7月21日,北京协和医院心内科著名专家吴炜教授来到平谷区中医医院心血管病科为患者进行会诊、手术及查房。
据了解,吴炜教授是北京协和医院心内科副主任,主任医师,硕士生导师,擅长冠状动脉介入治疗,高血压、高脂血症等心血管危险因素管理,心力衰竭,罕见疑难及遗传代谢相关心肌病及肿瘤免疫治疗相关心肌炎的诊治。
吴炜教授一大早就来到导管室,为冠心病患者行冠状动脉支架植入术。

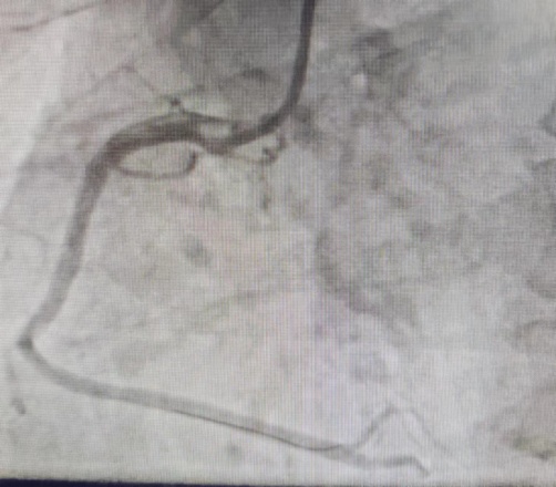
该患者右冠状动脉中段严重狭窄引起患者冠脉缺血,稍活动则诱发胸闷胸痛,冠状动脉造影显示患者右冠状动脉中段狭窄90%,冠状动脉支架植入术后,右冠状动脉残余狭窄0%,患者步行回病房,未再发作胸闷胸痛等症状。(冠脉造影见下图)

术前

术后
整个手术从早上8:30开始至患者安全返回病房仅耗时一小时,让平谷百姓在家门口就享受到了北京协和医院专家的高质量医疗技术。
随后,吴炜教授为心血管疑难病例、门诊患者进行详细诊治,并对平谷区中医医院心血管病科医生就患者病情进行专科知识讲解。




据了解,在平谷区中医医院党委的支持下,根据《北京市健康委员会关于征集专科医联体建设需求的通知》要求,平谷区中医医院心血管病科积极上报,并通过了审核,于今年6月27日与协和医院心内科共同签订了北京市专科医联体合作协议。
以后每周五都会有协和医院心内科专家来平谷区中医医院心血管病科为患者进行手术治疗、疑难病例会诊、查房等相关工作,同时对科室进行帮扶、促进学科发展;平谷区中医医院心血管病科接下来会分批送医生和护士去协和医院进行学习。
从前,协和医院心内科对平谷区中医医院心血管病科的人才培养和学科建设给予了很多帮助。此次成立专科医联体,
协和医院心内科会在“培养高端人才、建设重点学科、提高医疗水平”等方面对平谷区中医医院心血管病科予以更多的指导,平谷区中医医院心血管病科也将通过此次与协和医院的合作,共同促进优质医疗资源下沉,并通过积极学习,提升医院心血管病科学科建设,在管理、业务、科研等各方面不断学习提升,为平谷区百姓提供更加优质的医疗服务,让平谷的父老乡亲在自己家门口就能享受到协和心内科专家的优质诊疗服务。


