为了更好地为患者提供更加精准的医疗技术和高效、优质的医疗服务,中国中医科学院眼科医院放射科近期开展两项新技术。
一、“胸部CT平扫+肺小结节AI辅助诊断”

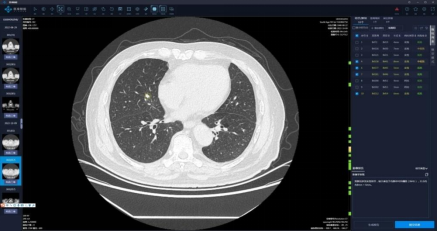
上图是放射科开展的“胸部CT平扫+肺小结节AI辅助诊断”新业务,此业务启用人工智能肺小结节辅助诊断系统结合影像医师综合判断,为患者提供高效、准确的影像诊断服务。常规情况下,一个患者的肺部CT通常有几百张影像,医生凭借多年的阅片经验对其读片诊断需要10—20分钟,而使用"肺部AI智能分析系统"可大大缩减诊断时间,只需要几秒的就可进行初步诊断,而且"肺部AI智能分析系统"对1—3毫米的病灶还能做到瞬间定位,并会标示出病灶大小,位置,密度,初步分辩良恶性,自动生成结构影像报告供医生审查诊断。对于患者今后的随访复查也能提供精确对照。总体上,可大大提高了工作效率和准确率,同时减少患者的等待时间。此外,肺小结节辅助诊断系统可以自动匹配不同时间的同一病灶,并直观展示结节变化情况及趋势,为病灶定性及下一步诊疗提供影像依据。
适应症:任何有胸部体检需求的人群,尤其是肺内结节的筛查、定期复查、风险度的判定。
意义:基于AI的大数据支持,高效准确的提高肺内结节的检出及分析,无额外收费。
二、臂丛神经MRI成像(腰骶丛神经MRI成像)

上图是放射科开展的“臂丛神经MRI成像(腰骶丛神经MRI成像)”新业务,臂丛(腰骶丛)像一个复杂的地铁交通网,支配着上肢的感觉与运动。全球医学治疗难题之一就是臂丛神经损伤,它会导致患者上肢运动功能感觉的部分丧失或完全丧失,影响了患者的日常生活与工作。熟练掌握其分支、走形分布等可以为手术成功、减少术后并发症提供最有力的保障。当前对于臂丛及腰骶丛神经病变的诊断主要依靠临床症状、体征及电生理学检查等方法,但不能直观、准确观察神经损伤后形态学变化及周围结构的空间信息,对手术方案的选择及病情预后判断较为困难。MRI可以清晰显示臂丛及腰骶丛神经全貌及周围结构关系,为臂丛及腰骶丛神经创伤或肿瘤患者术前诊断及术后长期随访提供重要的信息,其在臂丛及腰骶丛神经诊断中有不可替代的作用。
MRI有以下优点:
(一)使正常神经显示为稍高信号,能清晰辨认神经内神经纤维束等结构;
(二)准确判断神经损伤部位和程度;
(三)准确评估病变是位于神经内还是神经外,这对判断肿瘤是否浸润脊髓以及选择治疗方案有重要意义。
适应症:外伤、肿瘤、炎症等疾病怀疑臂丛(腰骶)神经病变。
意义:能全程清晰显示臂丛(腰骶)神经,达到定性、定位的诊断,为精准治疗提供支持。
注意事项:需注入造影剂“钆喷酸葡胺”增强扫描。
放射科咨询预约电话:
010-68688877-6657


