每周三,是北京大学首钢医院呼吸与危重症医学科向平超主任雷打不动的全科查房时间。
查房过程中,向主任会带领科室团队着重审查危重患者的诊疗计划,指导疑难病例处理,决定重大手术或者特殊的检查治疗。
这个周三,查房的对象是一名老年女性患者,62岁的郝阿姨。
而这一次查房,却发现了一颗深埋5年的“不定时炸弹”。

01她得了“慢性支气管炎”
根据郝阿姨自己描述,得了“慢性支气管炎”以后,在其他医院治疗了很久,但是效果一直不好,反而越来越重,反复咳嗽已经5年了。
这次,因为肺炎来北京大学首钢医院住院治疗。
慢性支气管炎是气管、支气管黏膜及周围组织的慢性非特异性炎症,临床以咳嗽、咳痰为主要症状。这种慢性病的确不能根治,只能在药物的帮助下缓解,也难怪郝阿姨病情反复,临床上甚至有很多病人一咳就是10多年。
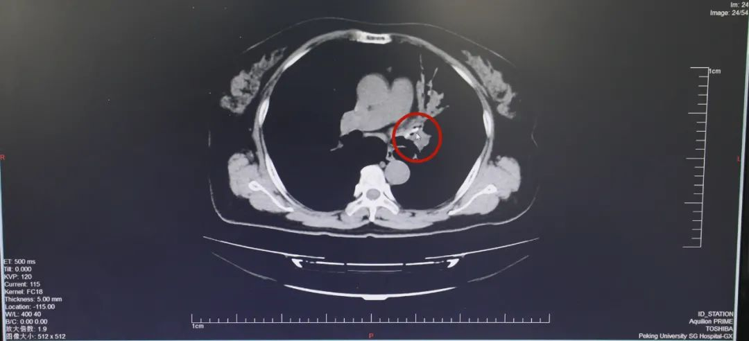
问清楚了之前的病史,向主任仔细察看肺部CT影像:肺部有明显炎症表现,结合患者血常规白细胞增高,符合肺炎的诊断,但是这小一块,似乎不太对?
在呼吸医学领域深耕30年有余,向主任早已练就了一双慧眼,指着CT图像给大家示意。
此刻,他已经敏锐地意识到,恐怕郝阿姨这几年的诊断都有问题!
肺部CT扫描是根据人体的密度不同,通过X线影像断层一层、一层地把人体的结构展现在片子上,而郝阿姨左上肺CT影像上,有一小块极其细微的黑影,密度偏高。

气管异物影像
这说明,气管有异物!
已经诊断5年的所谓“慢性支气管炎”,需要推翻了!
02彻底推翻!这才是真正的病因!
大家赶紧拉着郝阿姨进行反复的追问和排查,加上家人的提示,郝阿姨最终想起:
5年前,自己第一次出现了反复呛咳的症状。那是在外出旅游时,自己和朋友在当地吃了一次特色鱼火锅。之后,就开始出现了长达5年的反复咳嗽。
鱼刺是呼吸科医生的“老朋友”了,这下,有苗头了!
郝阿姨很快被安排了支气管镜检查。支气管镜检查是将细长的支气管镜经口或鼻置入患者的下呼吸道,即经过声门进入气管和支气管以及更远端,直接观察气管和支气管的病变。
经过仔细查探,结果证实了向主任的判断:有一个骨性物质卡在左上叶支气管开口。
果然,这并不是单纯的肺炎,而是支气管内异物所致的阻塞性肺炎!
03一块异物,两难选择
诊断明确了,但是气管的处理却成了更大问题。
这根类似鱼骨的异物在气管里存留的时间实在是太长了,长时间的刺激下,异物周围已经长出了很多肉芽组织,并且把异物包裹了起来。这些肉芽组织富含血管,稍一触碰就会有明显出血。
如果不取出异物,眼下虽然只是咳嗽,但是今后还会反复发作引起肺部感染甚至癌变,郝阿姨只能选择手术治疗,甚至有切除肺叶的可能;更危险的是,在气管内的肉芽组织一旦发生大咯血,还会容易引起窒息死亡。这块异物,便是一颗不定时炸弹。
真是两难啊。
考虑到患者的情况,目前已有明显的肺部感染,最合适的方式是“支气管镜下探查并异物取出”。支气管镜因其视野清晰,观察范围广,被誉为呼吸系统疾病的“侦察兵”,支气管异物在它面前不但无所遁形,而且支气管镜下取异物,时间短,创伤小,不会给患者造成更大的手术伤害。
但是这一操作,则是对操作医生提出了极高的要求。
科室商讨完毕,决定由内镜经验丰富的张硕医生实施手术。

