患者王先生右眼皮跳动的毛病有3年多了,但近半年来眼皮不仅跳得频了,连带右侧嘴角也开始不自主抽动。到北京清华长庚医院就诊后,王先生才知道,原来这小小的眼皮跳,“真身”竟然是——面肌痉挛!
面肌痉挛(Hemifacial spasm,HFS)是一种颅神经疾病,血管压迫所致面神经损伤是致病的主要因素,多表现为一侧面部不自主抽动,呈阵发性,可因劳累、精神激动等加重,早期症状为眼睑跳动,如不及时治疗会累及其他部位,抽搐程度、范围逐步增加,如嘴角抽动、耳朵出现蝉鸣音等,严重者可累及颈部。

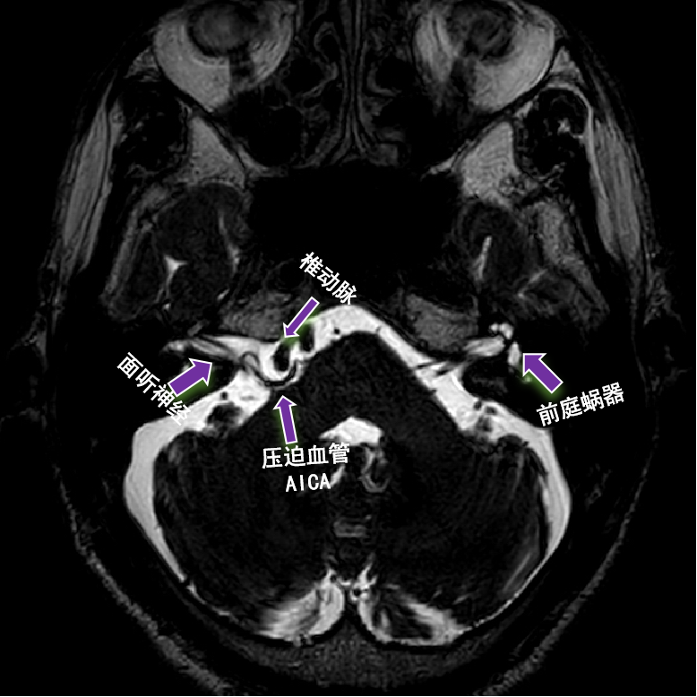
患者颅脑核磁影像
结合神经内科主治医师王也安排的影像检查,神经外科脑神经损伤修复门诊主治医师张培海判断患者应为右侧小脑前下动脉(AICA)压迫面听神经所致。“电生理监护下的微血管减压术是目前国际公认的治疗方法,通过推开压迫血管,解除面神经压迫问题。”张培海说,“目前该手术已经实现数智化规划,在虚拟三维空间中通过不同角度观察神经、血管及静脉窦等重要结构的关系,明确微血管减压手术具体步骤及遇到的解剖结构、标志,进行精准的面听神经与责任血管减压,减少不必要的损伤,最大程度提高手术安全性。”

在神经外科副主任郭毅指导下,手术由张培海主刀,确认面神经压迫血管确为右侧小脑前下动脉(AICA)后,谨慎处理压迫血管。术中为确认面神经是否减压充分,同时保护颅神经及脑干功能,神经外科主治医师董生与主管护师王国琴,为患者进行了面神经各分支和脑干听觉诱发电位实时监护。经充分游离神经与血管黏连,并放入塑形后大小适中的垫片后,电生理监护提示面神经异常波完全消失,证实血管压迫已解除,显微镜下手术历时40分钟顺利结束。
麻醉醒来,王先生反复确认,跳了3年的眼皮终于平静了。术后3天,他顺利康复出院。
“近年来,面部痉挛的发病率在不断提高,对于面部抽搐、痉挛,在休息后不缓解并有加重趋势的,应及时到医院检查治疗,避免病情加重。”张培海说,“目前我院已常规开展微血管减压术,该手术不仅可以修复颅神经损伤,还适用于顽固性三叉神经痛、舌咽神经痛等疾病。同时,我院神经外科还开展了机器人辅助的球囊压迫及射频等其它微创治疗手术,为各类颅神经疾病患者造福。”


