万家灯火辞旧岁,阖家团圆迎新春。对于中国人而言,春节是一年中最重要的节日,是阖家团圆的时刻。普天同庆之时,却有这么一群人,他们依然坚守岗位,用实际行动诠释医者担当,为百姓健康护航,为患儿生命“守岁”,他们就是北京华信医院(清华大学第一附属医院)的儿科医护人员。
春节前的暖意
为了营造温馨的节日氛围,让家长和患儿在医院也能感受到温暖,儿科医护们春节前就早早将门诊布置一新,张贴的窗花,高悬的灯笼,富有巧思的标语,无不透露出融融暖意。候诊的家长指引着孩子们看画认字,讲述着一个个关于春节的传统故事。

分诊台前的坚守
分诊台是儿科门诊的第一道关,守好这扇门,把好这道关是保证诊疗安全的重要前提。即使是节日期间,这样忙碌的声音也不断在耳边响起,”孩子怎么不舒服?”“快来测一个体温”,“您到右手边专家诊室候诊”,“收费处直走右转”,事无巨细,声声有回应,件件能落实,分诊台前的儿科护士是最心思细腻、最有温度的坚守者。

诊室里的守护
诊室里,儿科医生们一如往常,面对家长们焦急的脸庞、孩子们痛苦的神情,他们细心专注,悉心询问患儿病情,耐心解答家长疑问,一丝不苟书写电子病例,倾尽心血制定诊疗方案。每一张处方都是经验的累积,每一张患儿康复后的笑脸都是对他们最好的回馈。

随访门诊的温馨
每一个早产宝宝都是早到的天使,经过新生儿病房医护的全力救治和精心呵护后顺利出院,此后由随访门诊的医护接过接力棒,继续为小天使们的健康保驾护航。节日期间,随访门诊诊室又多了许多温馨的时刻,宝宝的每一次称重,每一次查体,无不牵动着医护们的心。

新年伊始,儿科将全面打造儿童健康监测门诊,随访门诊亦进一步升级,用专业的技术为更多的孩子提供优质精良的医疗服务。
治疗室里的忙碌
“小朋友,我们轻轻扎一下,阿姨相信你是最勇敢的宝宝对不对?”这样的对话每天都会在治疗室里上演数次。作为儿科护士,不但要求技术过硬,更要有无尽的爱心和耐心,采血、输液、测黄疸、测血糖,无一不精;肺功能、骨密度、人体成分分析、综合验光等各种仪器,无一不通。每天穿梭在治疗室里的忙碌身影,是儿科最美丽的风景之一。

推拿室里的坚持
儿科门诊自开展小儿推拿项目以来,因其简便廉验、安全无痛的特点,对于不能服药之患儿,不宜服药之病症提供了一种全新的诊疗思路,尤其在调理脾胃、保健助长方面获得广患儿大家长的认可和一致好评。春节期间,医护们将小儿推拿治疗室布置得温馨且充满童趣,为家长和孩子们送来一份新春祝福。

坚守儿科第一线,诠释最美“敬业福”,“儿科人”默默守护,无私奉献,舍弃与家人团聚的机会,只为成全更多人的欢聚,他们用实际行动和敬业精神,书写责任与担当,这才有了千家万户的祥和安宁。
新的一年,“儿科人”将踔厉奋发,勇毅前行,继续把科学规范的管理,严谨专业的精神注入日常工作的每时每刻。坚守岗位,不忘初心,用最美“敬业福”换取患儿祥和“平安福”!
2.新春钟声敲,喜迎兔宝宝!
医嘱谆谆宝宝树,产检历历妈妈心。
十月怀胎一朝娩,万般辛苦尽殆消。
山川异域,医者同心。
五湖四海,助孕无垠。
愿春早来,花枝春满,
母婴无恙,人间皆安。
医护一道共风雨,
安康何曾是两乡,
仁心护佑好孕路,
一声啼哭一相濡。
山川异域,医者同心。
不问前路,产科伴行。
福降宝兔,喜乐欢颜。
无论医患,皆得所愿。
2023新春佳节,北京华信医院(清华大学第一附属医院)产科接连诞生可爱的兔宝宝!

愿每个宝宝健康快乐,愿每个家庭幸福安宁,愿我们的国家繁荣昌盛,愿世界美好和平!
3.春节的守护丨神经内科联合多学科全力救治脑炎合并重症肺炎患者
一年又一年,万家灯火团圆时,却总有一群医务工作者选择坚守。灯火阑珊,见证平凡;一年365天,每一个日夜都同样用心守候。
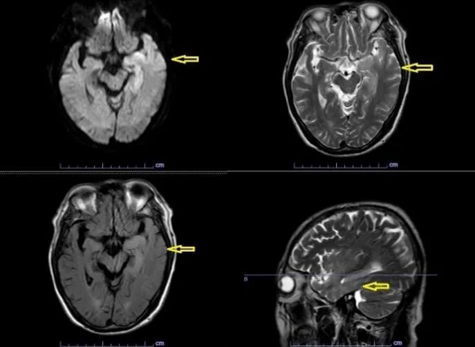
1月12日,北京华信医院(清华大学第一附属医院)神经内科监护室收治了一名发热10天,伴精神行为异常5天的老年患者。入院当天患者淡漠木僵、言语不能,全身可见散在出血点。经头部核磁共振显示左侧岛颞叶与海马区异常信号;脑电图显示额颞区慢波,左侧额颞区及蝶骨电极较多尖波、尖型慢波散发,偶可波及左半球。初步诊断:症状性癫痫(继发性癫痫)、脑炎。立即完善腰椎穿刺,脑脊液宏基因组测序提示I型单纯疱疹病毒感染。给予抗癫痫、抗病毒、脱水降颅压等对症治疗。

入院后,患者意识障碍逐渐加重,发热、呼吸较急促,胸CT显示双肺粟粒状结节影及大片状磨玻璃影,血白细胞介素6显著升高(3019ng/L),痰培养提示金黄色葡萄球菌感染。呼吸与危重症医学科副主任医师安树昌会诊考虑为病毒性肺炎合并细菌性肺炎,调整抗生素强化抗感染治疗,同时加强翻身叩背和气道护理。
1月20日除夕的前一天,患者呼吸浅快、血氧饱和度下降,血气分析提示II型呼吸衰竭、呼吸性酸中毒,旋即呼吸骤停。感染科副主任医师曾琴兵立即会诊并参与抢救,经家属同意给予气管插管,呼吸机辅助通气。在副院长、神经内科主任刘芳的带领下,神经内科群策群力,考虑患者免疫力低下,予加强抗病毒及抗感染治疗方案。该患者目前诊断明确:单纯疱疹病毒性脑炎、病毒性肺炎合并细菌性肺炎,其中任何一种疾病都是致命的,三种疾病同时发生在老年患者身上,更是雪上加霜……
经过医护人员紧张而有序的抢救,间断翻身、叩背、吸痰、体位引流等精心护理下,患者的呼吸性酸中毒得到及时纠正,血氧饱和度维持在95%,生命体征逐渐平稳。在全科医护人员的守护下,患者平安度过了极其危险的一关,迎来了新春佳节的到来。

有光明的地方也会有黑暗,却有人负重前行,将黑暗遮挡在人们目不能及的地方。兔年春节,神经内科医护人员全力以赴坚守生命防线,帮助危重患者闯过重重难关!
祝福祖国癸卯兔年繁荣昌盛,祝福大家佳节幸福安康,向阳而行,共同迎接美好春天!