04稳、准、狠,缺一不可!
在同事们的密切配合下,张硕医生先是用异物钳尝试着从不同角度去松动异物。
然而,异物非常锋利,每一次的移动都会引发郝阿姨的剧烈咳嗽,周围肉芽组织也会随之出血。
可是,咳嗽是人体的一种保护性反射动作,根本忍不住啊!
人的气管本身是非常敏感的,只要稍微刺激就会不停地咳嗽;同时,气管的容量非常有限,正常人的气管直径都不超过2cm,一旦发生出血,快速涌出的血液还会大范围地遮盖观察的视野,医生的操作将会难上加难;更严重的是,郝阿姨可能随时因为大出血而产生窒息的风险。
在剧烈咳嗽的患者气管里,气管镜也会随着上下起伏,用移动的气管镜设备夹取一根随着咳嗽不止而一直颤抖的异物,还不能刺激到周围的组织……
打个比方,这相当于要求射手在飞奔的快马上精准射中移动的靶心!
稳、准、狠,缺一不可!
经过多次尝试,张硕医生终于把异物移动到了上一级支气管,但随之而来的是大量的血液涌出及患者剧烈的咳嗽。
处理完出血后发现,骨性异物又被郝阿姨咳回了原位。
05另一道难关
好在,有了之前的经验,张硕医生一边小心尝试,一边也慢慢摸索出“门道”。
而此时,他又发现了另一道难关。
要想把异物完全取出气管,还要过一个关口:声门。
异物非常锋利,出声门的时候很容易划伤声带,而且声门的阻挡也容易导致异物的脱落,如果掉入食道,也有损伤内脏的风险。
随着操作的进行,大家也都渐渐明白了难点所在,共同坚守在各自的岗位上,做好手术的配合。内镜室刘玲玲护士灵巧地操控着异物钳配合张硕医生的气管镜操作,朱卫京医生则握住患者因紧张而僵直的手安抚患者的情绪,使患者能最大程度的配合。
不过短短半个小时,可是在气管镜室内,好像一切都和时间凝滞住了,所有焦点都聚集在异物钳上那块小小的鱼骨样异物。
最终,张硕医生凝神静气,凭借娴熟的内镜技术近乎悬空地把异物从声门提了出来。
06真凶现身,一切真相大白
终于取出来了,大家都松了一口气。
真凶也随之现身,原来是一块长约2cm的锋利鱼骨。

一切都清楚了。
人体的气管不到2cm,而5年前的这根鱼骨刚巧卡在气管内部,引发了患者反复咳嗽,而这些临床表现的确像极了慢性支气管炎,虽然治疗了很久,即使能缓解一部分感染的情况,但是只要病因不除,自然没有明显起色,反而越来越重;气管这个部位又没有消化食物的能力,鱼骨还是保持着5年前刚刚被吞咽进去的状态;扎入气管的一段鱼骨又特别锋利,随着呼吸起伏一直在摩擦和刺激周围的组织,所以导致了发烧和感染,才因为肺炎住院检查。
最后,呼吸与危重症医学科医生团队也给大家分享几个小贴士:
√ 支气管异物是慢性咳嗽的常见病因,容易漏诊、误诊,甚至容易被误诊为肿瘤,多发生于幼儿以及老年人,从而出现反复的咳嗽、咳痰,甚至肺部感染等。
√ 进食辛辣的食物时容易刺激、呛咳导致误吸。只有极少数支气管异物在误吸初期因刺激咳嗽能够咳出,大部分病人不能自行排出。
√ 支气管镜检查是诊断和取出异物的主要手段,如果一旦怀疑支气管异物,应尽快到医院就诊,由专业医生进行支气管镜检查、异物取出处理。


