近期,航空总医院神经外十科穆苍山主任团队,通过新型PEEK颅骨修复整形手术,为颅骨缺损30余年患者李先生,成功修复颅骨。

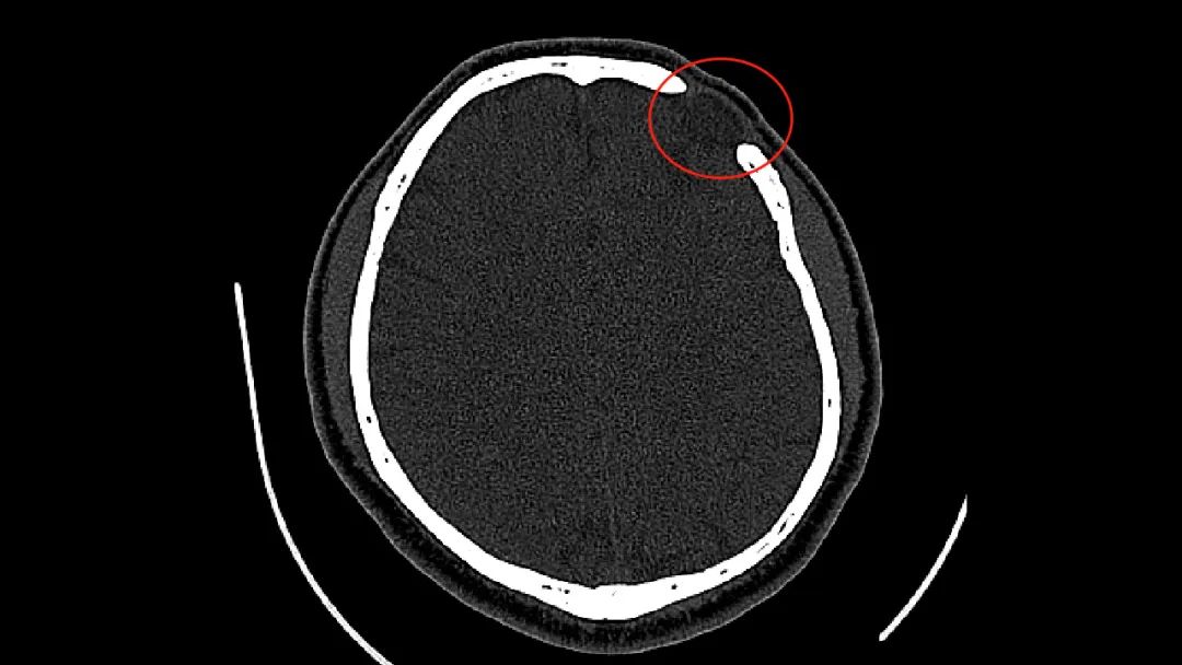
CT显示李先生前额颅骨缺损
据了解,李先生来自河北,今年55岁,儿女双全,工作体面,看上去幸福美满,但平静的表面后却暗藏隐患。原来,李先生年轻时受过较严重的颅脑外伤,当时紧急送医院抢救行开颅手术治疗后,遗留左侧额部颅骨缺损,到现在有30余年。
李先生颅骨缺损面积不算太大,有20平方cm左右,但缺损位置在前额,并略有塌陷,看起来挺明显。这部分颅骨缺损,对李先生的工作、生活影响很大,导致他心理上很自卑。
李先生表示,自颅骨缺损后,自己30余年来一直很在意这件事,同时也充满不安全感。生活中,他总要小心翼翼,怕磕着碰着脑袋,心理上则极不自信。李先生很早以前就想做颅骨修补手术,但一直没有寻找到好的修补材料和令他放心的医院。
最近,李先生了解到航空总医院神外专家穆苍山主任团队擅长颅骨修复相关治疗。该团队采用的新型聚醚醚酮PEEK材料,比传统的钛网材料明显好,性能也更加优异。经多方查询,李先生发现穆苍山主任在颅骨修复专业领域技术先进,经验丰富,曾完成过数百例这类手术。出于对穆苍山主任的信任,怀着一次手术成功的期待,李先生慕名来到了北京航空总医院神经外十科,求治于穆苍山主任团队。

穆苍山主任手术中
穆苍山主任接诊后,对李先生病情进行详细诊断评估,实际测量颅骨缺损面积为5.5cm*4.5cm。穆主任表示,按照神经外科指南要求,颅骨缺损区域直径大于3cm的,一般建议及时进行颅骨修补。穆主任介绍说,“这位患者颅骨缺损面积较大,且位于前额敏感位置,影响外观美容,对患者心理有一定伤害,符合颅骨修补手术指征。”
随后,穆苍山主任安排团队为李先生完善相关检查,通过三维重建、3D打印,为李先生定制了个性化的PEEK材料补片。后由穆苍山主任主刀、团队通力协作,精心为李先生实施了PEEK颅骨修复整形手术。

术后恢复良好,医生为李先生拆线
手术非常成功,取得了预期效果。李先生做完颅骨修复手术之后,外观恢复完好。李先生说,形象对自己很重要,颅骨修复完成后,个人形象明显提升了,感觉更自信了,对自己今后的工作生活都有很大帮助。
目前,李先生恢复良好,已顺利出院。出院前,他喜笑颜开地表示,“我特别感谢航空总医院神经外科穆苍山主任和他的医护团队,是医疗团队的成功治疗,带给了我今后更加自信和健康美好的人生。”


