日前,航空总医院超声科开展了胃超声检查新技术——胃超声造影检查项目。该项目是胃及其周围病变首选的初步筛查方法,可早期发现胃炎症性病变及早期肿瘤、进展期胃癌,可判断病变的浸润情况,是胃癌T分期的有益补充。
该项目是《胃癌诊疗规范》中推荐的胃癌患者的常规检查,是卫健委专家推荐的胃肿瘤早诊防查适宜技术。在这里,专家教您了解该项检查相关知识。超声科副主任栾玉爽介绍说,流行病学研究显示,我国胃癌发病率在进一步提高,已居全部肿瘤分类中第二位,但临床中胃肠检查手段相对短缺。胃不舒服时,患者第一时间想到的常常是自行服药,就算去医院也经常抗拒做胃镜检查,能拖则拖。胃超声造影检查,正是为解除病人上述烦恼,提高胃部疾病的检出率而开展的新项目。
栾玉爽提醒说,有需要的患者,可以找医生开检查单或直接到超声科开单预约,此项目已纳入医保支付范围。
什么是胃超声造影检查
胃超声造影检查,是通过口服五谷类胃肠超声造影剂,充分充盈胃腔,消除黏液气泡等对声波的影响,充分、清晰显示胃壁结构,从而达到诊断效果。胃超声造影剂主要成分是淮山药、陈皮、玉米、大豆、薏苡仁等,口感好,一般无任何不良反应,安全可靠。
胃超声造影检查适应人群
常:常规人群正常体检及胃部疾病筛查。
老:承受不了胃镜的老人。
幼:承受不了胃镜的儿童。
病:服用抗凝药的,胃镜插入困难等。
残:胃癌术后的残胃病人复查。
孕:胃部不适的孕妇及哺乳期。
胃超声造影检查诊断疾病(适应症)
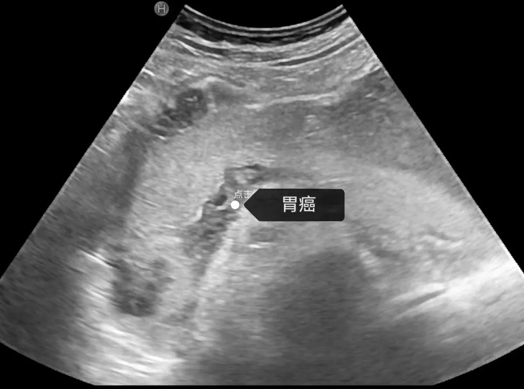
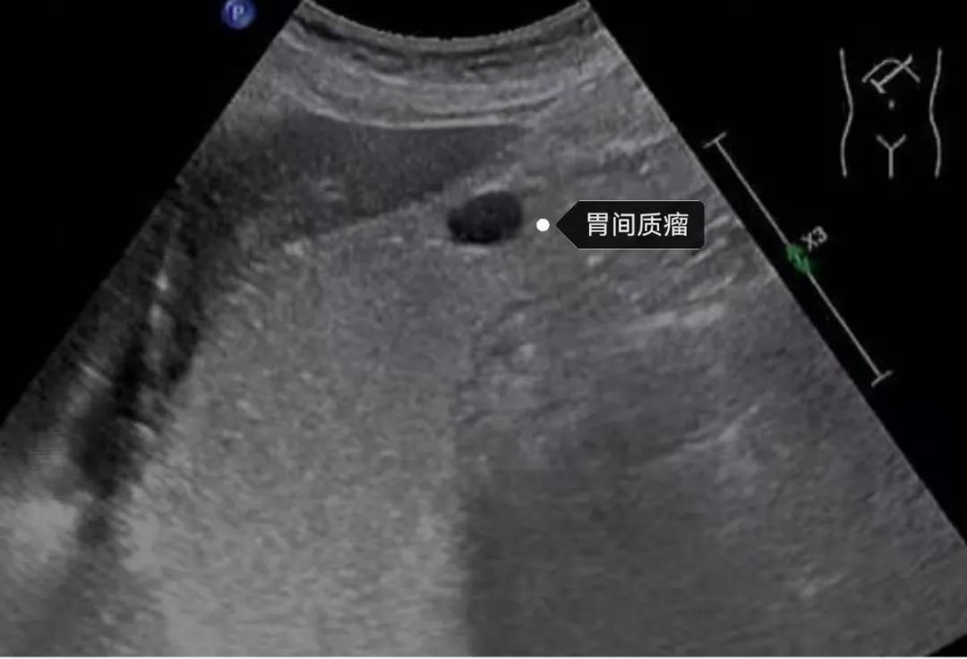
1.肿瘤性病变:如:胃息肉、平滑肌瘤、胃癌等。
2.炎症性病变:如胃溃疡、胃炎及十二指肠球部炎症、溃疡等。
3.先天性病变:如胃憩室、先天性肥厚性幽门狭窄等。
4.功能性病变:胃食管反流、胃十二指肠反流、胃下垂等。
5.梗阻性病变:幽门、贲门梗阻等。
6.胃动力学评估(胃窦容积变化、胃蠕动波、返流评价)。
7.其他病变:胃结石、胃内异物及胃底静脉曲张等。
典型病例分享



胃肠超声造影检查禁忌症
1.急性胃扩张。
2.上消化道穿孔。
3.上消化道活动性出血。
4.肠梗阻。
5.临床需要禁食者。
胃超声造影检查注意事项
1.受检者前一天晚餐进软食和素食。
2检查前需空腹8小时以上,禁食禁水。
胃超声造影检查优势
1.实时、动态观察胃部溃疡、肿瘤的部位、大小、形态,评估病变侵犯胃壁的深度。
2.可同时观察胃周邻器官如肝、脾、胰、后腹膜等部位。
3.无检查间隔、可反复检查。
4.无创伤、无辐射、无痛苦。
5.价廉、检查费用低,造影剂属于医保范畴。
胃部疾病的诊治,在于早发现、早治疗,胃超声造影项目的开展,为患者提供了新的安全、舒适、可推广的胃部疾病的早查早筛方法。希望胃超声造影检查的开展,能帮助更多人守护胃部健康。


