随着周杰伦《本草纲目》这首回忆杀的主旋律响起,你是否也成为了“刘畊宏女孩”,跟随其魔力教学,开启“爆汗模式”呢?等等,超声检查怎么跟“刘畊宏女孩”扯上关系了呢?
原来,很多女性朋友随着“人鱼线、马甲线,赘肉肥油咔咔掉”的活力口号下过度运动,出现了不自主漏尿、阴道异物脱出等症状,不得不到医院就诊。为此,航空总医院超声科联合妇科、产科开展盆底超声检查项目,为临床诊断盆底功能障碍性疾病提供了可视化依据。

正如开头所说,当女性朋友们做一些增大腹压动作时,会出现不由自主的漏尿,这主要是因妊娠、分娩或绝经后雌激素水平下降等因素,导致盆底结构松弛或损伤,同时还会出现便秘、大便失禁、肛门坠痛、下腹痛、下腹坠胀、慢性盆腔痛及性功能障碍、盆腔脏器脱垂等症状。

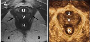
随着超声技术的不断更新换代,超声探头能够获取盆底所需的结构和运动信息,通过三维/四维重建功能,对获取数据进行图像还原处理,可以获得媲美MRI成像的立体图像。如下图所示。

超声检查的优势体现在:无辐射、无创伤,无造影剂引起的感染过敏,经济快捷,可重复性高,患者易于接受等;动态观察盆底的变化,对盆底疾病发生的具体解剖、程度、位置等均有很好的显示作用;有助于临床医生综合理解盆底结构和功能,更全面地从各学科的角度进行综合分析。盆底超声检查已成为诊断和筛查盆底功能障碍性疾病的首要方法。
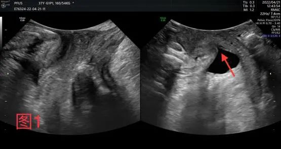
据悉,曾有一名37岁女性患者,因打喷嚏漏尿加重来诊。经盆底超声检查,发现患者不但有压力性尿失禁、膀胱膨出、肛门外括约肌局部损伤的超声表现,还伴有后腔室小肠疝出征象,明确了患者阴道脱垂的主要原因。临床检查不能对阴道脱垂从外部形态做出判断,而盆底超声可以对深部组织情况进行准确评估。盆底超声应用临床以来,充分显示了其优越性。

图1:尿道内口开大呈“漏斗”型(红色箭头)

图2:小肠自阴道后壁与直肠间疝出(红色圈)
专家提醒,凡是临床上怀疑有盆底疾病或具有盆底异常高发因素的患者,均可进行盆底超声检查;特别是妊娠、产后及绝经后女性要注意,如果出现漏尿、盆腔脏器脱垂,做一个盆底超声检查,可以早期诊断、早期干预治疗、尽早摆脱尴尬病症的折磨。


