近期,航空总医院导管室医疗团队成功完成一例脾动脉瘤栓塞手术。患者李先生于术后第三日顺利出院,出院前开心为医院医疗团队点赞。
事情要从不久前李先生的一次体检说起。当时,让48岁的患者李先生经B超发现肚子里长了一个长径约2.5cm的“瘤子”,颇感心烦。此前,李先生一向认为自己的身体很好,还经常组织长途自驾等活动。出于对自己健康状况的在意,李先生于是到航空总医院门诊看病,被收入泌尿外科治疗。
入院后,细心的主管医师徐良大夫给李先生进一步完善了腹部增强CT扫描,结果确诊为脾动脉瘤。李先生通过网络、媒体等得知脾动脉瘤存在破裂的风险,甚至存在危及生命的可能时,心情更为沉重。
应邀前来会诊的医院导管室副主任姚志敏,在认真看过李先生的增强CT后,告诉他,可以通过微创的办法解除。具体的方法是在局麻下穿刺股动脉,引入导管导丝到脾动脉内,采用弹簧圈栓塞载瘤动脉,也就是把有动脉瘤的血管堵住,从而让脾动脉瘤内血液凝固并血栓化,解除破裂的风险。姚志敏还告诉李先生,对于这种脾动脉瘤的介入治疗,还可以采取瘤体栓塞的办法和覆膜支架隔绝的办法,但结合李先生的实际情况,建议采取载瘤动脉栓塞的办法。因为腹部脏器的侧支血供较为丰富,栓塞脾动脉后很快就会形成对脾脏的血供重建,不用担心脾脏出现缺血坏死。听完姚志敏的一席话,李先生一直悬着的心终于有了着落。

CTA显示脾动脉主干动脉瘤形成,白箭头所指为脾动脉上动脉瘤体。

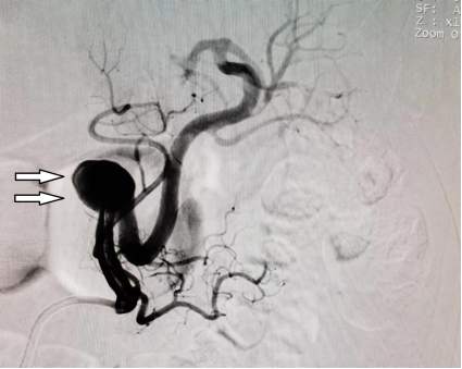
DSA造影显示动脉瘤情况,白箭头所指为瘤体。

动脉瘤栓塞术后,瘤体消失。(图中白箭头所指为原有瘤体位置;灰箭头所指为迅速形成的侧枝供血,保障脾脏不会缺血坏死。)患者同意治疗方案后,姚志敏团队经过积极术前准备,于三天后顺利完成了手术。术后第二天,李先生下地行走,仅有短时腹部轻微不适,各项指标均迅速恢复正常,感觉良好,于术后三天顺利出院。
姚志敏介绍,脾动脉瘤比较少见,是腹部动脉瘤中继腹主动脉瘤、髂动脉瘤外发病率居于第三的该类疾患。其具体的发病原因尚不明确,一般认为与肝硬化门静脉高压、妊娠、胰腺炎、外伤等原因有关。脾动脉瘤有一定的破裂风险,对于无症状的大于2cm或随访明显增大的脾动脉瘤建议积极治疗。脾动脉瘤的治疗分为开腹手术和介入栓塞治疗,可根据脾动脉瘤的位置和特点采取动脉瘤旷置或动脉瘤旷置加脾脏切除的方法。鉴于介入治疗微创、安全的特点,采用介入干预的方法已成为脾动脉瘤治疗的首选方式。专家介绍

姚志敏,导管室副主任、主任医师累计完成各类介入手术2000台次以上,擅长缺血性脑血管病介入治疗如急性期颅内取栓,颈、椎动脉血管成型等;各种腹部脏器出血急诊治疗;妇产科介入治疗;外周血管介入治疗如下肢动脉闭塞疾病介入治疗等;肝胆恶性疾病介入治疗如肝癌动脉栓塞,梗阻性黄疸置管引流等。特需门诊:周一上午专家门诊:周四下午(杨柳
田琨)


