小美禁不住感叹:唉!早知道就认真刷牙了! 走出诊室,小美好像想起了什么,突然瞪大双眼,“医生是怎么知道我左撇子的!”亲爱的读者们,你们猜猜呢?






