近日,第一附属医院神经外科团队进一步拓展内镜神经外科诊治范围,将神经内镜微创技术应用于基底节区脑内血肿的危重患者,取得了立竿见影的手术效果。

应建有博士(右下)在进行脑内血肿的内镜手术
这是第一附属医院首例神经内镜下基底节区脑内血肿清除手术,该手术由神经外科应建有副主任医师带领团队独立完成,标志着医院在脑出血的神经内镜微创手术方面有了全面突破,可满足不同脑出血危重患者的救治需求。
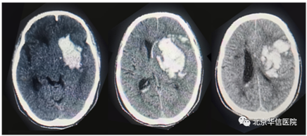
患者入院时处于昏迷状态,危在旦夕,情况紧急。经快速周密的术前准备和评估,在麻醉科、手术室的密切配合下,由应建有和焦庆贵主治医师为患者精准实施神经内镜下基底节区脑内血肿清除手术。术中仅在患者头部做一约4cm长的小切口,操作范围为稍大于一元硬币的微骨孔,术中应用气动支持臂辅助,在神经内镜“慧眼”的指引下,电凝出血点,紧张有序地探查血肿并予以清除,术后2小时复查头部CT显示血肿清除干净,手术起到立竿见影的效果。
由于神经内镜手术微创、精准,患者的血肿清除彻底,颅内高压得到快速降低,脑出血后多种继发性病理损害被阻断,神经功能得以保护。加之围手术期的针对性治疗,患者很快转危为安,2周后顺利出院。

脑出血患者术前头颅CT

脑出血患者术后2小时头颅CT
高血压性脑出血是神经外科发病率高、病死率高和致残率高的一种常见急危重疾病,基底节区是最常见的出血部位,好发于中老年人群。当今社会,随着人们生活节奏加快、工作压力增大,高血压性脑出血的发病率呈明显上升趋势,发病年龄亦趋年轻化,给家庭和社会带来沉重的经济负担和精神压力,而手术是治疗高血压性脑出血的关键。
应建有介绍,神经内镜结合可视与微创观念,利用现代的精密光学与成像技术,结合颅脑的解剖定位方法,通过建立人工手术通道,将神经内镜置入病变区域,抵近观察,实现高清放大可视下的手术精细操作。神经内镜在微小创伤下清除血肿,术中观察无死角,提高了血肿清除效率,最大限度地保护脑组织,保存神经功能,尤其对脑深部血肿和脑室内血肿优势更加明显。
与传统脑出血手术相比,内镜下脑内血肿清除手术切口小、无脑组织牵拉、止血确切、血肿清除彻底,术中无需输血,术后恢复快、并发症少,而且不需要再次手术修补颅骨,减轻了患者痛苦,减少了患者家庭的经济负担。常规大骨瓣开颅血肿清除手术创伤大,对深部侧方的显露不理想,使血肿清除效率较低。锥颅血肿碎吸术尽管微创,但不能直视下清除血肿和止血,难以实现及时、彻底清除血肿,不能快速降低颅内压,不适应于较大的血肿。研究证实,应用神经内镜技术清除脑内血肿,可以明显改善高血压性脑出血患者预后。因此,神经内镜技术清除脑内血肿更有优越性,为脑出血患者带来了新的希望。


