TCCD又称经颅彩色多普勒超声,是1982年挪威物理学家Aaslid博士首先推出的一项技术,它可以从二维超声、彩色血流以及多普勒超声三个维度来评估颅内动脉的灌注情况。
以往受人员、仪器设备等影响,国内开展此项技术主要集中在少数专科医院及三甲医院,近年来,随着超声仪器的迅猛发展,越来越多的医院可以开展此项技术。我院近期引进新型超声设备,可以开展此项新技术。
TCCD和TCD有什么区别呢?
TCD又称经颅多普勒超声,是用超声多普勒效应来检测颅内脑底主要动脉的血流动力学及血流生理参数的一项无创性检查,是神经内科、神经外科评估脑血管疾病常用的筛查方式之一。
TCD是A型超声,它不能显示血管影像,医生只能根据相关的标准在固定的深度、角度探测血流,根据多普勒波形态确定动脉类型。而实际上,颅内大动脉的狭窄往往节段性的比较常见,狭窄处流速和狭窄远端流速相差明显,TCD因为无法做到刚好探测到狭窄处的血流速度,所以可能会漏诊一部有问题的患者。此外,颅内动静脉畸形、动脉瘤及Villis环交通支有无开放,这也是TCD局限性的地方。
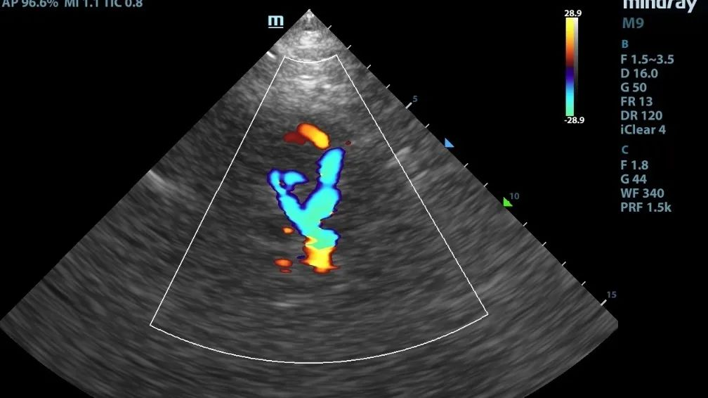
但是,TCCD就不一样了,它在TCD的基础上多了个彩色,也就是我们可以直观地看到颅内Villis环的彩色血流的走行及方向,因此就可以弥补TCD在使用上的一些不足。


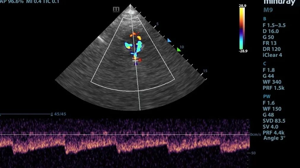
TCD检查颅底大血管的血流速度及各项参数


TCCD图像能够显示大血管的走行及方向,更真实的反应血流速度
TCCD的主要优势和局限有哪些?
主要优势:
1.彩色显示血流充盈程度,可以显示狭窄处,狭窄前、狭窄后的血流动力学变化。
2.颅内动静脉畸形、动脉瘤彩色超声可显示。
3.交通支有无开放、有无侧支循环代偿、血流方向。
4.通过角度校正可以测出更真实的流速,TCD因为无法做到这点,流速往往容易高估。
5.经济、便捷、无创,对于围手术期、脑血管疾病介入治疗后的随访评估更有优势。
主要局限:
这项检查依赖于探头通过骨缝间隙发射声波才能得到颅内血管成像,成年人因个体差异,骨缝间隙的宽窄有所不同,因此在声波受颅骨阻碍无法穿透的情况下,无法得到正常的图像,检查也就受限,这也是它和CT、核磁成像比起来的劣势。
哪些患者适合TCCD检查?
TCCD检查适合脑卒中高危人群,有头晕、头痛等症状的人群,既往明确脑血管疾病治疗后随访人群,以及神经外科手术术中监测及ICU患者脑血管评估。

TCCD检查时对患者没有特殊要求,只要患者能够平卧位、俯卧位于检查床即可,如有需要,可适当饮水减低血液黏度。


